Skip to main content

Key Product Details

Species Reactivity

Validated:

Mouse

Cited:

Human, Mouse, Rat

Applications

Validated:

Immunohistochemistry, Western Blot, ELISA Capture (Matched Antibody Pair), Neutralization, Flow Cytometry, CyTOF-ready

Cited:

Immunohistochemistry, Immunohistochemistry-Paraffin, Western Blot, Neutralization, Flow Cytometry, Immunocytochemistry, Bioassay, ELISA Development, In vivo assay

Label

Unconjugated

Antibody Source

Polyclonal Goat IgG

Product Specifications

Immunogen

Mouse myeloma cell line NS0-derived recombinant mouse IL-6R alpha
Leu20-Glu357
Accession # P22272

Specificity

Detects mouse IL-6R alpha in ELISAs and Western blots. In sandwich ELISAs, less than 0.3% cross-reactivity with recombinant mouse (rm) IL‑6, recombinant human IL-6 R and rmgp130 is observed.

Clonality

Polyclonal

Host

Goat

Isotype

IgG

Endotoxin Level

<0.10 EU per 1 μg of the antibody by the LAL method.

Scientific Data Images for Mouse IL-6R alpha Antibody

IL-6R alpha antibody in Mouse Thymus by Immunohistochemistry (IHC-Fr).

IL-6R alpha in Mouse Thymus.

IL-6R alpha was detected in perfusion fixed frozen sections of mouse thymus using Mouse IL-6R alpha Antigen Affinity-purified Polyclonal Antibody (Catalog # AF1830) at 15 µg/mL overnight at 4 °C. Tissue was stained using the Anti-Goat HRP-DAB Cell & Tissue Staining Kit (brown; Catalog # CTS008) and counterstained with hematoxylin (blue). View our protocol for Chromogenic IHC Staining of Frozen Tissue Sections.
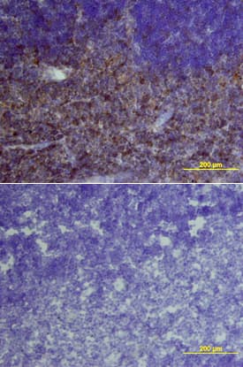
IL-6R alpha antibody in Mouse Thymus by Immunohistochemistry (IHC-Fr).

IL-6R alpha in Mouse Thymus.

IL-6R alpha was detected in perfusion fixed frozen sections of mouse thymus using Mouse IL-6R alpha Antigen Affinity-purified Polyclonal Antibody (Catalog # AF1830) at 15 µg/mL overnight at 4 °C. Tissue was stained using the Anti-Goat HRP-DAB Cell & Tissue Staining Kit (brown; Catalog # CTS008) and counterstained with hematoxylin (blue). Lower panel shows a lack of labeling if primary antibodies are omitted and tissue is stained only with secondary antibody followed by incubation with detection reagents. View our protocol for Chromogenic IHC Staining of Frozen Tissue Sections.
Cell Proliferation Induced by IL‑6 and Neutralization by Mouse IL-6R alpha Antibody.

Cell Proliferation Induced by IL‑6 and Neutralization by Mouse IL-6R alpha Antibody.

Recombinant Mouse IL-6 (Catalog # 406-ML) stimulates proliferation in the T1165.85.2.1 mouse plasmacytoma cell line in a dose-dependent manner (orange line). Proliferation elicited by Recombinant Mouse IL-6 (0.25 ng/mL) is neutralized (green line) by increasing concentrations of Mouse IL-6R alpha Antigen Affinity-purified Polyclonal Antibody (Catalog # AF1830). The ND50 is typically 0.2-1 µg/mL.

Applications for Mouse IL-6R alpha Antibody

Application
Recommended Usage

CyTOF-ready

Ready to be labeled using established conjugation methods. No BSA or other carrier proteins that could interfere with conjugation.

Flow Cytometry

2.5 µg/106 cells
Sample: Mouse CD3+ splenocytes

Immunohistochemistry

5-15 µg/mL
Sample: Perfusion fixed frozen sections of mouse thymus

Western Blot

0.1 µg/mL
Sample: Recombinant Mouse IL-6R alpha (Catalog # 1830-SR)

Neutralization

Measured by its ability to neutralize IL‑6-induced proliferation in the T1165.85.2.1 mouse plasmacytoma cell line. Nordan, R. P. and M. Potter (1986) Science 233:566. The Neutralization Dose (ND50) is typically 0.2-1 µg/mL in the presence of 0.25 ng/mL Recombinant Mouse IL‑6.

