Skip to main content

Human MMP-14/MT1-MMP Antibody

R&D Systems, part of Bio-Techne | Catalog # MAB9181

R&D Systems, part of Bio-Techne

Key Product Details

Species Reactivity

Validated:

Human

Cited:

Human

Applications

Validated:

Immunohistochemistry, Western Blot, Flow Cytometry, Immunoprecipitation, CyTOF-ready

Cited:

Immunohistochemistry, Immunohistochemistry-Frozen, Western Blot, Flow Cytometry, Immunocytochemistry, CyTof

Label

Unconjugated

Antibody Source

Monoclonal Mouse IgG2B Clone # 128527

Product Specifications

Immunogen

Mouse myeloma cell line NS0-derived recombinant human MMP‑14/MT1‑MMP
Tyr112-Ala541 (predicted)
Accession # P50281

Specificity

Detects human MMP‑14/MT1‑MMP in direct ELISAs and Western blots. Does not detect E. coli-expressed recombinant human MMP-14 catalytic domain (aa 112-284).

Clonality

Monoclonal

Host

Mouse

Isotype

IgG2B

Scientific Data Images for Human MMP-14/MT1-MMP Antibody

Detection of MMP-14/MT1-MMP antibody in MDA-MB-231 Human Cell Line antibody by Flow Cytometry.

Detection of MMP-14/MT1-MMP in MDA‑MB‑231 Human Cell Line by Flow Cytometry.

MDA-MB-231 human breast cancer cell line was stained with Mouse Anti-Human MMP-14/MT1-MMP Monoclonal Antibody (Catalog # MAB9181, filled histogram) or isotype control antibody (Catalog # MAB0041, open histogram), followed by Allophycocyanin-conjugated Anti-Mouse IgG Secondary Antibody (Catalog # F0101B).

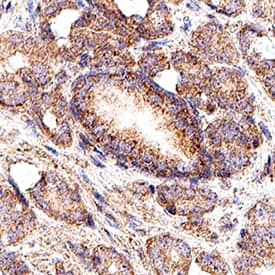
Detection of MMP-14/MT1-MMP in Human Prostate Cancer.

MMP-14/MT1-MMP was detected in immersion fixed paraffin-embedded sections of Human Prostate Cancer using Mouse Anti-Human MMP-14/MT1-MMP Monoclonal Antibody (Catalog # MAB9181) at 15 µg/mL for 1 hour at room temperature followed by incubation with the Anti-Mouse IgG VisUCyte™ HRP Polymer Antibody (Catalog # VC001). Before incubation with the primary antibody, tissue was subjected to heat-induced epitope retrieval using VisUCyte Antigen Retrieval Reagent-Basic (Catalog # VCTS021). Tissue was stained using DAB (brown) and counterstained with hematoxylin (blue). Specific staining was localized to cytoplasm in epithelial cells. View our protocol for IHC Staining with VisUCyte HRP Polymer Detection Reagents.

Applications for Human MMP-14/MT1-MMP Antibody

Application
Recommended Usage

CyTOF-ready

Ready to be labeled using established conjugation methods. No BSA or other carrier proteins that could interfere with conjugation.

Flow Cytometry

0.25 µg/106 cells
Sample: MDA‑MB‑231 human breast cancer cell line

Immunohistochemistry

8-25 µg/mL
Sample: Immersion fixed paraffin-embedded sections of Human Prostate Cancer.

Immunoprecipitation

25 µg/mL
Sample: Conditioned cell culture medium spiked with Recombinant Human MMP‑14 (Catalog # 918‑MP), see our available Western blot detection antibodies

Western Blot

1 µg/mL
Sample: Recombinant Human MMP-14 (Catalog # 918-MP)

Formulation, Preparation, and Storage

Purification

Protein A or G purified from hybridoma culture supernatant

Reconstitution

Reconstitute at 0.5 mg/mL in sterile PBS. For liquid material, refer to CoA for concentration.

Reconstitution Buffer Available:
Size / Price
Qty
Loading...

Formulation

Lyophilized from a 0.2 μm filtered solution in PBS with Trehalose. *Small pack size (SP) is supplied either lyophilized or as a 0.2 µm filtered solution in PBS.

Shipping

Lyophilized product is shipped at ambient temperature. Liquid small pack size (-SP) is shipped with polar packs. Upon receipt, store immediately at the temperature recommended below.

Stability & Storage

Use a manual defrost freezer and avoid repeated freeze-thaw cycles.
  • 12 months from date of receipt, -20 to -70 °C as supplied.
  • 1 month, 2 to 8 °C under sterile conditions after reconstitution.
  • 6 months, -20 to -70 °C under sterile conditions after reconstitution.

Background: MMP-14/MT1-MMP

As the first member of membrane type (MT) MMPs, MMP-14, also known as MT1-MMP, plays an important role in extracellular matrix (ECM) remodeling by being able to degrade type I collagen, activate pro-MMP-2 and process cell adhesion molecules such as CD44 and integrin alphaV (1). MMP-14 is therefore a key enzyme in many physiological and pathological processes such as angiogenesis and tumor invasion. Structurally, MMP-14 consists of the following domains: a pro domain containing the furin cleavage site, a catalytic domain containing the zinc-binding site, a hinge region, a hemopexin-like domain, a transmembrane domain, and a cytoplasmic tail (2).

References

  1. Seike, M. (2003) Cancer Lett. 194:1.
  2. Sato, H. et al. (1994) Nature 370:61.

Long Name

Matrix Metalloproteinase 14/Membrane Type 1 MMP

Alternate Names

MMP-X1, MMP14, MT-MMP1, MT1-MMP

Entrez Gene IDs

4323 (Human)

Gene Symbol

MMP14

UniProt

Additional MMP-14/MT1-MMP Products

Product Documents for Human MMP-14/MT1-MMP Antibody

Certificate of Analysis

To download a Certificate of Analysis, please enter a lot number in the search box below.

Note: Certificate of Analysis not available for kit components.

Product Specific Notices for Human MMP-14/MT1-MMP Antibody

For research use only

Loading...
Loading...
Loading...
Loading...
Loading...