Skip to main content

Human ULBP-4/RAET1E Antibody

R&D Systems, part of Bio-Techne | Catalog # MAB6285

Catalog #
Availability
Size / Price
Qty
Loading...
MAB6285
MAB6285-SP

Key Product Details

Species Reactivity

Validated:

Human

Cited:

Human

Applications

Validated:

Immunohistochemistry, Western Blot, Flow Cytometry, CyTOF-ready

Cited:

Immunohistochemistry-Paraffin, Flow Cytometry, Immunocytochemistry

Label

Unconjugated

Antibody Source

Monoclonal Mouse IgG2B Clone # 709116

Product Specifications

Immunogen

Mouse myeloma cell line NS0-derived recombinant human ULBP‑4/RAET1E
Gly30-Asp225
Accession # Q8TD07

Specificity

Detects human ULBP‑4/RAET1E in direct ELISAs and Western blots. In Western blots, approximately 20% cross‑reactivity with recombinant human (rh) ULBP-2 is observed and no cross-reactivity with rhULBP‑1 or rhULBP-3 is observed.

Clonality

Monoclonal

Host

Mouse

Isotype

IgG2B

Scientific Data Images for Human ULBP-4/RAET1E Antibody

Detection of Human ULBP-4/RAET1E antibody by Western Blot.

Detection of Human ULBP‑4/RAET1E by Western Blot.

Western blot shows lysates of HT-29 human colon adenocarcinoma cell line. PVDF membrane was probed with 1 µg/mL of Mouse Anti-Human ULBP-4/ RAET1E Monoclonal Antibody (Catalog # MAB6285) followed by HRP-conjugated Anti-Mouse IgG Secondary Antibody (HAF007). A specific band was detected for ULBP-4/RAET1E at approximately 40 kDa (as indicated). This experiment was conducted under reducing conditions and using Immunoblot Buffer Group 1.
Detection of ULBP-4/RAET1E antibody in HepG2 Human Cell Line antibody by Flow Cytometry.

Detection of ULBP-4/RAET1E in HepG2 Human Cell Line by Flow Cytometry.

HepG2 human hepatocellular carcinoma cell line was stained with Mouse Anti-Human ULBP-4/RAET1E Monoclonal Antibody (Catalog # MAB6285, filled histogram) or isotype control antibody (MAB0041, open histogram), followed by Allophycocyanin-conjugated Anti-Mouse IgG Secondary Antibody (F0101B).
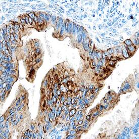
ULBP-4/RAET1E antibody in Human Ovarian Cancer Tissue by Immunohistochemistry (IHC-P).

ULBP‑4/RAET1E in Human Ovarian Cancer Tissue.

ULBP-4/RAET1E was detected in immersion fixed paraffin-embedded sections of human ovarian cancer tissue using Mouse Anti-Human ULBP-4/ RAET1E Monoclonal Antibody (Catalog # MAB6285) at 15 µg/mL overnight at 4 °C. Tissue was stained using the Anti-Mouse HRP-DAB Cell & Tissue Staining Kit (brown; CTS002) and counter-stained with hematoxylin (blue). Specific staining was localized to plasma membranes of epithelial cells. View our protocol for Chromogenic IHC Staining of Paraffin-embedded Tissue Sections.

Applications for Human ULBP-4/RAET1E Antibody

Application
Recommended Usage

CyTOF-ready

Ready to be labeled using established conjugation methods. No BSA or other carrier proteins that could interfere with conjugation.

Flow Cytometry

0.25 µg/106 cells
Sample: HepG2 human hepatocellular carcinoma cell line, U‑87 MG human glioblastoma/astrocytoma cell line, and  HEK293 human embryonic kidney cell line

Immunohistochemistry

8-25 µg/mL
Sample: Immersion fixed paraffin-embedded sections of human ovarian cancer tissue

Western Blot

1 µg/mL
Sample: HT‑29 human colon adenocarcinoma cell line

Formulation, Preparation, and Storage

Purification

Protein A or G purified from hybridoma culture supernatant

Reconstitution

Sterile PBS to a final concentration of 0.5 mg/mL. For liquid material, refer to CoA for concentration.

