Skip to main content

Key Product Details

Species Reactivity

Validated:

Human

Cited:

Human

Applications

Validated:

Immunohistochemistry, Western Blot, Neutralization

Cited:

Immunohistochemistry, Western Blot, Neutralization, Immunocytochemistry, ELISA Development

Label

Unconjugated

Antibody Source

Polyclonal Goat IgG

Product Specifications

Immunogen

E. coli-derived recombinant human EGF

Specificity

Detects human EGF in direct ELISAs and Western blots. In direct ELISAs, approximately 20% cross-reactivity with recombinant rat EGF and 5% cross-reactivity with recombinant mouse EGF is observed.

Clonality

Polyclonal

Host

Goat

Isotype

IgG

Endotoxin Level

<0.10 EU per 1 μg of the antibody by the LAL method.

Scientific Data Images for Human EGF Antibody

Detection of Recombinant Human, Mouse, and Rat EGF antibody by Western Blot.

Detection of Recombinant Human, Mouse, and Rat EGF by Western Blot.

Western blot shows 100 ng of Recombinant Human EGF (Catalog # 236-EG), Recombinant Mouse EGF (Catalog # 2028-EG) and Recombinant Rat EGF (Catalog # 3214-EG). PVDF Membrane was probed with 0.1 µg/mL of Goat Anti-Human EGF Antigen Affinity-purified Polyclonal Antibody (Catalog # AF236) followed by HRP-conjugated Anti-Goat IgG Secondary Antibody (Catalog # HAF109). A specific band was detected for EGF at approximately 10 kDa (as indicated). This experiment was conducted under reducing conditions and using Immunoblot Buffer Group 3.
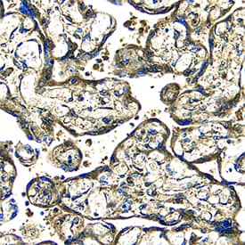
EGF antibody in Human Placenta by Immunohistochemistry (IHC-P).

EGF in Human Placenta.

EGF was detected in immersion fixed paraffin-embedded sections of human placenta using Goat Anti-Human EGF Antigen Affinity-purified Polyclonal Antibody (Catalog # AF236) at 15 µg/mL overnight at 4 °C. Tissue was stained using the Anti-Goat HRP-DAB Cell & Tissue Staining Kit (brown; Catalog # CTS008) and counterstained with hematoxylin (blue). Specific staining was localized to syncytiotrophoblasts. View our protocol for Chromogenic IHC Staining of Paraffin-embedded Tissue Sections.
Cell Proliferation Induced by EGF and Neutralization by Human EGF Antibody.

Cell Proliferation Induced by EGF and Neutralization by Human EGF Antibody.

Recombinant Human EGF (Catalog # 236-EG) stimulates proliferation in the Balb/3T3 mouse embryonic fibroblast cell line in a dose-dependent manner (orange line). Proliferation elicited by Recombinant Human EGF (2 ng/mL) is neutralized (green line) by increasing concentrations of Goat Anti-Human EGF Antigen Affinity-purified Polyclonal Antibody (Catalog # AF236). The ND50 is typically 0.040 - 0.480 µg/mL.

Applications for Human EGF Antibody

Application
Recommended Usage

Immunohistochemistry

5-15 µg/mL
Sample: Immersion fixed paraffin-embedded sections of human prostate cancer and human placenta

Western Blot

0.1 µg/mL
Sample: Recombinant Human EGF (Catalog # 236-EG)

Neutralization

Measured by its ability to neutralize EGF-induced proliferation in the Balb/3T3 mouse embryonic fibroblast cell line. The Neutralization Dose (ND50) is typically 0.040 - 0.480 µg/mL in the presence of 2 ng/mL Recombinant Human EGF.

Formulation, Preparation, and Storage

Purification

Antigen Affinity-purified

Reconstitution

Reconstitute at 0.2 mg/mL in sterile PBS. For liquid material, refer to CoA for concentration.

Reconstitution Buffer Available:
Size / Price
Qty
Loading...

Formulation

Lyophilized from a 0.2 μm filtered solution in PBS with Trehalose. *Small pack size (SP) is supplied either lyophilized or as a 0.2 µm filtered solution in PBS.

Shipping

Lyophilized product is shipped at ambient temperature. Liquid small pack size (-SP) is shipped with polar packs. Upon receipt, store immediately at the temperature recommended below.

Stability & Storage

Use a manual defrost freezer and avoid repeated freeze-thaw cycles.
  • 12 months from date of receipt, -20 to -70 °C as supplied.
  • 1 month, 2 to 8 °C under sterile conditions after reconstitution.
  • 6 months, -20 to -70 °C under sterile conditions after reconstitution.

Background: EGF

EGF is the prototypic member of a family of growth factors that are characterized by the presence of EGF like domains and activate members of the EGF receptor family. Proteolytic cleavage of a membrane-bound precursor releases mature soluble EGF which interacts with the EGF R to promote proliferation and differentiation of mesenchymal and epithelial cells.

Long Name

Epidermal Growth Factor

Alternate Names

HOMG4, URG, Urogastrone

Entrez Gene IDs

1950 (Human); 13645 (Mouse); 25313 (Rat)

Gene Symbol

EGF

Additional EGF Products

Product Documents for Human EGF Antibody

Certificate of Analysis

To download a Certificate of Analysis, please enter a lot number in the search box below.

Note: Certificate of Analysis not available for kit components.

Product Specific Notices for Human EGF Antibody

For research use only

Loading...
Loading...
Loading...
Loading...