Skip to main content

Key Product Details

Validated by

Knockout/Knockdown

Species Reactivity

Validated:

Human, Mouse, Rat

Cited:

Human, Mouse, Bovine

Applications

Validated:

Knockout Validated, Western Blot, Flow Cytometry, Immunocytochemistry, Simple Western, CyTOF-ready

Cited:

Immunohistochemistry, Western Blot, Flow Cytometry, Immunocytochemistry, Immunoprecipitation, Flow Cytometry Control

Label

Unconjugated

Antibody Source

Polyclonal Goat IgG

Product Specifications

Immunogen

Chinese hamster ovary cell line CHO-derived recombinant human Integrin  alphaV/CD51
Phe31-Val992
Accession # P06756

Specificity

Detects human Integrin  alphaV in direct ELISAs and Western blots. Detects human, mouse and rat Integrin  alphaV in Simple Western application.

Clonality

Polyclonal

Host

Goat

Isotype

IgG

Scientific Data Images for Human/Mouse/Rat Integrin  alphaV/CD51 Antibody

Detection of Human Integrin aV/CD51 antibody by Western Blot.

Detection of Human Integrin alphaV/CD51 by Western Blot.

Western blot shows lysates of HUVEC human umbilical vein endothelial cells, A549 human lung carcinoma cell line, and HT1080 human fibrosarcoma cell line. PVDF membrane was probed with 0.5 µg/mL of Goat Anti-Human Integrin aV/CD51 Antigen Affinity-purified Polyclonal Antibody (Catalog # AF1219) followed by HRP-conjugated Anti-Goat IgG Secondary Antibody (Catalog # HAF017). A specific band was detected for Integrin aV/CD51 at approximately 130 kDa (as indicated). This experiment was conducted under reducing conditions and using Immunoblot Buffer Group 1.

Detection of Human Integrin  alphaV/CD51 by Simple WesternTM.

Simple Western shows lysates of Exosome Standards (HT-29) (NBP3-11685) and Jurkat human acute T cell leukemia cell line, loaded at 0.5 mg/ml. A specific band was detected for Integrin  alphaV/CD51 at approximately 150 kDa (as indicated) using 20 µg/mL of Goat Anti-Human/Mouse/Rat Integrin  alphaV/CD51 Antigen Affinity-purified Polyclonal Antibody (Catalog # AF1219). This experiment was conducted under reducing conditions and using the 12-230kDa separation system.
Integrin aV/CD51 antibody in Rat Mesenchymal Stem Cells by Immunocytochemistry (ICC).

Integrin alphaV/CD51 in Rat Mesenchymal Stem Cells.

Integrin aV/CD51 was detected in immersion fixed undifferentiated rat mesenchymal stem cells using Goat Anti-Human/Mouse/Rat Integrin aV/CD51 Antigen Affinity-purified Polyclonal Antibody (Catalog # AF1219) at 10 µg/mL for 3 hours at room temperature. Cells were stained using the NorthernLights™ 557-conjugated Anti-Goat IgG Secondary Antibody (red; Catalog # NL001) and counterstained with DAPI (blue). Specific staining was localized to cytoplasm. View our protocol for Fluorescent ICC Staining of Cells on Coverslips.

Applications for Human/Mouse/Rat Integrin  alphaV/CD51 Antibody

Application
Recommended Usage

CyTOF-ready

Ready to be labeled using established conjugation methods. No BSA or other carrier proteins that could interfere with conjugation.

Flow Cytometry

2.5 µg/106 cells
Sample: Human peripheral blood mononuclear cells

Immunocytochemistry

5-15 µg/mL
Sample: Immersion fixed DU145 human prostate carcinoma cell line, and immersion fixed rat mesenchymal stem cells

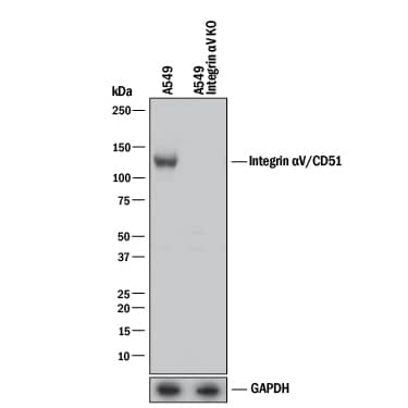
Knockout Validated

Integrin  alphaV/CD51 is specifically detected in A549 human lung carcinoma parental cell line but is not detectable in Integrin  alphaV/CD51 knockout A549 cell line.

Simple Western

20 µg/mL
Sample: HUVEC human umbilical vein endothelial cells, A549 human lung carcinoma cell line, C6 rat glioma cell line, and NIH‑3T3 mouse embryonic fibroblast cell line

Western Blot

0.5 µg/mL
Sample: HUVEC human umbilical vein endothelial cells, A549 human lung carcinoma cell line, and HT1080 human fibrosarcoma cell line

Formulation, Preparation, and Storage

Purification

Antigen Affinity-purified

Reconstitution

Reconstitute at 0.2 mg/mL in sterile PBS. For liquid material, refer to CoA for concentration.

Reconstitution Buffer Available:
Size / Price
Qty
Loading...

Formulation

Lyophilized from a 0.2 μm filtered solution in PBS with Trehalose. See Certificate of Analysis for details.
*Small pack size (-SP) is supplied either lyophilized or as a 0.2 µm filtered solution in PBS.

Shipping

Lyophilized product is shipped at ambient temperature. Liquid small pack size (-SP) is shipped with polar packs. Upon receipt, store immediately at the temperature recommended below.

Stability & Storage

Use a manual defrost freezer and avoid repeated freeze-thaw cycles.
  • 12 months from date of receipt, -20 to -70 °C as supplied.
  • 1 month, 2 to 8 °C under sterile conditions after reconstitution.
  • 6 months, -20 to -70 °C under sterile conditions after reconstitution.

Background: Integrin alpha V/CD51

Integrin alphaV, also known as CD51 and vitronectin receptor subunit  alpha, is a 140-150 kDa integrin alpha chain that forms dimers with at least five beta chains including beta1, 3, 5, 6, and 8. It is a 1018 amino acid (aa) residue type I membrane protein with a large (962 aa) extracellular domain (ECD) and a short (32 aa) cytoplasmic tail. The N-terminal region of alphaV, which is important for ligand binding, contains seven FG-GAP (phenylalanyl-glycyl and glycyl-alanyl-prolyl) concensus repeats that fold into a beta-propellar domain. Furin cleavage of the alphaV ECD occurs after Gly 889, generating a disulfide-linked, heteromeric subunit alphaV chain. alphaV-containing integrins bind multiple ECM molecules, including vitronectin, osteopontin, MMP-2, and TSP. The ECD of human Integrin  alphaV shares 92% aa sequence identity with mouse Integrin  alphaV ECD.

Alternate Names

CD51, ITGAV, MSK8, Vitronectin Receptor alpha, VNRA

Entrez Gene IDs

3685 (Human); 16410 (Mouse); 296456 (Rat); 102116249 (Cynomolgus Monkey)

Gene Symbol

ITGAV

UniProt

Additional Integrin alpha V/CD51 Products

Product Documents for Human/Mouse/Rat Integrin  alphaV/CD51 Antibody

Certificate of Analysis

To download a Certificate of Analysis, please enter a lot number in the search box below.

Note: Certificate of Analysis not available for kit components.

Product Specific Notices for Human/Mouse/Rat Integrin  alphaV/CD51 Antibody

For research use only

Loading...
Loading...
Loading...
Loading...
Loading...