Skip to main content

Human/Hamster ACE-2 Antibody

R&D Systems, part of Bio-Techne | Catalog # MAB933

R&D Systems, part of Bio-Techne
Catalog #
Availability
Size / Price
Qty
Loading...
MAB933
MAB933-SP

Key Product Details

Species Reactivity

Validated:

Human, Hamster

Cited:

Human, Mouse, Primate - Chlorocebus aethiops (African Green Monkey), Transgenic Mouse

Applications

Validated:

Immunohistochemistry, Western Blot

Cited:

Immunohistochemistry, Immunohistochemistry-Paraffin, Western Blot, Flow Cytometry, Immunocytochemistry, Immunocytochemistry/ Immunofluorescence, Functional Assay

Label

Unconjugated

Antibody Source

Monoclonal Mouse IgG2A Clone # 171606

Product Specifications

Immunogen

Mouse myeloma cell line NS0-derived recombinant human ACE-2
Gln18-Ser740 (predicted)
Accession # Q9BYF1

Specificity

Detects human ACE-2 in direct ELISAs and Western blots. In Western blots, no cross-reactivity with recombinant human (rh) ACE-1 or rhNeprilysin is observed.

Clonality

Monoclonal

Host

Mouse

Isotype

IgG2A

Scientific Data Images for Human/Hamster ACE-2 Antibody

Detection of Human ACE-2 antibody by Western Blot.

Detection of Human ACE‑2 by Western Blot.

Western blot shows lysates of NS0 mouse myeloma cell line and human kidney tissue. PVDF membrane was probed with 2 µg/mL of Mouse Anti-Human ACE-2 Monoclonal Antibody (Catalog # MAB933) followed by HRP-conjugated Anti-Mouse IgG Secondary Antibody (Catalog # HAF007). A specific band was detected for ACE-2 at approximately 110 kDa (as indicated). This experiment was conducted under reducing conditions and using Immunoblot Buffer Group 1.
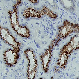
ACE-2 antibody in Human Kidney by Immunohistochemistry (IHC-P).

ACE‑2 in Human Kidney.

ACE-2 was detected in immersion fixed paraffin-embedded sections of human kidney using Mouse Anti-Human ACE-2 Monoclonal Antibody (Catalog # MAB933) at 15 µg/mL overnight at 4 °C. Before incubation with the primary antibody, tissue was subjected to heat-induced epitope retrieval using Antigen Retrieval Reagent-Basic (Catalog # CTS013). Tissue was stained using the Anti-Mouse HRP-DAB Cell & Tissue Staining Kit (brown; Catalog # CTS002) and counterstained with hematoxylin (blue). Specific staining was localized to cell surface of epithelial cells in convoluted tubules. View our protocol for Chromogenic IHC Staining of Paraffin-embedded Tissue Sections.
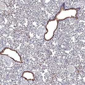
ACE-2 antibody in Hamster Lung by Immunohistochemistry (IHC-P).

ACE-2 in Hamster Lung.

ACE-2 was detected in immersion fixed paraffin-embedded sections of hamster lung using Mouse Anti-Human ACE-2 Monoclonal Antibody (Catalog # MAB933) at 10 µg/mL for 1 hour at room temperature followed by incubation with the Anti-Mouse IgG VisUCyte™ HRP Polymer Antibody (VC001). Before incubation with the primary antibody, tissue was subjected to heat-induced epitope retrieval using Antigen Retrieval Reagent-Basic (CTS013). Tissue was stained using DAB (brown) and counterstained with hematoxylin (blue). Specific staining was localized to respiratory bronchioles. Staining was performed our protocol for IHC Staining with VisUCyte HRP Polymer Detection Reagents.

Applications for Human/Hamster ACE-2 Antibody

Application
Recommended Usage

Immunohistochemistry

8-25 µg/mL
Sample: Immersion fixed paraffin-embedded sections of human kidney and hamster lung.

Western Blot

2 µg/mL
Sample: NS0 mouse myeloma cell line and human kidney tissue

Reviewed Applications

Read 4 reviews rated 4.5 using MAB933 in the following applications:

Formulation, Preparation, and Storage

Purification

Protein A or G purified from hybridoma culture supernatant

Reconstitution

Reconstitute at 0.5 mg/mL in sterile PBS. For liquid material, refer to CoA for concentration.

Reconstitution Buffer Available:
Size / Price
Qty
Loading...

Formulation

Lyophilized from a 0.2 μm filtered solution in PBS with Trehalose. *Small pack size (SP) is supplied either lyophilized or as a 0.2 µm filtered solution in PBS.

Shipping

Lyophilized product is shipped at ambient temperature. Liquid small pack size (-SP) is shipped with polar packs. Upon receipt, store immediately at the temperature recommended below.

Stability & Storage

Use a manual defrost freezer and avoid repeated freeze-thaw cycles.
  • 12 months from date of receipt, -20 to -70 °C as supplied.
  • 1 month, 2 to 8 °C under sterile conditions after reconstitution.
  • 6 months, -20 to -70 °C under sterile conditions after reconstitution.

Background: ACE-2

Angiogensin I Converting Enzyme-2 (ACE-2), also called ACEH (ACE homolog), is a type I transmembrane zinc protease that cleaves angiotensins I and II to produce vasodilatory and anti-proliferative peptides. The balance between ACE-1 and ACE-2 activity is critical for maintaining cardiovascular, renal, and pulmonary function (1). ACE-2 also functions as the cellular uptake receptor for the SARS coronoavirus. Within the extracellular domain, human ACE-2 shares 83% aa sequence identity with mouse and rat ACE-2. Human ACE-2 has about 40% amino acid identity to the N- and C-terminal domains of human somatic ACE. The predicted human ACE-2 protein sequence consists of 805 amino acids, including a N-terminal signal peptide, a single catalytic domain, a C-terminal membrane anchor, and a short cytoplasmic tail. ACE-2 mRNA is found at high levels in testis, kidney and heart and at moderate levels in colon, small intestine and ovary. Classical ACE inhibitors such as captopril and lisinopril do not inhibit ACE-2 activity. Novel peptide inhibitors of ACE-2 do not inhibit ACE activity (2). Genetic data from Drosophila, mice and rats show that ACE-2 is an essential regulator of heart function in vivo (3). ACE-2 isoforms of 75 kDa and 120 kDa are differentially expressed between lung and kidney, respectively, and a shed soluble form is generated by TACE/ADAM17 mediated cleavage.

References

  1. Tipnis, S.R. et al. (2000) J. Biol. Chem. 275:33238.
  2. Crackower,  M.A. et al. (2002) Nature 417:822.
  3. Huang, L. et al. (2003) J. Biol. Chem. 278:15532.

Long Name

Angiotensin I Converting Enzyme 2

Alternate Names

ACE2, ACEH

Entrez Gene IDs

59272 (Human); 70008 (Mouse); 302668 (Rat); 100144303 (Porcine); 480847 (Canine); 418623 (Chicken); 102130864 (Cynomolgus Monkey); 554349 (Feline); 101673097 (Ferret); 101823817 (Hamster); 108390919 (Malayan Pangolin)

Gene Symbol

ACE2

UniProt

Additional ACE-2 Products

Product Documents for Human/Hamster ACE-2 Antibody

Certificate of Analysis

To download a Certificate of Analysis, please enter a lot number in the search box below.

Note: Certificate of Analysis not available for kit components.

Product Specific Notices for Human/Hamster ACE-2 Antibody

For research use only

Loading...
Loading...
Loading...
Loading...
Loading...