Skip to main content

Key Product Details

Validated by

Biological Validation

Species Reactivity

Validated:

Mouse

Cited:

Human, Mouse, Transgenic Mouse, Xenograft

Applications

Validated:

Immunohistochemistry, Western Blot, Flow Cytometry, Immunocytochemistry, Simple Western, CyTOF-ready

Cited:

Immunohistochemistry, Immunohistochemistry-Paraffin, Immunohistochemistry-Frozen, Western Blot, Immunocytochemistry

Label

Unconjugated

Antibody Source

Polyclonal Goat IgG

Product Specifications

Immunogen

Mouse myeloma cell line NS0-derived recombinant mouse Endoglin/CD105
Glu27-Gly581
Accession # Q8K100

Specificity

Detects mouse Endoglin in direct ELISAs and Western blots. In direct ELISAs, less than 20% cross-reactivity with recombinant rat Endoglin is observed and less than 5% cross-reactivity with recombinant human Endoglin is observed.

Clonality

Polyclonal

Host

Goat

Isotype

IgG

Scientific Data Images for Mouse Endoglin/CD105 Antibody

Detection of Mouse Endoglin/CD105 antibody by Western Blot.

Detection of Mouse Endoglin/CD105 by Western Blot.

Western blot shows lysates of bEnd.3 mouse endothelioma cell line and MS-1 mouse pancreatic islet endothelial cell line. PVDF membrane was probed with 0.5 µg/mL of Goat Anti-Mouse Endoglin/CD105 Antigen Affinity-purified Polyclonal Antibody (Catalog # AF1320) followed by HRP-conjugated Anti-Goat IgG Secondary Antibody (Catalog # HAF017). A specific band was detected for Endoglin/CD105 at approximately 90-95 kDa (as indicated). This experiment was conducted under reducing conditions and using Immunoblot Buffer Group 1.
Endoglin/CD105 antibody in MS-1 Mouse Cell Line by Immunocytochemistry (ICC).

Endoglin/CD105 in MS-1 Mouse Cell Line.

Endoglin/CD105 was detected in immersion fixed MS-1 mouse pancreatic islet endothelial cell line using Goat Anti-Mouse Endoglin/CD105 Antigen Affinity-purified Polyclonal Antibody (Catalog # AF1320) at 10 µg/mL for 3 hours at room temperature. Cells were stained using the NorthernLights™ 557-conjugated Anti-Goat IgG Secondary Antibody (yellow; Catalog # NL001) and counter-stained with DAPI (blue). View our protocol for Fluorescent ICC Staining of Cells on Coverslips.
Endoglin/CD105 antibody in Rat Mesenchymal Stem Cells by Immunocytochemistry (ICC).

Endoglin/CD105 in Rat Mesenchymal Stem Cells.

Endoglin/CD105 was detected in immersion fixed rat mesenchymal stem cells using Goat Anti-Mouse Endoglin/CD105 Antigen Affinity-purified Polyclonal Antibody (Catalog # AF1320) at 10 µg/mL for 3 hours at room temperature. Cells were stained using the NorthernLights™ 557-conjugated Anti-Goat IgG Secondary Antibody (red; Catalog # NL001) and counterstained with DAPI (blue). Specific staining was localized to cytoplasm. View our protocol for Fluorescent ICC Staining of Cells on Coverslips.

Applications for Mouse Endoglin/CD105 Antibody

Application
Recommended Usage

CyTOF-ready

Ready to be labeled using established conjugation methods. No BSA or other carrier proteins that could interfere with conjugation.

Flow Cytometry

2.5 µg/106 cells
Sample: MS-1 mouse cell line

Immunocytochemistry

5-15 µg/mL
Sample: Immersion fixed MS-1 mouse pancreatic islet endothelial cell line and rat mesenchymal stem cells

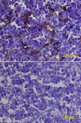
Immunohistochemistry

5-15 µg/mL
Sample: Immersion fixed frozen sections of mouse embryo (E13-15)

Simple Western

5 µg/mL
Sample: bEnd.3 mouse endothelioma cell line

Western Blot

0.5 µg/mL
Sample: bEnd.3 mouse endothelioma cell line and MS‑1 mouse pancreatic islet endothelial cell line

Reviewed Applications

Read 4 reviews rated 4.3 using AF1320 in the following applications:

Formulation, Preparation, and Storage

Purification

Antigen Affinity-purified

Reconstitution

Reconstitute at 0.2 mg/mL in sterile PBS. For liquid material, refer to CoA for concentration.

Reconstitution Buffer Available:
Size / Price
Qty
Loading...

Formulation

Lyophilized from a 0.2 μm filtered solution in PBS with Trehalose. *Small pack size (SP) is supplied either lyophilized or as a 0.2 µm filtered solution in PBS.

