Skip to main content

Key Product Details

Species Reactivity

Validated:

Mouse

Cited:

Mouse

Applications

Validated:

Immunohistochemistry, Western Blot, Flow Cytometry, Agonist Activity, CyTOF-ready

Cited:

Immunohistochemistry-Frozen, Western Blot

Label

Unconjugated

Antibody Source

Polyclonal Goat IgG

Product Specifications

Immunogen

Mouse myeloma cell line NS0-derived recombinant mouse 4‑1BB/TNFRSF9/CD137
Val24-Leu187
Accession # P20334

Specificity

Detects mouse 4‑1BB/TNFRSF9/CD137 in direct ELISAs and Western blots. In direct ELISAs, approximately 100% cross-reactivity with recombinant rat 4-1BB/TNFRSF9 is observed. In Western blots, less than 5% cross-reactivity with recombinant human 4-1BB and recombinant mouse EDAR is observed.

Clonality

Polyclonal

Host

Goat

Isotype

IgG

Endotoxin Level

<0.10 EU per 1 μg of the antibody by the LAL method.

Scientific Data Images for Mouse 4-1BB/TNFRSF9/CD137 Antibody

Detection of Mouse 4-1BB/TNFRSF9/ CD137 antibody by Western Blot.

Detection of Mouse 4‑1BB/TNFRSF9/ CD137 by Western Blot.

Western blot shows lysates of NS0 mouse myeloma cell line either mock transfected or transfected with recombinant mouse 4-1BB/Fc chimera. PVDF membrane was probed with 0.5 µg/mL of Goat Anti-Mouse 4-1BB/TNFRSF9/CD137 Antigen Affinity-purified Polyclonal Antibody (Catalog # AF937) followed by HRP-conjugated Anti-Goat IgG Secondary Antibody (HAF017). Specific bands were detected for 4-1BB/TNFRSF9/CD137 at approximately 50-60 kDa (as indicated). This experiment was conducted under reducing conditions and using Immunoblot Buffer Group 1.
Detection of 4-1BB/TNFRSF9/CD137 antibody in Resting Mouse Splenocytes antibody by Flow Cytometry.

Detection of 4‑1BB/TNFRSF9/CD137 in Resting Mouse Splenocytes by Flow Cytometry.

Resting mouse splenocytes were stained with Rat Anti-Mouse ICOS APC-conjugated Monoclonal Antibody (Catalog # FAB168A) and either (A) Goat Anti-Mouse 4-1BB/TNFRSF9/CD137 Antigen Affinity-purified Polyclonal Antibody (Catalog # AF937) or (B) Normal Goat IgG Control (AB-108-C) followed by Phycoerythrin-conjugated Anti-Goat IgG Secondary Antibody (F0107). View our protocol for Staining Membrane-associated Proteins.
Detection of 4-1BB/TNFRSF9/CD137 antibody in Activated Mouse Splenocytes antibody by Flow Cytometry.

Detection of 4‑1BB/TNFRSF9/CD137 in Activated Mouse Splenocytes by Flow Cytometry.

Activated mouse splenocytes were stained with Rat Anti-Mouse ICOS APC-conjugated Monoclonal Antibody (Catalog # FAB168A) and either (A) Goat Anti-Mouse 4-1BB/TNFRSF9/CD137 Antigen Affinity-purified Polyclonal Antibody (Catalog # AF937) or (B) Normal Goat IgG Control (AB-108-C) followed by Phycoerythrin-conjugated Anti-Goat IgG Secondary Antibody (F0107). View our protocol for Staining Membrane-associated Proteins.

Applications for Mouse 4-1BB/TNFRSF9/CD137 Antibody

Application
Recommended Usage

Agonist Activity

Mouse 4 1BB/TNFRSF9/CD137 Antibody (Catalog # AF937) co-stimulates IFN-gamma secretion by mouse splenic T cells in the presence of anti-CD3 epsilon (Catalog # MAB484). The ED50 for this effect is typically 0.400–7.00 μg/mL.

CyTOF-ready

Ready to be labeled using established conjugation methods. No BSA or other carrier proteins that could interfere with conjugation.

