Skip to main content

Human PD-1 Antibody

R&D Systems, part of Bio-Techne | Catalog # MAB10861

Recombinant Monoclonal Antibody.
R&D Systems, part of Bio-Techne
Catalog #
Availability
Size / Price
Qty
Loading...
MAB10861
MAB10861-SP

Key Product Details

Validated by

Biological Validation

Species Reactivity

Validated:

Human

Cited:

Human

Applications

Validated:

Western Blot, Blockade of Receptor-ligand Interaction, Flow Cytometry, CyTOF-ready

Cited:

Flow Cytometry

Label

Unconjugated

Antibody Source

Recombinant Monoclonal Mouse IgG1 Clone # 913429

Product Specifications

Immunogen

Mouse myeloma cell line NS0-derived recombinant human PD-1
Met1-Gln167
Accession # Q15116

Specificity

Detects human PD-1 in direct ELISAs.

Clonality

Monoclonal

Host

Mouse

Isotype

IgG1

Scientific Data Images for Human PD-1 Antibody

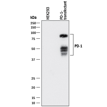
Detection of Human PD-1 antibody by Western Blot.

Detection of Human PD‑1 by Western Blot.

Western blot shows lysates of HEK293 human embryonic kidney cell line either mock transfected or transfected with human PD-1. PVDF membrane was probed with 1 µg/mL of Mouse Anti-Human PD-1 Monoclonal Antibody (Catalog # MAB10861) followed by HRP-conjugated Anti-Mouse IgG Secondary Antibody (Catalog # HAF018). Specific bands were detected for PD-1 at approximately 40-80 kDa (as indicated). This experiment was conducted under reducing conditions and using Immunoblot Buffer Group 1.
Detection of PD-1 antibody in Human PBMCs antibody by Flow Cytometry.

Detection of PD-1 in Human PBMCs by Flow Cytometry.

Human peripheral blood mononuclear cells (PBMCs) either (A) untreated or (B) treated with 5 μg/mL PHA for 2 days were stained with Mouse Anti-Human PD-1 Monoclonal Antibody (Catalog # MAB10861) followed by Allophycocyanin-conjugated Anti-Mouse IgG Secondary Antibody (Catalog # F0101B) and Mouse Anti-Human CD3e PE-conjugated Monoclonal Antibody (Catalog # FAB100P). Quadrant markers were set based on control antibody staining (Catalog # MAB002).

B7-H1 Binding to PD-1-transfected HEK293 Human Cell Line is Blocked by Human PD-1 Antibody.

In a functional flow cytometry test, biotinylated recombinant human B7-H1 (10 ng/mL, BT156) binds to HEK293 human embryonic kidney cell line transfected with human PD-1 and eGFP. (A) Binding is completely blocked by 2.5 µg/mL of Mouse Anti-Human PD-1 Monoclonal Antibody (Catalog # MAB10861) but not by (B) 2.5 µg/mL of Mouse IgG1 Isotype Control (MAB002). Protein binding was detected by staining cells with Streptavidin-APC (F0050).

Applications for Human PD-1 Antibody

Application
Recommended Usage

Blockade of Receptor-ligand Interaction

In a functional flow cytometry test, biotinylated recombinant human B7-H1 (10 ng/mL, Catalog # 9049-B7) binds to HEK293 human embryonic kidney cell line transfected with human PD-1. Binding is blocked by 2.5 μg/mL of Mouse Anti-Human PD-1 Monoclonal Antibody (Catalog # MAB10861)

CyTOF-ready

Ready to be labeled using established conjugation methods. No BSA or other carrier proteins that could interfere with conjugation.

Flow Cytometry

0.25 µg/106 cells
Sample: Human peripheral blood mononuclear cells (PBMCs) treated with PHA

Western Blot

1 µg/mL
Sample: HEK293 human embryonic kidney cell line transfected with human PD-1

Formulation, Preparation, and Storage

Purification

Protein A or G purified from cell culture supernatant

Reconstitution

Reconstitute at 0.5 mg/mL in sterile PBS. For liquid material, refer to CoA for concentration.