Shipping

Lyophilized product is shipped at ambient temperature. Liquid small pack size (-SP) is shipped with polar packs. Upon receipt, store immediately at the temperature recommended below.

Stability & Storage

Use a manual defrost freezer and avoid repeated freeze-thaw cycles.
  • 12 months from date of receipt, -20 to -70 °C as supplied.
  • 1 month, 2 to 8 °C under sterile conditions after reconstitution.
  • 6 months, -20 to -70 °C under sterile conditions after reconstitution.

Background: Endoglin/CD105

Endoglin (CD105) is a 90 kDa type I transmembrane glycoprotein of the zona pellucida (ZP) family of proteins (1-3). Endoglin and betaglycan/T betaRIII are type III receptors for TGF beta superfamily ligands, sharing 71% amino acid (aa) identity within the transmembrane (TM) and cytoplasmic domains. Endoglin is highly expressed on proliferating vascular endothelial cells, chondrocytes, and syncytiotrophoblasts of term placenta, with lower amounts on hematopoietic, mesenchymal and neural crest stem cells, activated monocytes, and lymphoid and myeloid leukemic cells (2-5). Mouse Endoglin cDNA encodes 653 aa including a 26 aa signal sequence, a 555 aa extracellular domain (ECD) with an orphan domain and a two-part ZP domain, a TM domain, and a 47 aa cytoplasmic domain (1-3). A mouse isoform with a 35 aa cytoplasmic domain (S-endoglin) can oppose effects of long (L) Endoglin (6, 7). The mouse Endoglin ECD shares 69%, 84%, 62%, 63%, and 66% aa identity with human, rat, bovine, porcine, and canine Endoglin, respectively. Endoglin homodimers interact with TGF-beta 1 and TGF-beta 3 (but not TGF-beta 2) but only after binding T betaRII (8). Similarly, they interact with activin-A and BMP-7 via activin type IIA or B receptors, and with BMP-2 via BMPR-1A/ALK-3 or BMPR-1B/ALK-6 (9). BMP-9, however, is reported to bind Endoglin directly (10). Endoglin modifies ligand-induced signaling in multiple ways. For example, expression of Endoglin can inhibit TGF-beta 1 signals but enhance BMP7 signals in the same myoblast cell line (11). In endothelial cells, Endoglin inhibits T betaRI/ALK5, but enhances ALK1-mediated activation (12). Deletion of mouse Endoglin causes lethal vascular and cardiovascular defects, and human Endoglin haploinsufficiency can a cause the vascular disorder, hereditary hemorrhagic telangiectasia type I (13, 14). These abnormalities confirm the essential function of Endoglin in differentiation of smooth muscle, angiogenesis, and neovascularization (2-4, 12-14). In preeclampsia of pregnancy, high levels of proteolytically generated soluble Endoglin and VEGF R1 (sFlt-1), along with low placental growth factor (PlGF), are pathogenic due to antiangiogenic activity (15).

References

  1. Ge, A.Z. and E.C. Butcher (1994) Gene 138:201.
  2. ten Dijke, P. et al. (2008) Angiogenesis 11:79.
  3. Bernabeu, C. et al. (2007) J. Cell. Biochem. 102:1375.
  4. Mancini, M.L. et al. (2007) Dev. Biol. 308:520.
  5. Moody, J.L. et al. (2007) Stem Cells 25:2809.
  6. Velasco, S. et al. (2008) J. Cell Sci. 121:913.
  7. Perez-Gomez, E. et al. (2005) Oncogene 24:4450.
  8. Cheifetz, S, et al. (1992) J. Biol. Chem. 267:19027.
  9. Barbara, N.P. et al. (1999) J. Biol. Chem. 274:584.
  10. Scharpfenecker, M. et al. (2007) J. Cell Sci. 120:964.
  11. Scherner, O. et al. (2007) J. Biol. Chem. 282:13934.
  12. Pece-Barbara, N. et al. (2005) J. Biol. Chem. 280:27800.
  13. Arthur, H.M. et al. (2000) Dev. Biol. 217:42.
  14. Lebrin, F. and C.L. Mummery (2008) Trends Cardiovasc. Med. 18:25.    
  15. Venkatesha, S. et al. (2006) Nat. Med. 12:642.

Alternate Names

CD105, ENG

Entrez Gene IDs

2022 (Human); 13805 (Mouse); 497010 (Rat); 397096 (Porcine)

Gene Symbol

ENG

UniProt

Additional Endoglin/CD105 Products

Product Documents for Mouse Endoglin/CD105 Antibody

Certificate of Analysis

To download a Certificate of Analysis, please enter a lot number in the search box below.

Note: Certificate of Analysis not available for kit components.

Product Specific Notices for Mouse Endoglin/CD105 Antibody

For research use only

Loading...
Loading...
Loading...
Loading...
Loading...