IL-15 Products
IL-15 (Interleukin 15) is a cytokine that induces or enhances the differentiation, maintenance, or activation of multiple T cell subsets including NK, NKT, Th17, Treg, and CD8+ memory cells. It also induces dendritic cell differentiation and inflammatory activation, exhibits anti-tumor activity, and inhibits the deposition of lipid in adipocytes. Complexes of IL-15 with cell surface IL-15 R alpha interact with complexes of IL-2 R beta and the Common gamma Chain on adjacent cells. This transpresentation mechanism enables cells to respond to IL-15 even if they do not express IL-15 R alpha. Ligation of membrane-associated IL-15/IL-15 R alpha complexes also induces reverse signaling that promotes activation of the IL-15/IL-15 R alpha expressing cells. The activity of circulating IL-15 is limited by its association with soluble IL-15 R alpha.
489 results for "IL-15" in Products
489 results for "IL-15" in Products
IL-15 Products
IL-15 (Interleukin 15) is a cytokine that induces or enhances the differentiation, maintenance, or activation of multiple T cell subsets including NK, NKT, Th17, Treg, and CD8+ memory cells. It also induces dendritic cell differentiation and inflammatory activation, exhibits anti-tumor activity, and inhibits the deposition of lipid in adipocytes. Complexes of IL-15 with cell surface IL-15 R alpha interact with complexes of IL-2 R beta and the Common gamma Chain on adjacent cells. This transpresentation mechanism enables cells to respond to IL-15 even if they do not express IL-15 R alpha. Ligation of membrane-associated IL-15/IL-15 R alpha complexes also induces reverse signaling that promotes activation of the IL-15/IL-15 R alpha expressing cells. The activity of circulating IL-15 is limited by its association with soluble IL-15 R alpha.
Analyzed by SEC-MALS
| Source: | E. coli |
| Accession #: | P40933.1 |
| Applications: | BA |
Animal-Free
| Source: | E. coli |
| Accession #: | P40933.1 |
| Applications: | BA |
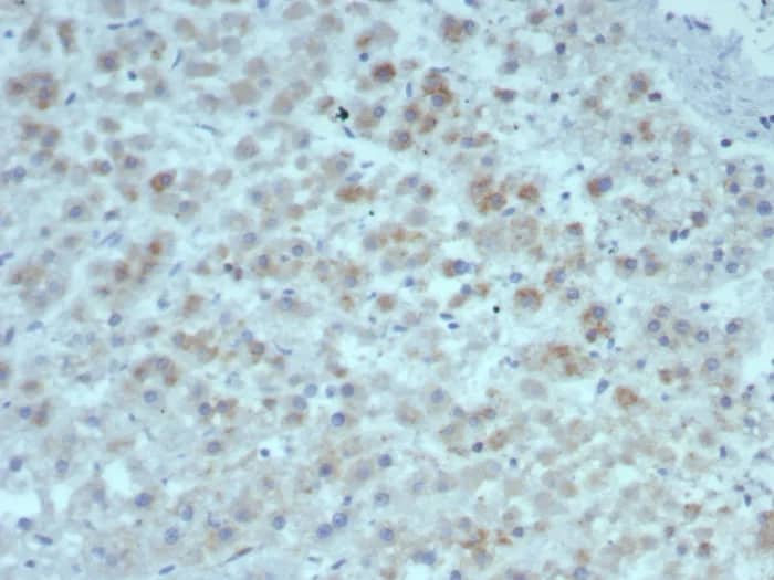
Recombinant Monoclonal Antibody
| Reactivity: | Human |
| Details: | Mouse IgG1 kappa Monoclonal Clone #rIL15/8049 |
| Applications: | IHC |
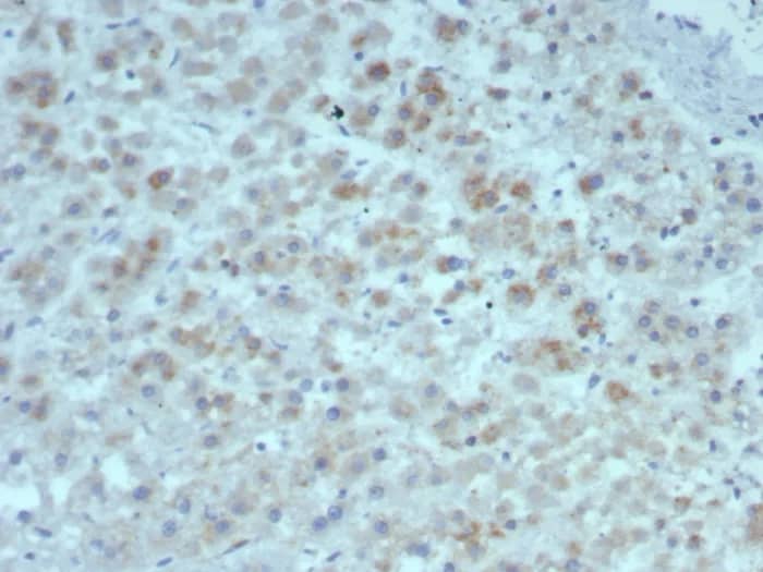
Recombinant Monoclonal Antibody
| Reactivity: | Human |
| Details: | Mouse IgG1 kappa Monoclonal Clone #rIL15/8050 |
| Applications: | IHC |
Recombinant Monoclonal Antibody
| Reactivity: | Human |
| Details: | Mouse IgG1 kappa Monoclonal Clone #rIL15/8050 |
| Applications: | IHC |
Intended for preclinical researchers who may transition to GMP IL-15 for their clinical work
| Source: | E. coli |
| Accession #: | P40933.1 |
| Applications: | BA |
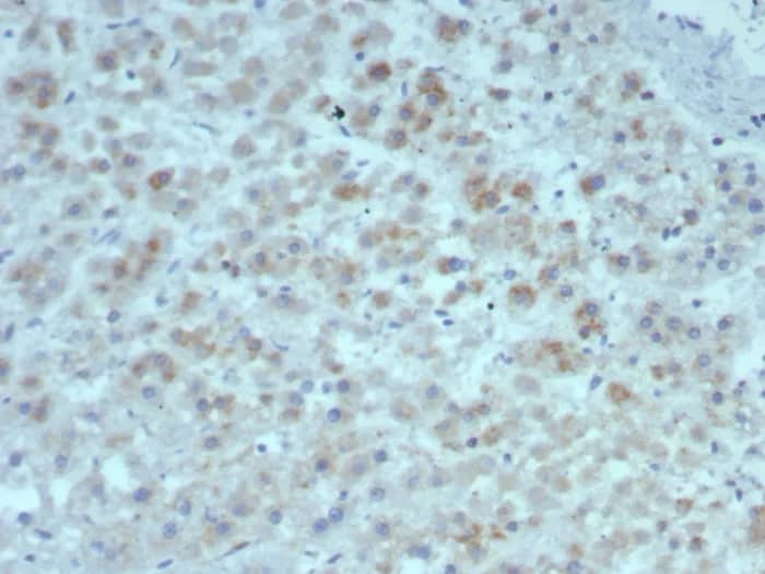
