Skip to main content

Key Product Details

Species Reactivity

Validated:

Rat

Cited:

Mouse, Rat, Hamster

Applications

Validated:

Immunohistochemistry, Neutralization, Immunocytochemistry

Cited:

Western Blot, Flow Cytometry, Fluorescense Microscopy

Label

Unconjugated

Antibody Source

Monoclonal Mouse IgG1 Clone # 38139

Product Specifications

Immunogen

E. coli-derived recombinant rat IL‑1 beta/IL‑1F2
Val117-Ser268
Accession # Q63264

Specificity

Detects rat IL‑1 beta/IL‑1F2 in direct ELISAs and Western blots. In direct ELISAs and Western blots, less than 5% cross‑reactivity with recombinant human IL-1 alpha, recombinant mouse IL-1 alpha, and recombinant rat IL-1 alpha is observed.

Clonality

Monoclonal

Host

Mouse

Isotype

IgG1

Endotoxin Level

<0.10 EU per 1 μg of the antibody by the LAL method.

Scientific Data Images for Rat IL-1 beta/IL-1F2 Antibody

Cell Proliferation Induced by IL‑1 beta/IL‑1F2 and Neutral-ization by Rat IL‑1 beta/IL‑1F2 Antibody.

Cell Proliferation Induced by IL‑1 beta/IL‑1F2 and Neutral-ization by Rat IL‑1 beta/IL‑1F2 Antibody.

Recombinant Rat IL-1 beta/IL-1F2 (Catalog # 501-RL) stimulates proliferation in the the D10.G4.1 mouse helper T cell line in a dose-dependent manner (orange line). Proliferation elicited by Recombinant Rat IL-1 beta/IL-1F2 (4 ng/mL) is neutralized (green line) by increasing concentrations of Mouse Anti-Rat IL-1 beta/IL-1F2 Monoclonal Antibody (Catalog # MAB501). The ND50 is typically 10-30 µg/mL.

Detection of IL-1 beta/IL-1F2 in Rat Splenocytes.

IL-1 beta/IL-1F2 was detected in Immersion fixed Rat Splenocytes cells using Mouse Anti-Rat IL-1 beta/IL-1F2 Monoclonal Antibody (Catalog # MAB501) at 10 µg/ml for 3 hours at room temperature. Cells were stained using the NorthernLights™ 557-conjugated Anti-Mouse IgG Secondary Antibody (red; Catalog # NL007) and counterstained with DAPI (blue). Specific staining was localized to the cytoplasm. View our protocol for Fluorescent ICC Staining of Cells on Coverslips.

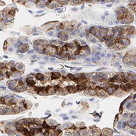
Detection of IL-1 beta/IL-1F2 in Rat Intestine.

IL-1 beta/IL-1F2 was detected in perfusion fixed paraffin-embedded sections of rat intestine using Mouse Anti-Rat IL-1 beta/IL-1F2 Monoclonal Antibody (Catalog # MAB501) at 15 µg/ml overnight at 4 °C. Before incubation with the primary antibody, tissue was subjected to heat-induced epitope retrieval using VisUCyte Antigen Retrieval Reagent-Basic (Catalog # VCTS021). Tissue was stained using the HRP-conjugated Anti-Mouse IgG Secondary Antibody (Catalog # HAF007) and counterstained with hematoxylin (blue). Specific staining was localized to the cytoplasm. View our protocol for Chromogenic IHC Staining of Paraffin-embedded Tissue Sections.

Applications for Rat IL-1 beta/IL-1F2 Antibody

Application
Recommended Usage

Immunocytochemistry

8-25 µg/mL
Sample: Immersion fixed rat splenocytes 

Immunohistochemistry

3-25 µg/mL
Sample: Perfusion fixed paraffin-embedded sections of rat intestine, liver, and stomach

Neutralization

Measured by its ability to neutralize IL‑1 beta/IL‑1F2-induced proliferation in the D10.G4.1 mouse helper T cell line. Symons, J. A. et al. (1987) in Lymphokines and Interferons, a Practical Approach. Clemens, M. J. et al. (eds): IRL Press. 272. The Neutralization Dose (ND50) is typically 10-30 µg/mL in the presence of 4 ng/mL Recombinant Rat IL‑1 beta/IL‑1F2.