Mouse IL-6R alpha Sandwich Immunoassay

ELISA Capture (Matched Antibody Pair)
Recommended Concentration: 0.2-0.8 µg/mL
Use in combination with these reagents:
  • Detection Reagent: Mouse IL-6R alpha Biotinylated Antibody (Catalog # BAF1830)
  • Standard: Recombinant Mouse IL-6R alpha (aa 20-357) Protein (Catalog # 1830-SR)
Please Note: Optimal dilutions of this antibody should be experimentally determined.

Formulation, Preparation, and Storage

Purification

Antigen Affinity-purified

Reconstitution

Reconstitute at 0.2 mg/mL in sterile PBS. For liquid material, refer to CoA for concentration.

Reconstitution Buffer Available:
Size / Price
Qty
Loading...

Formulation

Lyophilized from a 0.2 μm filtered solution in PBS with Trehalose. *Small pack size (SP) is supplied either lyophilized or as a 0.2 µm filtered solution in PBS.

Shipping

Lyophilized product is shipped at ambient temperature. Liquid small pack size (-SP) is shipped with polar packs. Upon receipt, store immediately at the temperature recommended below.

Stability & Storage

Use a manual defrost freezer and avoid repeated freeze-thaw cycles.
  • 12 months from date of receipt, -20 to -70 °C as supplied.
  • 1 month, 2 to 8 °C under sterile conditions after reconstitution.
  • 6 months, -20 to -70 °C under sterile conditions after reconstitution.

Background: IL-6R alpha

Interleukin 6 (IL-6) is a multifunctional cytokine that exerts its activities by binding to a high-affinity receptor complex consisting of two membrane glycoproteins: an 80 kDa ligand binding subunit (IL-6 R alpha/CD126) and a 130 kDa nonligand-binding signal-transducing subunit (gp130/CD130) (1‑4). The mouse IL-6 R alpha cDNA encodes a precursor type I transmembrane protein of 460 amino acids (aa) that contains a 19 aa signal sequence, a 345 aa extracellular ligand binding domain, a 21 aa transmembrane region, and a 75 aa cytoplasmic segment (2). The extracellular segment contains an Ig-like and a fibronectin-type III domain, plus a membrane proximal WSXWS motif. In their extracellular regions, mouse IL-6 R alpha shares 89%, 51% and 50% aa identity with rat, human and porcine IL-6 R alpha, respectively. Unlike gp130 that is expressed ubiquitously, the cellular distribution of IL-6 R alpha is predominantly limited to hepatocytes and leukocyte subpopulations such as monocytes, neutrophils, T and B cells. Soluble IL-6 R alpha has been found in various body fluids (5). Two soluble receptor isoforms that arise either from proteolytic cleavage of the membrane-bound IL-6 R alpha, or by alternative mRNA splicing (reported only in human) have been described (6, 7). Soluble IL-6 R alpha binds IL-6 with an affinity similar to that of the membrane-bound IL-6 R alpha. More importantly, the soluble IL-6 R alpha/IL-6 complex is capable of interacting with the membrane-bound gp130 to activate cells that lack an integral membrane IL-6 R alpha. It has been documented that elevated soluble IL-6 R is associated with numerous diseases including arthritic lesions, multiple myeloma and Crohn’s disease (6, 7).

References

  1. Yamasaki, K. et al. (1988) Science 241:825.
  2. Sugita, T. et al. (1990) J. Exp. Med. 171:2001.
  3. Hibi, M. et al. (1990) Cell 63:1149.
  4. Saito, M. et al. (1992) J. Immunol. 148:4066.
  5. Novick, D. et al. (1989) J. Exp. Med. 170:1409.
  6. Jones, S.A. et al. (2001) FASEB J. 15:43.
  7. Jones, S.A. and S. Rose-John (2002) Biochim. Biophys. Acta 1592:251.

Long Name

Interleukin 6 Receptor alpha

Alternate Names

CD126, IL-6 R alpha, IL-6Ra, IL6R, IL6R alpha

Entrez Gene IDs

3570 (Human); 16194 (Mouse); 24499 (Rat); 102116430 (Cynomolgus Monkey)

Gene Symbol

IL6R

UniProt

Additional IL-6R alpha Products

Product Documents for Mouse IL-6R alpha Antibody

Certificate of Analysis

To download a Certificate of Analysis, please enter a lot number in the search box below.

Note: Certificate of Analysis not available for kit components.

Product Specific Notices for Mouse IL-6R alpha Antibody

For research use only

Loading...
Loading...
Loading...
Loading...
Loading...