Recombinant Monoclonal Antibody
| Reactivity: | Human |
| Details: | Rabbit IgG Monoclonal Clone #IL15/6971R |
| Applications: | IHC |
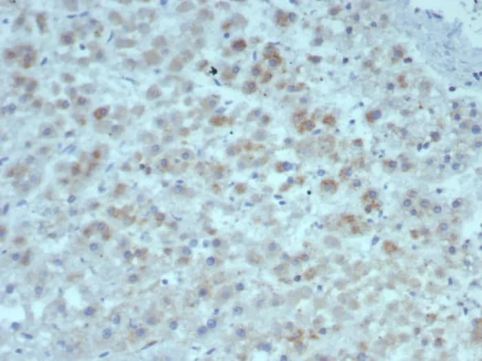
Recombinant Monoclonal Antibody
| Reactivity: | Human |
| Details: | Rabbit IgG Monoclonal Clone #IL15/7048R |
| Applications: | IHC |
Recombinant Monoclonal Antibody
| Reactivity: | Human |
| Details: | Rabbit IgG Monoclonal Clone #IL15/7048R |
| Applications: | IHC |
Recombinant Monoclonal Antibody
| Reactivity: | Human |
| Details: | Mouse IgG1 kappa Monoclonal Clone #rIL15/8049 |
| Applications: | IHC |
Recombinant Monoclonal Antibody
| Reactivity: | Human |
| Details: | Rabbit IgG Monoclonal Clone #IL15/7048R |
| Applications: | IHC |
Recombinant Monoclonal Antibody
| Reactivity: | Human |
| Details: | Rabbit IgG Monoclonal Clone #IL15/6971R |
| Applications: | IHC |
Recombinant Monoclonal Antibody
| Reactivity: | Human |
| Details: | Rabbit IgG Monoclonal Clone #IL15/7048R |
| Applications: | IHC |
Recombinant Monoclonal Antibody
| Reactivity: | Human |
| Details: | Rabbit IgG Monoclonal Clone #IL15/6971R |
| Applications: | IHC |
Recombinant Monoclonal Antibody
| Reactivity: | Human |
| Details: | Rabbit IgG Monoclonal Clone #IL15/6971R |
| Applications: | IHC |
Recombinant Monoclonal Antibody
| Reactivity: | Human |
| Details: | Mouse IgG1 kappa Monoclonal Clone #rIL15/8049 |
| Applications: | IHC |
Recombinant Monoclonal Antibody
| Reactivity: | Human |
| Details: | Mouse IgG1 kappa Monoclonal Clone #rIL15/8050 |
| Applications: | IHC |
Recombinant Monoclonal Antibody
| Reactivity: | Human |
| Details: | Mouse IgG1 kappa Monoclonal Clone #rIL15/8049 |
| Applications: | IHC |
Recombinant Monoclonal Antibody
| Reactivity: | Human |
| Details: | Mouse IgG1 kappa Monoclonal Clone #rIL15/8050 |
| Applications: | IHC |
Recombinant Monoclonal Antibody
| Reactivity: | Human |
| Details: | Mouse IgG1 kappa Monoclonal Clone #rIL15/8050 |
| Applications: | IHC |
Recombinant Monoclonal Antibody
| Reactivity: | Human |
| Details: | Mouse IgG1 kappa Monoclonal Clone #rIL15/8049 |
| Applications: | IHC |
Recombinant Monoclonal Antibody
| Reactivity: | Human |
| Details: | Mouse IgG1 kappa Monoclonal Clone #rIL15/8049 |
| Applications: | IHC |
Recombinant Monoclonal Antibody
| Reactivity: | Human |
| Details: | Mouse IgG1 kappa Monoclonal Clone #rIL15/8049 |
| Applications: | IHC |
Recombinant Monoclonal Antibody
| Reactivity: | Human |
| Details: | Mouse IgG1 kappa Monoclonal Clone #rIL15/8050 |
| Applications: | IHC |
Recombinant Monoclonal Antibody
| Reactivity: | Human |
| Details: | Mouse IgG1 kappa Monoclonal Clone #rIL15/8050 |
| Applications: | IHC |