Reconstitution Buffer Available:
Size / Price
Qty
Loading...

Formulation

Lyophilized from a 0.2 μm filtered solution in PBS with Trehalose. *Small pack size (SP) is supplied either lyophilized or as a 0.2 µm filtered solution in PBS.

Shipping

Lyophilized product is shipped at ambient temperature. Liquid small pack size (-SP) is shipped with polar packs. Upon receipt, store immediately at the temperature recommended below.

Stability & Storage

Use a manual defrost freezer and avoid repeated freeze-thaw cycles.
  • 12 months from date of receipt, -20 to -70 °C as supplied.
  • 1 month, 2 to 8 °C under sterile conditions after reconstitution.
  • 6 months, -20 to -70 °C under sterile conditions after reconstitution.

Background: PD-1

Programmed Death-1 (PD-1) is a type I transmembrane protein belonging to the CD28/CTLA-4 family of immunoreceptors that mediate signals for regulating immune responses (1). Members of the CD28/CTLA-4 family have been shown to either promote T cell activation (CD28 and ICOS) or downregulate T cell activation (CTLA-4 and PD-1) (2). PD-1 is expressed on activated T cells, B cells, myeloid cells, and on a subset of thymocytes. In vitro, ligation of PD-1 inhibits TCR-mediated T cell proliferation and production of IL-1, IL-4, IL-10, and IFN-gamma. In addition, PD-1 ligation also inhibits BCR mediated signaling. PD-1 deficient mice have a defect in peripheral tolerance and spontaneously develop autoimmune diseases (2, 3). Two B7 family proteins, PD-L1 (also called B7-H1) and PD-L2 (also known as B7-DC), have been identified as PD-1 ligands. Unlike other B7 family proteins, both PD‑L1 and PD‑L2 are expressed in a wide variety of normal tissues including heart, placenta, and activated spleens (4). The wide expression of PD-L1 and PD-L2 and the inhibitor effects on PD-1 ligation indicate that PD-1 might be involved in the regulation of peripheral tolerance and may help prevent autoimmune diseases (2). The human PD-1 gene encodes a 288 amino acid (aa) protein with a putative 20 aa signal peptide, a 148 aa extracellular region with one immunoglobulin-like V‑type domain, a 24 aa transmembrane domain, and a 95 aa cytoplasmic region. The cytoplasmic tail contains two tyrosine residues that form the Immunoreceptor Tyrosine-based Inhibitory Motif (ITIM) and Immunoreceptor Tyrosine-based Switch Motif (ITSM) that are important in mediating PD-1 signaling. Mouse and human PD-1 share approximately 60% aa sequence identity (4).

References

  1. Ishida, Y. et al. (1992) EMBO J. 11:3887.
  2. Nishimura, H. and T. Honjo (2001) Trends in Immunol. 22:265.
  3. Latchman, Y. et al. (2001) Nature Immun. 2:261.
  4. Carreno, B.M. and M. Collins (2002) Annu. Rev. Immunol. 20:29.

Long Name

Programmed Death-1

Alternate Names

CD279, PD1, PDCD1, SLEB2

Entrez Gene IDs

5133 (Human); 18566 (Mouse); 301626 (Rat); 100533201 (Porcine); 486213 (Canine); 102123659 (Cynomolgus Monkey)

Gene Symbol

PDCD1

UniProt

Additional PD-1 Products

Product Documents for Human PD-1 Antibody

Certificate of Analysis

To download a Certificate of Analysis, please enter a lot number in the search box below.

Note: Certificate of Analysis not available for kit components.

Product Specific Notices for Human PD-1 Antibody

For research use only

Loading...
Loading...
Loading...
Loading...
Loading...
Loading...