Formulation, Preparation, and Storage

Purification

Protein A or G purified from hybridoma culture supernatant

Reconstitution

Reconstitute at 0.5 mg/mL in sterile PBS. For liquid material, refer to CoA for concentration.

Reconstitution Buffer Available:
Size / Price
Qty
Loading...

Formulation

Lyophilized from a 0.2 μm filtered solution in PBS with Trehalose. See Certificate of Analysis for details.
*Small pack size (-SP) is supplied either lyophilized or as a 0.2 µm filtered solution in PBS.

Shipping

Lyophilized product is shipped at ambient temperature. Liquid small pack size (-SP) is shipped with polar packs. Upon receipt, store immediately at the temperature recommended below.

Stability & Storage

Use a manual defrost freezer and avoid repeated freeze-thaw cycles.
  • 12 months from date of receipt, -20 to -70 °C as supplied.
  • 1 month, 2 to 8 °C under sterile conditions after reconstitution.
  • 6 months, -20 to -70 °C under sterile conditions after reconstitution.

Background: IL-1 beta/IL-1F2

IL-1 is a name that designates two pleiotropic cytokines, IL-1 alpha (IL-1F1) and IL-1 beta (IL-1F2, IL1B), which are the products of distinct genes. IL-1 alpha and IL-1 beta are structurally related polypeptides that share approximately 26% amino acid (aa) identity in rat. Both proteins are produced by a wide variety of cells in response to inflammatory agents, infections, or microbial endotoxins. While IL-1 alpha and IL-1 beta are regulated independently, they bind to the same receptor and exert identical biological effects. IL-1 RI binds directly to IL-1 alpha or IL-1 beta and then associates with IL-1 R accessory protein (IL-1 R3/IL-1 R AcP) to form a high-affinity receptor complex that is competent for signal transduction. IL-1 RII has high affinity for IL-1 beta but functions as a decoy receptor and negative regulator of IL-1 beta activity. IL-1ra functions as a competitive antagonist by preventing IL-1 alpha and IL-1 beta from interacting with IL-1 RI. Intracellular cleavage of the IL-1 beta precursor by Caspase-1/ICE is a key step in the inflammatory response. The 17 kDa molecular weight mature rat IL-1 beta shares 90% aa sequence identity with cotton rat and mouse and 67%-78% with canine, equine, feline, human, porcine, and rhesus macaque IL-1 beta. IL-1 beta functions in a central role in immune and inflammatory responses, bone remodeling, fever, carbohydrate metabolism, and GH/IGF-I physiology. IL-1 beta dysregulation is implicated in many pathological conditions including sepsis, rheumatoid arthritis, inflammatory bowel disease, acute and chronic myelogenous leukemia, insulin-dependent diabetes mellitus, atherosclerosis, neuronal injury, and aging-related diseases.

Long Name

Interleukin 1 beta

Alternate Names

IL-1b, IL-1F2, IL1 beta, IL1B

Entrez Gene IDs

3553 (Human); 16176 (Mouse); 24494 (Rat); 397122 (Porcine); 403974 (Canine); 100034237 (Equine); 100135556 (Guinea Pig)

Gene Symbol

IL1B

UniProt

Additional IL-1 beta/IL-1F2 Products

Product Documents for Rat IL-1 beta/IL-1F2 Antibody

Certificate of Analysis

To download a Certificate of Analysis, please enter a lot number in the search box below.

Note: Certificate of Analysis not available for kit components.

Product Specific Notices for Rat IL-1 beta/IL-1F2 Antibody

For research use only

Loading...
Loading...
Loading...
Loading...