Skip to main content

Human TRAILR4/TNFRSF10D PE-conjugated Antibody

R&D Systems, part of Bio-Techne | Catalog # FAB633P

R&D Systems, part of Bio-Techne

Key Product Details

Species Reactivity

Validated:

Human

Cited:

Human, Rat

Applications

Validated:

Flow Cytometry

Cited:

Western Blot, Flow Cytometry

Label

Phycoerythrin (Excitation = 488 nm, Emission = 565-605 nm)

Antibody Source

Monoclonal Mouse IgG1 Clone # 104918

Product Specifications

Immunogen

Mouse myeloma cell line NS0-derived recombinant human TRAIL R4/TNFRSF10D
Ala56-His211
Accession # Q9UBN6

Specificity

Detects human TRAIL R4/TNFRSF10D in ELISAs and Western blots. In sandwich immunoassays, less than 5% cross-reactivity with recombinant human (rh) TRAIL R1, rhTRAIL R2, TRAIL R3, rhTRAIL, rhTNF‑ alpha, and rhTNF-beta is observed.

Clonality

Monoclonal

Host

Mouse

Isotype

IgG1

Scientific Data Images for Human TRAILR4/TNFRSF10D PE-conjugated Antibody

Detection of TRAIL R4/TNFRSF10D antibody in Human Blood Granulocytes antibody by Flow Cytometry.

Detection of TRAIL R4/TNFRSF10D in Human Blood Granulocytes by Flow Cytometry.

Human peripheral blood granulocytes were stained with Mouse Anti-Human TRAIL R4/TNFRSF10D PE-conjugated Monoclonal Antibody (Catalog # FAB633P, filled histogram) or isotype control antibody (Catalog # IC002P, open histogram). View our protocol for Staining Membrane-associated Proteins.
Detection of TRAILR4/TNFRSF10D by Western Blot

Detection of TRAILR4/TNFRSF10D by Western Blot

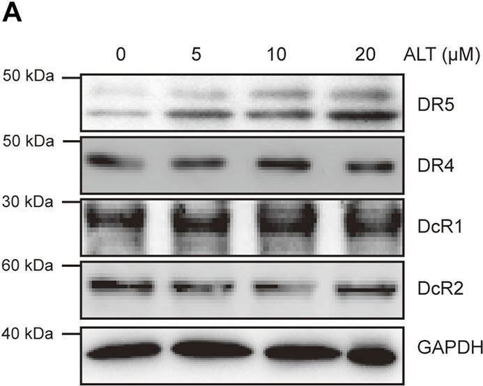
Alternol induces expression of DR5. (A) Caki-1 cells were treated with various doses of alternol (ALT) for 24 h. Total cellular extracts were then prepared and analyzed for DR4, DR5, DcR1, and DcR2 by western blot. (B) Caki-1 cells were treated with various doses of alternol (ALT) for 24 h. DR5, DR4, DcR1, and DcR2 mRNA levels were analyzed by qRT-PCR. (C) Cellular surface levels of DR5, DR4, DcR1, and DcR2 were analyzed by flow cytometry staining using PE-conjugated specific antibodies for each receptor. IgG isotype controls (gray histogram), DMSO (gray line), and alternol (red line) are presented. (D) Caki-1 cells were treated with various doses of alternol for 24 h or treated with 20 μM alternol for different times. Then, cellular lysates were analyzed with indicated antibodies. HCT116 wt and HCT116 p53−/− cells were treated with various doses of alternol for 24 h, and DR5 protein and mRNA levels were analyzed by western blot (E) and qRT-PCR (F), respectively. (G) Various types of carcinoma cells were treated with 20 μM alternol for 24 h, after which whole-cell extracts were analyzed by western blot assay. The same blots were stripped and re-incubated with actin antibody to confirm equal protein loading. Data are the mean ± SD of three independent experiments. *p < 0.05; **p < 0.01; ***p < 0.001, compared with 0 μM ALT. Image collected and cropped by CiteAb from the following open publication (https://pubmed.ncbi.nlm.nih.gov/33841136), licensed under a CC-BY license. Not internally tested by R&D Systems.

Applications for Human TRAILR4/TNFRSF10D PE-conjugated Antibody

Application
Recommended Usage

Flow Cytometry

10 µL/106 cells
Sample: Human peripheral blood granulocytes

Formulation, Preparation, and Storage

Purification

Protein A or G purified from ascites

Formulation

Supplied in a saline solution containing BSA and Sodium Azide.

Shipping

The product is shipped with polar packs. Upon receipt, store it immediately at the temperature recommended below.

Stability & Storage

Protect from light. Do not freeze.
  • 12 months from date of receipt, 2 to 8 °C as supplied.

Background: TRAILR4/TNFRSF10D

Human TRAIL R4, also called Decoy Receptor 2 (DcR2) and TRUNND (TRAIL Receptor with a Truncated Death Domain), is a type I, TNF R family transmembrane protein, which is a receptor for TRAIL (APO2 Ligand). In the TNF superfamily nomenclature, TRAIL R4 is designated as TNFRSF10D. TRAIL R4 is unique among the TRAIL receptors in that its cytoplasmic domain contains a truncated consensus death domain motif. Binding of TRAIL R4 does not result in an apoptotic signal. Overexpression of TRAIL R4 can protect cells bearing TRAIL R1 and/or TRAIL R2 from TRAIL-mediated apoptosis. The human soluble TRAIL R4/Fc chimera neutralizes the ability of TRAIL to induce apoptosis.

References

  1. Griffith, T.S. et al. (1998) Curr. Opin. Immunol. 10:559.
  2. Pan, G. et al. (1998) FEBS lett 424:41.
  3. Marsters, S.A. et al. (1997) Cur. Biol. 7:1003.
  4. Degli-Esposti, M.A. et al. (1997) Immunity 7:813.

Long Name

TRAIL Receptor 4

Alternate Names

CD264, DcR2, TNFRSF10D, TRAIL R4

Entrez Gene IDs

8793 (Human)

Gene Symbol

TNFRSF10D

UniProt

Additional TRAILR4/TNFRSF10D Products

Product Documents for Human TRAILR4/TNFRSF10D PE-conjugated Antibody

Certificate of Analysis

To download a Certificate of Analysis, please enter a lot number in the search box below.

Note: Certificate of Analysis not available for kit components.

Product Specific Notices for Human TRAILR4/TNFRSF10D PE-conjugated Antibody

For research use only

Loading...
Loading...
Loading...
Loading...
Loading...