Skip to main content

Key Product Details

Validated by

Knockout/Knockdown, Biological Validation

Species Reactivity

Validated:

Human

Cited:

Human, Mouse, Rat, Avian - Chicken, Gerbil, Xenograft

Applications

Validated:

Knockout Validated, Immunohistochemistry, Western Blot, Immunocytochemistry, Simple Western, Immunoprecipitation

Cited:

Immunohistochemistry, Immunohistochemistry-Paraffin, Immunohistochemistry-Frozen, Western Blot, Immunocytochemistry

Label

Unconjugated

Antibody Source

Polyclonal Goat IgG

Product Specifications

Immunogen

Mouse myeloma cell line NS0-derived recombinant human Cathepsin B
Arg18-Ile339
Accession # P07858

Specificity

Detects human Cathepsin B in direct ELISAs and Western blots. In direct ELISAs, approximately 35% cross-reactivity with recombinant mouse (rm) Cathepsin B is observed and less than 5% cross-reactivity with recombinant human (rh) Cathepsin C, rmCathepsin H, and rhCathepsin L is observed.

Clonality

Polyclonal

Host

Goat

Isotype

IgG

Scientific Data Images for Human Cathepsin B Antibody

Detection of Human Cathepsin B antibody by Western Blot.

Detection of Human Cathepsin B by Western Blot.

Western blot shows lysates of HepG2 human hepatocellular carcinoma cell line. PVDF membrane was probed with 0.25 µg/mL of Goat Anti-Human Cathepsin B Antigen Affinity-purified Polyclonal Antibody (Catalog # AF953) followed by HRP-conjugated Anti-Goat IgG Secondary Antibody (Catalog # HAF019). A specific band was detected for Cathepsin B at approximately 25-30 kDa (as indicated). This experiment was conducted under reducing conditions and using Immunoblot Buffer Group 1.
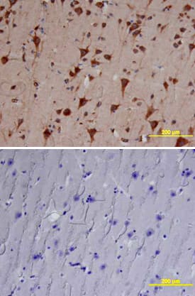
Cathepsin B antibody in Human Brain by Immunohistochemistry (IHC-P).

Cathepsin B in Human Brain.

Cathepsin B was detected in immersion fixed paraffin-embedded sections of human brain (cortex) using Goat Anti-Human Cathepsin B Antigen Affinity-purified Polyclonal Antibody (Catalog # AF953) at 10 µg/mL overnight at 4 °C. Tissue was stained using the Anti-Goat HRP-DAB Cell & Tissue Staining Kit (brown; CTS008) and counterstained with hematoxylin (blue). Lower panel shows a lack of labeling if primary antibodies are omitted and tissue is stained only with secondary antibody followed by incubation with detection reagents. View our protocol for Chromogenic IHC Staining of Paraffin-embedded Tissue Sections.
Detection of Human Cathepsin B antibody by Simple WesternTM.

Detection of Human Cathepsin B by Simple WesternTM.

Simple Western lane view shows lysates of HepG2 human hepatocellular carcinoma cell line, loaded at 0.2 mg/mL. A specific band was detected for Cathepsin B at approximately 34 kDa (as indicated) using 2.5 µg/mL of Goat Anti-Human Cathepsin B Antigen Affinity-purified Polyclonal Antibody (Catalog # AF953) followed by 1:50 dilution of HRP-conjugated Anti-Goat IgG Secondary Antibody (HAF109). This experiment was conducted under reducing conditions and using the 12-230 kDa separation system.

Applications for Human Cathepsin B Antibody

Application
Recommended Usage

Immunocytochemistry

5-25 µg/mL
Sample: Immersion fixed U‑87 MG human glioblastoma/astrocytoma cell line (Positive) & Daudi human Burkitt's lymphoma cell line (Negative)

Immunohistochemistry

5-15 µg/mL
Sample: Immersion fixed paraffin-embedded sections of human normal brain (cortex) and bladder cancer tissue

Immunoprecipitation

25 µg/mL
Sample: Conditioned cell culture medium spiked with Recombinant Human Cathepsin B (Catalog # 953-CY), see our available Western blot detection antibodies
HAP1 cell line.

Knockout Validated

Cathepsin B is specifically detected in HeLa human cervical epithelial carcinoma parental cell line but is not detectable in Cathepsin B knockout HeLa cell line.

Simple Western

2.5 µg/mL
Sample: HepG2 human hepatocellular carcinoma cell line

Western Blot

0.25 µg/mL
Sample: HepG2 human hepatocellular carcinoma cell line

Reviewed Applications

Read 3 reviews rated 5 using AF953 in the following applications:

Formulation, Preparation, and Storage

Purification

Antigen Affinity-purified

Reconstitution

Reconstitute at 0.2 mg/mL in sterile PBS. For liquid material, refer to CoA for concentration.

Reconstitution Buffer Available:
Size / Price
Qty
Loading...

Formulation

Lyophilized from a 0.2 μm filtered solution in PBS with Trehalose. See Certificate of Analysis for details.
*Small pack size (-SP) is supplied either lyophilized or as a 0.2 µm filtered solution in PBS.

Shipping

Lyophilized product is shipped at ambient temperature. Liquid small pack size (-SP) is shipped with polar packs. Upon receipt, store immediately at the temperature recommended below.

Stability & Storage

Use a manual defrost freezer and avoid repeated freeze-thaw cycles.
  • 12 months from date of receipt, -20 to -70 °C as supplied.
  • 1 month, 2 to 8 °C under sterile conditions after reconstitution.
  • 6 months, -20 to -70 °C under sterile conditions after reconstitution.

Background: Cathepsin B

Cathepsin B is the first described member of the family of lysosomal cysteine proteases (1). Cathepsin B possesses both endopeptidase and exopeptidase activities, in the latter case acting as a peptidyl-dipeptidase. It is known to process a number of proteins, including pro and active caspases, prorenin, and secretory leucoprotease inhibitor (SLPI) (2-4). Therefore, Cathepsin B may play a role in activation and inactivation of caspases, activation of renin and inactivation of SLPI, the key steps in apoptosis, angiotensin production, and progression of emphysema, respectively. Because of its increased levels and redistribution of the enzyme in human and animal tumors, Cathepsin B may also have role in invasion and metastasis (5).

In addition to lysosome, Cathepsin B can be secreted or associated with plasma membrane, cytoplasm, and nucleus. It is synthesized as a preproenzyme. Following removal of the signal peptide, the inactive proenzyme undergoes further modifications including removal of the pro region to result in the active enzyme (1).

References

  1. Mort, J.S. (2004) in Handbook of Proteolytic Enzymes. Barrett, A.J. et al. (eds): Academic Press, San Diego, p. 1079.
  2. Vancompernolle, K. et al. (1998) FEBS Lett. 438:150.
  3. Jutras, I. and T.L. Reudelhuber (1999) FEBS Lett. 443:48.
  4. Taggart, C.C. et al. (2001) J. Biol. Chem. 276:33345.
  5. Bergquin, I.M. and B.F. Sloane (1996) Adv. Exp. Med. Biol. 389:281.

Alternate Names

CTSB

Entrez Gene IDs

1508 (Human); 13030 (Mouse)

Gene Symbol

CTSB

UniProt

Additional Cathepsin B Products

Product Documents for Human Cathepsin B Antibody

Certificate of Analysis

To download a Certificate of Analysis, please enter a lot number in the search box below.

Note: Certificate of Analysis not available for kit components.

Product Specific Notices for Human Cathepsin B Antibody

For research use only

Loading...
Loading...
Loading...
Loading...