Skip to main content

Key Product Details

Species Reactivity

Validated:

Human

Cited:

Human, Mouse, Rat, Primate - Macaca fascicularis (Crab-eating Monkey or Cynomolgus Macaque)

Applications

Validated:

Immunohistochemistry, Western Blot, Simple Western

Cited:

Immunohistochemistry, Immunohistochemistry-Paraffin, Western Blot, Immunoprecipitation, Dot Blot, In vivo assay

Label

Unconjugated

Antibody Source

Polyclonal Goat IgG

Product Specifications

Immunogen

Mouse myeloma cell line NS0-derived recombinant human Thrombospondin-1
Asn19-Pro1170
Accession # CAA32889

Specificity

Detects human Thrombospondin-1 in direct ELISAs and Western blots.

Clonality

Polyclonal

Host

Goat

Isotype

IgG

Scientific Data Images for Human Thrombospondin-1 Antibody

Detection of Human Thrombospondin-1 antibody by Western Blot.

Detection of Human Thrombospondin-1 by Western Blot.

Western blot shows lysates of MDA-MB-231 human breast cancer cell line. PVDF membrane was probed with 1 µg/mL of Goat Anti-Human Thrombospondin-1 Antigen Affinity-purified Polyclonal Antibody (Catalog # AF3074) followed by HRP-conjugated Anti-Goat IgG Secondary Antibody (Catalog # HAF019). A specific band was detected for Thrombospondin-1 at approximately 160 kDa (as indicated). This experiment was conducted under reducing conditions and using Immunoblot Buffer Group 1.

Detection of Human Thrombospondin-1 by Simple WesternTM.

Simple Western lane view shows lysates of Exosome Standards (PC-3) (NBP2-49856) and MDA-MB-231 human breast cancer cell line, loaded at 0.5 mg/ml. A specific band was detected for Thrombospondin-1 at approximately 210 kDa (as indicated) using 10 µg/ml of Goat Anti-Human Thrombospondin-1 Antigen Affinity-purified Polyclonal Antibody (Catalog # AF3074) followed by 1:50 dilution of HRP-conjugated Anti-Goat IgG Secondary Antibody (Catalog # HAF017). This experiment was conducted under reducing conditions and using the 12-230kDa separation system.
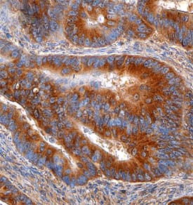
Thrombospondin-1 antibody in Human Colon by Immunohistochemistry (IHC-P).

Thrombospondin‑1 in Human Colon.

Thrombospondin-1 was detected in immersion fixed paraffin-embedded sections of human colon using Goat Anti-Human Thrombospondin-1 Antigen Affinity-purified Polyclonal Antibody (Catalog # AF3074) at 1.7 µg/mL overnight at 4 °C. Tissue was stained using the Anti-Goat HRP-DAB Cell & Tissue Staining Kit (brown; Catalog # CTS008) and counterstained with hematoxylin (blue). Specific staining was localized to the cytoplasm of epithelial cells. View our protocol for Chromogenic IHC Staining of Paraffin-embedded Tissue Sections.

Applications for Human Thrombospondin-1 Antibody

Application
Recommended Usage

Immunohistochemistry

5-15 µg/mL
Sample: Immersion fixed paraffin-embedded sections of human colon

Simple Western

10 µg/mL
Sample: Exosome Standards (PC-3) (Catalog # NBP2-49856), MDA-MB-231 human breast cancer cell line and MDA‑MB‑468 human breast cancer cell line

Western Blot

1 µg/mL
Sample: MDA‑MB‑231 human breast cancer cell line

Reviewed Applications

Read 3 reviews rated 4.7 using AF3074 in the following applications:

Formulation, Preparation, and Storage

Purification

Antigen Affinity-purified

Reconstitution

Reconstitute at 0.2 mg/mL in sterile PBS. For liquid material, refer to CoA for concentration.

Reconstitution Buffer Available:
Size / Price
Qty
Loading...

Formulation

Lyophilized from a 0.2 μm filtered solution in PBS with Trehalose. See Certificate of Analysis for details.
*Small pack size (-SP) is supplied either lyophilized or as a 0.2 µm filtered solution in PBS.

Shipping

Lyophilized product is shipped at ambient temperature. Liquid small pack size (-SP) is shipped with polar packs. Upon receipt, store immediately at the temperature recommended below.

Stability & Storage

Use a manual defrost freezer and avoid repeated freeze-thaw cycles.
  • 12 months from date of receipt, -20 to -70 °C as supplied.
  • 1 month, 2 to 8 °C under sterile conditions after reconstitution.
  • 6 months, -20 to -70 °C under sterile conditions after reconstitution.

Background: Thrombospondin-1

Thrombospondin-1 (TSP-1) is a 150‑180 kDa charter member of the thrombospondin family of extracellular matrix proteins. Human TSP‑1 is synthesized as an 1170 amino acid (aa) precursor that contains an 18 aa signal sequence and 1152 aa mature molecule. The mature molecule has been described as containing three distinct regions that create the shape of a dumbbell. There is an intital, 140 aa N-terminal laminin G-like globular region that binds heparin (aa 19‑258). This is followed by an extended, central collagen-binding region that contains one type C von Willebrand factor domain, plus three TSP type I and three TSP type II (or EGF-like) domains (aa 259‑712). The C‑terminus (aa 713‑1170) appears as a large globule with two halves; one calcium‑binding region (aa 713‑950) with seven Asp‑rich TSP type III domains, and one terminal region (aa 951‑1170) with TSP‑unique motifs (1). This C-terminal region is believed to mediate CD47 and cell binding (2‑5). The TSP type I repeats have multiple functions. They bind to type V collagen, laminin, fibronectin and CD36. They also contain a recognition site for C‑mannosylation on Trp. Finally, a type I KRFK motif induces the release of mature TGF-b from LAP. This is an effect not found in TSP-2. The function of the type II repeats in unclear. TSP-1 is secreted as a disulfide-linked 450 kDa homotrimer. The cysteines responsible lie just N‑terminal to the first type I TSP repeat. Mature human TSP-1 is 61% aa identical to human TSP-2. It is also 95%, 97% and 95% aa identical to mouse, dog and rat TSP-1, respectively.

References

  1. Lawler, J. and R.O. Hynes (1986) J. Cell Biol. 103:1635.
  2. Frazier, W.A. (1987) J. Cell Biol. 105:625.
  3. Adams, J.C. and J. Lawler (2004) Int. J. Biochem. Cell Biol. 36:961.
  4. Sid, B. et al. (2004) Crit. Rev. Oncol. Hematol. 49:245.
  5. Floquet, N. et al. (2008) Anch. Biochem. Biophys. 478:103.

Alternate Names

THBS1, Thrombospondin1, TSP-1

Entrez Gene IDs

7057 (Human); 21825 (Mouse)

Gene Symbol

THBS1

UniProt

Additional Thrombospondin-1 Products

Product Documents for Human Thrombospondin-1 Antibody

Certificate of Analysis

To download a Certificate of Analysis, please enter a lot number in the search box below.

Note: Certificate of Analysis not available for kit components.

Product Specific Notices for Human Thrombospondin-1 Antibody

For research use only

Loading...
Loading...
Loading...
Loading...