Human PD-L1/B7-H1 Antibody
R&D Systems, part of Bio-Techne | Catalog # MAB1561

Conjugate
Catalog #
Key Product Details
Validated by
Biological Validation
Species Reactivity
Validated:
Human
Cited:
Human, Mouse
Applications
Validated:
Immunohistochemistry, Flow Cytometry, Dual RNAscope ISH-IHC Compatible, CyTOF-ready
Cited:
Immunohistochemistry, Immunohistochemistry-Paraffin, Western Blot, Flow Cytometry, Immunofluorescence, Immunocytochemistry, ELISA Detection, ELISA Development (Capture)
Label
Unconjugated
Antibody Source
Monoclonal Mouse IgG1 Clone # 130021
Product Specifications
Immunogen
Mouse myeloma cell line NS0-derived recombinant human PD-L1/B7-H1
Phe19-Thr239
Accession # Q9NZQ7
Phe19-Thr239
Accession # Q9NZQ7
Specificity
Detects human PD-L1/B7-H1 in direct ELISAs. In direct ELISAs, no cross-reactivity with recombinant human (rh) B7-1, -2, -H2, -H3, -H3b,-H4, rhPD-L2, recombinant mouse B7-H1, recombinant rat (rr) B7-1, or rrB7-2 is observed.
Clonality
Monoclonal
Host
Mouse
Isotype
IgG1
Scientific Data Images for Human PD-L1/B7-H1 Antibody
Detection of PD-L1/B7-H1 in Jurkat Human Cell Line by Flow Cytometry.
Jurkat human acute T cell leukemia cell line was stained with Mouse Anti-Human PD-L1/B7-H1 Monoclonal Antibody (Catalog # MAB1561, filled histogram) or isotype control antibody (Catalog # MAB002, open histogram), followed by Phycoerythrin-conjugated Anti-Mouse IgG F(ab')2Secondary Antibody (Catalog # F0102B).View our protocol for Staining Membrane-associated Proteins.Detection of PD-L1/B7-H1 in MDA-MB-231 Human Cell Line by Flow Cytometry.
MDA-MB-231 human breast adenocarcinoma cell line was stained with Mouse Anti-Human PD-L1/B7-H1 Monoclonal Antibody (Catalog # MAB1561, filled histogram) or isotype control antibody (Catalog # MAB002, open histogram), followed by Phycoerythrin-conjugated Anti-Mouse IgG F(ab')2 Secondary Antibody (Catalog # F0102B). Adherent cells were prepared by either manual scraping or with TrypLE Express treatment with similar results. View our protocol for Staining Membrane-associated Proteins.PD-L1/B7-H1 in Human Colon Cancer.
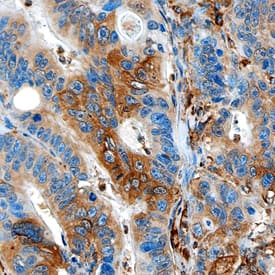
PD-L1/B7-H1 was detected in formalin fixed paraffin-embedded sections of human colon cancer using Mouse Anti-Human PD-L1/B7-H1 Monoclonal Antibody (Catalog # MAB1561) at 15 µg/mL overnight at 4 °C. Tissue was stained using the Anti-Mouse HRP-DAB Cell & Tissue Staining Kit (brown; Catalog # CTS002) and counterstained with hematoxylin (blue). Specific staining was observed in the cytoplasm. View our protocol for Chromogenic IHC Staining of Paraffin-embedded Tissue Sections.Applications for Human PD-L1/B7-H1 Antibody
Application
Recommended Usage
CyTOF-ready
Ready to be labeled using established conjugation methods. No BSA or other carrier proteins that could interfere with conjugation.
Dual RNAscope ISH-IHC Compatible
3-25 µg/mL
Sample: Immersion fixed paraffin-embedded sections of human colon cancer
Sample: Immersion fixed paraffin-embedded sections of human colon cancer
Flow Cytometry
0.25 µg/106 cells
Sample: Jurkat human acute T cell leukemia cell line or MDA-MB-231 human breast adenocarcinoma cell line
Sample: Jurkat human acute T cell leukemia cell line or MDA-MB-231 human breast adenocarcinoma cell line
Immunohistochemistry
8-25 µg/mL
Sample: Immersion fixed paraffin-embedded sections of human colon
Sample: Immersion fixed paraffin-embedded sections of human colon
Reviewed Applications
Read 5 reviews rated 4.8 using MAB1561 in the following applications:
Formulation, Preparation, and Storage
Purification
Protein A or G purified from hybridoma culture supernatant
Reconstitution
Reconstitute at 0.5 mg/mL in sterile PBS. For liquid material, refer to CoA for concentration.
Formulation
Lyophilized from a 0.2 μm filtered solution in PBS with Trehalose. See Certificate of Analysis for details.
*Small pack size (-SP) is supplied either lyophilized or as a 0.2 µm filtered solution in PBS.
*Small pack size (-SP) is supplied either lyophilized or as a 0.2 µm filtered solution in PBS.
Shipping
Lyophilized product is shipped at ambient temperature. Liquid small pack size (-SP) is shipped with polar packs. Upon receipt, store immediately at the temperature recommended below.
Stability & Storage
Use a manual defrost freezer and avoid repeated freeze-thaw cycles.
- 12 months from date of receipt, -20 to -70 °C as supplied.
- 1 month, 2 to 8 °C under sterile conditions after reconstitution.
- 6 months, -20 to -70 °C under sterile conditions after reconstitution.
Background: PD-L1/B7-H1
References
- Nishimura, H. and T. Honjo (2001) Trends Immunol. 22:265.
- Freeman, G.J. et al. (2000) J. Exp. Med. 192:1027.
- Latchman, Y. et al. (2001) Nat. Immunol. 2:261.
Long Name
Programmed Death Ligand 1
Alternate Names
B7-H1, B7H1, CD274, PDCD1L1, PDCD1LG1, PDL1
Entrez Gene IDs
Gene Symbol
CD274
UniProt
Additional PD-L1/B7-H1 Products
Product Documents for Human PD-L1/B7-H1 Antibody
Product Specific Notices for Human PD-L1/B7-H1 Antibody
For research use only
Loading...
Loading...
Loading...
Loading...
Loading...