Skip to main content

Human TGF-beta  RII Antibody

R&D Systems, part of Bio-Techne | Catalog # AF-241-NA

R&D Systems, part of Bio-Techne

Key Product Details

Species Reactivity

Validated:

Human

Cited:

Human, Mouse, Rat, Feline, Rabbit

Applications

Validated:

Immunohistochemistry, Western Blot, ELISA Capture (Matched Antibody Pair), Neutralization, Flow Cytometry, CyTOF-ready

Cited:

Immunohistochemistry, Immunohistochemistry-Paraffin, Western Blot, Neutralization, Immunocytochemistry, Bioassay, Blocking, Cell Culture, CyTof, Functional Assay

Label

Unconjugated

Antibody Source

Polyclonal Goat IgG

Product Specifications

Immunogen

Mouse myeloma cell line NS0-derived recombinant human TGF-beta  RII
Ile24-Asp159
Accession # P37173.2

Specificity

Detects human TGF-beta RII in direct ELISAs and Western blots.

Clonality

Polyclonal

Host

Goat

Isotype

IgG

Endotoxin Level

<0.10 EU per 1 μg of the antibody by the LAL method.

Scientific Data Images for Human TGF-beta  RII Antibody

Detection of Human TGF-beta  RII antibody by Western Blot.

Detection of Human TGF‑ beta RII by Western Blot.

Western blot shows lysates of HepG2 human hepatocellular carcinoma cell line, Hep3B human hepatocellular carcinoma cell line, U-118-MG human glioblastoma/astrocytoma cell line, HT1080 human fibrosarcoma cell line, and DU145 human prostate carcinoma cell line. PVDF membrane was probed with 2 µg/mL of Goat Anti-Human TGF-beta RII Antigen Affinity-purified Polyclonal Antibody (Catalog # AF-241-NA) followed by HRP-conjugated Anti-Goat IgG Secondary Antibody (HAF017). A specific band was detected for TGF-beta RII at approximately 75 kDa (as indicated). This experiment was conducted under reducing conditions and using Immunoblot Buffer Group 1.
Detection of TGF-beta  RII antibody in Human Lymphocytes antibody by Flow Cytometry.

Detection of TGF-beta RII in Human Lymphocytes by Flow Cytometry.

Human blood-derived lymphocytes were labeled with Goat Anti-Human TGF-beta RII Antigen Affinity-purified Poly-clonal Antibody (Catalog # AF-241-NA, filled histogram) or control antibody (AB-108-C, open histogram), followed by Allophycocyanin-conjugated Anti-Goat IgG Secondary Antibody (F0108).
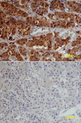
TGF-beta  RII antibody in Human Pituitary by Immunohistochemistry (IHC-P).

TGF-beta RII in Human Pituitary.

TGF-beta RII was detected in immersion fixed paraffin-embedded sections of human pituitary using Goat Anti-Human TGF-beta RII Antigen Affinity-purified Polyclonal Antibody (Catalog # AF-241-NA) at 15 µg/mL overnight at 4 °C. Tissue was stained using the Anti-Goat HRP-DAB Cell & Tissue Staining Kit (brown; (CTS008) and counterstained with hematoxylin (blue). Lower panel shows a lack of labeling if primary antibodies are omitted and tissue is stained only with secondary antibody followed by incubation with detection reagents. View our protocol for Chromogenic IHC Staining of Paraffin-embedded Tissue Sections.

Applications for Human TGF-beta  RII Antibody

Application
Recommended Usage

CyTOF-ready

Ready to be labeled using established conjugation methods. No BSA or other carrier proteins that could interfere with conjugation.

Flow Cytometry

1 µg/106 cells
Sample: Human blood-derived lymphocytes

Immunohistochemistry

5-15 µg/mL
Sample: Immersion fixed paraffin-embedded sections of human pituitary

Western Blot

2 µg/mL
Sample: HepG2 human hepatocellular carcinoma cell line, Hep3B human hepatocellular carcinoma cell line, U‑118‑MG human glioblastoma/astrocytoma cell line, HT1080 human fibrosarcoma cell line, and DU145 human prostate carcinoma cell line

Neutralization

Measured by its ability to neutralize TGF‑ beta1 inhibition of IL‑4-dependent proliferation in the TF‑1 human erythroleukemic cell line. Tsang, M. et al. (1995) Cytokine 7:389. The Neutralization Dose (ND50) is typically 5‑20 µg/mL in the presence of 0.04 ng/mL Recombinant Human TGF‑ beta1 and 5 ng/mL Recombinant Human IL‑4.

Human TGF-beta RII Sandwich Immunoassay

ELISA Capture (Matched Antibody Pair)
Recommended Concentration: 0.2-0.8 µg/mL
Use in combination with these reagents:
  • Detection Reagent: Human TGF-beta  RII Biotinylated Antibody (Catalog # BAF241)
  • Standard: Recombinant Human TGF-beta RII Protein (Catalog # 241-R2)
Please Note: Optimal dilutions of this antibody should be experimentally determined.

Formulation, Preparation, and Storage

Purification

Antigen Affinity-purified

Reconstitution

Reconstitute at 0.2 mg/mL in sterile PBS. For liquid material, refer to CoA for concentration.

Reconstitution Buffer Available:
Size / Price
Qty
Loading...

Formulation

Lyophilized from a 0.2 μm filtered solution in PBS with Trehalose. *Small pack size (SP) is supplied either lyophilized or as a 0.2 µm filtered solution in PBS.

Shipping

Lyophilized product is shipped at ambient temperature. Liquid small pack size (-SP) is shipped with polar packs. Upon receipt, store immediately at the temperature recommended below.

Stability & Storage

Use a manual defrost freezer and avoid repeated freeze-thaw cycles.
  • 12 months from date of receipt, -20 to -70 °C as supplied.
  • 1 month, 2 to 8 °C under sterile conditions after reconstitution.
  • 6 months, -20 to -70 °C under sterile conditions after reconstitution.

Background: TGF-beta RII

TGF-beta RII is a membrane bound serine/threonine kinase. Upon ligand binding, TGF-beta RII interacts with TGF-beta RI to form the heteromeric signaling complex thattransduces TGF beta signals. A splice variant of the type II receptor, TGF-beta RIIb, containing a 25 amino acid residue insertion near the Nterminus of the mature protein has also been described.

Long Name

Transforming Growth Factor beta Receptor II

Alternate Names

TGF-bRII, TGFbetaRII, TGFBR2

Entrez Gene IDs

7048 (Human); 21813 (Mouse)

Gene Symbol

TGFBR2

UniProt

Additional TGF-beta RII Products

Product Documents for Human TGF-beta  RII Antibody

Certificate of Analysis

To download a Certificate of Analysis, please enter a lot number in the search box below.

Note: Certificate of Analysis not available for kit components.

Product Specific Notices for Human TGF-beta  RII Antibody

For research use only

Loading...
Loading...
Loading...
Loading...
Loading...