Reconstitution Buffer Available:
Size / Price
Qty
Loading...

Formulation

Lyophilized from a 0.2 μm filtered solution in PBS with Trehalose. *Small pack size (SP) is supplied either lyophilized or as a 0.2 µm filtered solution in PBS.

Shipping

Lyophilized product is shipped at ambient temperature. Liquid small pack size (-SP) is shipped with polar packs. Upon receipt, store immediately at the temperature recommended below.

Stability & Storage

Use a manual defrost freezer and avoid repeated freeze-thaw cycles.
  • 12 months from date of receipt, -20 to -70 °C as supplied.
  • 1 month, 2 to 8 °C under sterile conditions after reconstitution.
  • 6 months, -20 to -70 °C under sterile conditions after reconstitution.

Background: ULBP-4/RAET1E

ULBP-4 (cytomegalovirus glycoprotein UL16 binding protein 4), also called RAET1E (retinoic acid early transcript 1E), Letal (lymphocyte effector cell toxicity activating ligand) and NKG2DL4 (NKG2D ligand 4), is a 40-50 kDa member of the ULBP/RAET1 family of cell surface proteins that function as ligands for NKG2D (1‑6). While most family members are GPI-anchored, only ULBP-4/RAET1E and ULBP-5/RAET1G express a transmembrane form (1, 4, 6, 7). Human ULBP-4 mRNA encodes 263 amino acids (aa) including a 30 aa signal sequence, a 195 aa extracellular domain (ECD), a 23 aa transmembrane domain, and a 15 aa cytoplasmic sequence. A soluble 35 kDa form diverges at aa 208 and is thought to antagonize the transmembrane form (5). Other potential splice variants of 220, 227 and 280 aa are transmembrane proteins (8). Within the ECD, ULBP-4 shares 34-41% aa sequence identity with family members (1, 7). Rodent NKG2D ligands Rae-1 alpha-epsilon are, like human ULBP and MIB proteins, distantly related to MHC class I proteins, but none of the families share significant sequence identity (2, 4). Low expression of ULBP‑4 mRNA is found in normal tissues, with high expression variably reported in the small intestine (3) and skin (4). Expression is stimulated by TNF-alpha and down‑regulated by retinoic acid (3). ULBP-4 is abnormally expressed on most colon cancer and some other tumor cell lines and virus-infected peripheral blood cells (3, 6). ULBP-4 binds and costimulates NKG2D-expressing effector cells including NK cells, NKT cells, gamma delta T cells, and CD8+ alpha beta T cells, activating cytolytic activity and/or cytokine production (3, 4, 7). In some gamma delta T cells, direct ULBP-4 binding to both TCR gamma delta and NKG2D has been demonstrated (6). ULBP-4 is also thought to function as a minor histocompatibility antigen in humans (1).

References

  1. Radosavljevic, M. et al. (2002) Genomics 79:114.
  2. Kondo, M. et al. (2010) Immunogenetics 62:441.
  3. Conejo-Garcia, J.R. et al. (2003) Cancer Biol. Ther. 2:446.
  4. Chalupny, N.J. et al. (2003) Biochem. Biophys. Res. Commun. 305:129.
  5. Cao, W. et al. (2007) J. Biol. Chem. 282:18922.
  6. Kong, Y. et al. (2009) Blood 114:310.
  7. Bacon, L. et al. (2004) J. Immunol. 173:1078.
  8. Cao, W. et al. (2008) Int. Immunol. 20:981.

Long Name

UL16 Binding Protein-4

Alternate Names

LETAL, N2DL-4, N2DL4, NKG2DL4, RAET1E, RL-4, ULBP4

Entrez Gene IDs

135250 (Human); 379043 (Mouse); 292461 (Rat)

Gene Symbol

RAET1E

UniProt

Additional ULBP-4/RAET1E Products

Product Documents for Human ULBP-4/RAET1E Antibody

Certificate of Analysis

To download a Certificate of Analysis, please enter a lot number in the search box below.

Note: Certificate of Analysis not available for kit components.

Product Specific Notices for Human ULBP-4/RAET1E Antibody

For research use only

Loading...
Loading...
Loading...
Loading...
Loading...
Loading...