Skip to main content

Key Product Details

Species Reactivity

Validated:

Human

Cited:

Human, Porcine

Applications

Validated:

Western Blot, Immunoprecipitation

Cited:

Immunohistochemistry-Paraffin, Western Blot

Label

Unconjugated

Antibody Source

Polyclonal Goat IgG

Product Specifications

Immunogen

Mouse myeloma cell line NS0-derived recombinant human BMP‑1/PCP
Ala121-Gln730
Accession # NP_001190

Specificity

Detects human BMP‑1/PCP direct ELISAs and Western blots. In direct ELISAs, approximately 10% cross-reactivity with recombinant human (rh) TLL-2 is observed, and less than 1% cross-reactivity with rhBMP-2, -3, -3b, -4, -5, -6, -7, -8, -9, -10, and -15 is observed.

Clonality

Polyclonal

Host

Goat

Isotype

IgG

Scientific Data Images for Human BMP-1/PCP Antibody

Detection of Recombinant Human BMP-1/PCP antibody by Western Blot.

Detection of Recombinant Human BMP‑1/PCP by Western Blot.

Western blot shows 25 ng of Recombinant Human BMP-1/ PCP (1927-ZN), Recombinant Human TLL-2, Recombinant Human/Mouse/ Rat BMP-2 (Catalog # 355-BM), Recombinant Human BMP-3 (113-BP), Recombinant Human BMP-3b/GDF-10 (Catalog # 1543-BP), Recombinant Human BMP-4 (314-BP), Recombinant Human BMP-5 (615-BMC), Recombinant Human BMP-6 (Catalog # 507-BP), Recombinant Human BMP-7 (Catalog # 354-BP), Recombinant Human BMP-8a (Catalog # 1073-BP), Recombinant Human BMP-8b (9316-BP), Recombinant Human BMP-9 (Catalog # 3209-BP), Recombinant Human BMP-10 (2926-BP) and Recombinant Human BMP-15/GDF-9B (5096-BM) . PVDF Membrane was probed with 0.1 µg/mL of Goat Anti-Human BMP-1/PCP Antigen Affinity-purified Polyclonal Antibody (Catalog # AF1927) followed by HRP-conjugated Anti-Goat IgG Secondary Antibody (HAF109). A specific band was detected for BMP-1/PCP at approximately 100 kDa (as indicated). This experiment was conducted under reducing conditions and using Immunoblot Buffer Group 3.
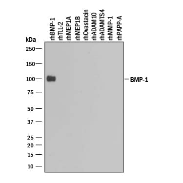
Detection of Recombinant Human BMP-1/PCP antibody by Western Blot.

Detection of Recombinant Human BMP‑1/PCP by Western Blot.

Western blot shows 25 ng of Recombinant Human BMP-1/ PCP (1927-ZN), Recombinant Human TLL-2, Recombinant Human Meprin a Subunit/MEP1A (Catalog # 3220-ZN), Recombinant Human Meprin beta Subunit/MEP1B (2895-ZN), Recombinant Human Ovastacin, Recombinant Human ADAM10 (936-AD), Recombinant Human ADAMTS4 (4307-AD), and Recombinant Human MMP-1 (901-MP). PVDF Membrane was probed with 0.1 µg/mL of Goat Anti-Human BMP-1/PCP Antigen Affinity-purified Polyclonal Antibody (Catalog # AF1927) followed by HRP-conjugated Anti-Goat IgG Secondary Antibody (HAF109). A specific band was detected for BMP-1/PCP at approximately 100 kDa (as indicated). This experiment was conducted under reducing conditions and using Immunoblot Buffer Group 3.
Detection of BMP-1/PCP by Western Blot

Detection of BMP-1/PCP by Western Blot

Genetic knockdown of BMP1 decreases the proteolytic cleavage of LDLR. (E) Immunoblot analysis of LDLR and BMP1 in cell lysates from HepG2 cells treated with siRNA against BMP1 (Ambion) or with a non-targeting control siRNA and then transfected either with an empty vector, BMP1-FLAG or BMP1 E214Q-FLAG constructs. Blot images were cropped to highlight the FL and CTF band of LDLR using the AF2148 antibody and BMP1 using the AF1927 antibody. Full blot images are presented in the Supplementary western blot dataset. Image collected and cropped by CiteAb from the following open publication (https://pubmed.ncbi.nlm.nih.gov/31388055), licensed under a CC-BY license. Not internally tested by R&D Systems.