Flow Cytometry

0.25 µg/106 cells
Sample: Activated and resting mouse splenocytes and NS0 cell line transfected with mouse 4-1BB/TNFRSF9/CD137

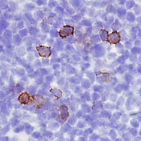
Immunohistochemistry

1-15 µg/mL
Sample: Perfusion fixed frozen sections of mouse spleen

Western Blot

0.5 µg/mL
Sample: NS0 mouse myeloma cell line transfected with recombinant mouse 4-1BB/TNFRSF9/CD137 Fc chimera

Reviewed Applications

Read 1 review rated 4 using AF937 in the following applications:

Formulation, Preparation, and Storage

Purification

Antigen Affinity-purified

Reconstitution

Reconstitute at 0.2 mg/mL in sterile PBS. For liquid material, refer to CoA for concentration.

Reconstitution Buffer Available:
Size / Price
Qty
Loading...

Formulation

Lyophilized from a 0.2 μm filtered solution in PBS with Trehalose. See Certificate of Analysis for details.
*Small pack size (-SP) is supplied either lyophilized or as a 0.2 µm filtered solution in PBS.

Shipping

Lyophilized product is shipped at ambient temperature. Liquid small pack size (-SP) is shipped with polar packs. Upon receipt, store immediately at the temperature recommended below.

Stability & Storage

Use a manual defrost freezer and avoid repeated freeze-thaw cycles.
  • 12 months from date of receipt, -20 to -70 °C as supplied.
  • 1 month, 2 to 8 °C under sterile conditions after reconstitution.
  • 6 months, -20 to -70 °C under sterile conditions after reconstitution.

Background: 4-1BB/TNFRSF9/CD137

4-1BB, also known as CD137 and ILA (induced by lymphocyte activation), is a TNF receptor superfamily member and has been designated TNFRSF9. Mouse 4‑1BB cDNA encodes a 256 amino acid (aa) residues type I transmembrane protein with a putative 23 aa signal peptide, a 164 aa extracellular domain, a 21 aa transmembrane domain and a 48 aa cytoplasmic region (1‑3). A soluble 4‑1BB is released from surfaces of cells expressing the transmembrane protein (4).
Mouse 4‑1BB shares approximately 60% aa sequence identity with its human counterpart. 4‑1BB is expressed on activated CD4+ and CD8+ T cells, thymocytes, and NK cells. It is also expressed on monocytes, neutrophils, DCs and eosinophils (5). The ligand for 4‑1BB (4‑1BBL), also named TNFSF9, belongs to the TNF ligand superfamily. 4‑1BBL is predominantly expressed on activated antigen presenting cells (APCs) such as B cells, macrophages and dendritic cells (DCs). It is also expressed on most T and B lymphoma cell lines. In response to 4‑1BBL binding, 4‑1BB transduce a T cell costimulatory signal in both CD4+ and CD8+ T cells to promote survival and enhance proliferation, cytokine production and effector function. In vivo, the costimulatory activity of 4‑1BB has been shown to be important in graft-vs-host disease and antiviral CTL responses. On dendritic cells, 4‑1BB is a DC-activating molecules that enhances cytokine production and up‑regulates expression of B7-1 and B7-2 costimulatory molecules, resulting in an improved ability to stimulate T cell responses (1‑5).

References

  1. Goodwin, R.G. et al. (1993) Eur. J. Immunol. 23:2631.
  2. Alderson, M.R. et al. (1994) Eur. J. Immunol. 24:2219.
  3. Kwon, B.S. and S.M. Weissman (1989) Proc. Nat. Acad. Sci. USA 86:1963.
  4. Wilcox, R.A. et al. (2002) J. Immunol. 168:4262.
  5. Kwon, B., H.W. Lee and B.S. Kwon, 2002, TRENDS in Immunology 23:378.

Alternate Names

41BB, CD137, ILA, TNFRSF9

Entrez Gene IDs

3604 (Human); 21942 (Mouse); 500590 (Rat); 102127961 (Cynomolgus Monkey)

Gene Symbol

TNFRSF9

UniProt

Additional 4-1BB/TNFRSF9/CD137 Products

Product Documents for Mouse 4-1BB/TNFRSF9/CD137 Antibody

Certificate of Analysis

To download a Certificate of Analysis, please enter a lot number in the search box below.

Note: Certificate of Analysis not available for kit components.

Product Specific Notices for Mouse 4-1BB/TNFRSF9/CD137 Antibody

For research use only

Loading...
Loading...
Loading...
Loading...
Loading...