Applications for Human BMP-1/PCP Antibody

Application
Recommended Usage

Immunoprecipitation

25 µg/mL
Sample: Conditioned cell culture medium spiked with Recombinant Human BMP-1/PCP (Catalog # 1927-ZN), see our available Western blot detection antibodies

Western Blot

0.1 µg/mL
Sample: Recombinant Human BMP-1/PCP (Catalog # 1927-ZN)

Formulation, Preparation, and Storage

Purification

Antigen Affinity-purified

Reconstitution

Reconstitute at 0.2 mg/mL in sterile PBS. For liquid material, refer to CoA for concentration.

Reconstitution Buffer Available:
Size / Price
Qty
Loading...

Formulation

Lyophilized from a 0.2 μm filtered solution in PBS with Trehalose. *Small pack size (SP) is supplied either lyophilized or as a 0.2 µm filtered solution in PBS.

Shipping

Lyophilized product is shipped at ambient temperature. Liquid small pack size (-SP) is shipped with polar packs. Upon receipt, store immediately at the temperature recommended below.

Stability & Storage

Use a manual defrost freezer and avoid repeated freeze-thaw cycles.
  • 12 months from date of receipt, -20 to -70 °C as supplied.
  • 1 month, 2 to 8 °C under sterile conditions after reconstitution.
  • 6 months, -20 to -70 °C under sterile conditions after reconstitution.

Background: BMP-1/PCP

Bone morphogenetic protein 1 (BMP-1), also known as procollagen C-proteinase (PCP), is a zinc protease of the astacin family (1, 2). BMP-1/PCP plays a key role in formation of extracellular matrix (ECM) by converting precursor proteins into their mature and functional forms. The precursor proteins identified as substrates for BMP-1/PCP include collagens, biglycan, laminin 5, dentin matrix protein-1, and lysyl oxidase (3). There are six alternatively spliced forms known to be derived from the BMP-1 gene, and isoform 1 consisting of residues 1 to 730 was expressed. The secreted and purified protein does not contain the signal peptide (amino acid residues 1‑22) and pro domain (residues 23‑120), but contain protease (residues 121‑321), CUB I (residues 322‑434), CUB II (residues 435‑546), EGF-like (residues 547‑588) and CUB III (residues 591‑703) domains. The pro domain is apparently cleaved by a furin-like proprotein convertase (4). The purified BMP-1/PCP is an active protease and its peptidase activity can be determined as described above. The purified BMP-1/PCP is predicted to possess procollagen C-proteinase activity because it contains the minimal domain structure required (5).

References

  1. Wozney, J.M. et al. (1988) Science 242:1528.
  2. Bond, J.S. and R.J. Beynon (1995) Protein Sci. 4:1247.
  3. Steiglitz, B.M. et al. (2004) J. Biol. Chem. 279:980.
  4. Leighton, M. and K.E. Kadler (2003) J. Biol. Chem. 278:18478.
  5. Hartigan, N. et al. (2003) J. Biol. Chem. 278:18045.

Long Name

Bone Morphogenetic Protein 1

Alternate Names

BMP1, PCP

Entrez Gene IDs

649 (Human); 12153 (Mouse); 83470 (Rat)

Gene Symbol

BMP1

UniProt

Additional BMP-1/PCP Products

Product Documents for Human BMP-1/PCP Antibody

Certificate of Analysis

To download a Certificate of Analysis, please enter a lot number in the search box below.

Note: Certificate of Analysis not available for kit components.

Product Specific Notices for Human BMP-1/PCP Antibody

For research use only

Loading...
Loading...
Loading...
Loading...