Skip to main content

Human CD34 Antibody

R&D Systems, part of Bio-Techne | Catalog # MAB7227

Catalog #
Availability
Size / Price
Qty
Loading...
MAB7227-100
MAB7227-SP

Key Product Details

Species Reactivity

Validated:

Human

Cited:

Human

Applications

Validated:

Multiplex Immunofluorescence, Immunohistochemistry, Flow Cytometry

Cited:

Immunohistochemistry-Paraffin, Flow Cytometry

Label

Unconjugated

Antibody Source

Monoclonal Mouse IgG1 Clone # QBEnd10

Product Specifications

Immunogen

Human endothelial vesicles

Specificity

Detects human CD34 in direct ELISAs

Clonality

Monoclonal

Host

Mouse

Isotype

IgG1

Scientific Data Images for Human CD34 Antibody

CD34 in Human Liver via seqIF™ staining on COMET™​

CD34 was detected in immersion fixed paraffin-embedded sections of human Liver using Mouse Anti-Human CD34, Monoclonal Antibody (Catalog #MAB7227) at 10ug/mL at 37° Celsius for 4 minutes. Before incubation with the primary antibody, tissue underwent an all-in-one dewaxing and antigen retrieval preprocessing using PreTreatment Module (PT Module) and Dewax and HIER Buffer H (pH 9; Epredia Catalog # TA-999-DHBH). Tissue was stained using the Alexa Fluor™ 647 Goat anti-Mouse IgG Secondary Antibody at 1:200 at 37 ° Celsius for 2 minutes. (Yellow; Lunaphore Catalog # DR647MS) and counterstained with DAPI (blue; Lunaphore Catalog # DR100). Specific staining was localized to the membrane. Protocol available in COMET™ Panel Builder.
Detection of CD34 antibody in KG-1a Human Cell Line antibody by Flow Cytometry.

Detection of CD34 in KG‑1a Human Cell Line by Flow Cytometry.

KG-1a human acute myelogenous leukemia cell line was stained with Mouse Anti-Human CD34 Monoclonal Antibody (Catalog # MAB7227, filled histogram) or isotype control antibody (Catalog # MAB002, open histogram) followed by Phycoerythrin-conjugated Anti-Mouse IgG Secondary Antibody (Catalog # F0102B). View our protocol for Staining Membrane-associated Proteins.

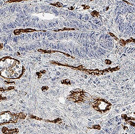
Detection of CD34 in Human Colon Cancer.

CD34 was detected in immersion fixed paraffin sections of human colon cancer using Mouse Anti-Human CD34 Monoclonal Antibody (Catalog # MAB7227) at 0.5 µg/ml for 1 hour at room temperature followed by incubation with the Anti-Mouse IgG VisUCyte™ HRP Polymer Antibody (Catalog # VC001) or the HRP-conjugated Anti-Mouse IgG Secondary Antibody (Catalog # HAF007). Before incubation with the primary antibody, tissue was subjected to heat-induced epitope retrieval using VisUCyte Antigen Retrieval Reagent-Basic (Catalog # VCTS021). Tissue was stained using DAB (brown) and counterstained with hematoxylin (blue). Specific staining was localized to the membrane of endothelial cells. View our protocol for IHC Staining with VisUCyte HRP Polymer Detection Reagents.

Applications for Human CD34 Antibody

Application
Recommended Usage

Flow Cytometry

0.25 µg/106 cells
Sample: KG‑1a human acute myelogenous leukemia cell line

Immunohistochemistry

0.5-25 µg/mL
Sample: Immersion fixed paraffin-embedded sections of human colon cancer, human liver and human placenta

Multiplex Immunofluorescence

10 µg/mL
Sample: Immersion fixed paraffin-embedded sections of human Liver

Reviewed Applications

Read 1 review rated 5 using MAB7227 in the following applications:

Formulation, Preparation, and Storage

Purification

Protein A or G purified from hybridoma culture supernatant

Reconstitution

Reconstitute at 0.5 mg/mL in sterile PBS. For liquid material, refer to CoA for concentration.

Reconstitution Buffer Available:
Size / Price
Qty
Loading...

Formulation

Lyophilized from a 0.2 μm filtered solution in PBS and Sodium Azide with Trehalose. See Certificate of Analysis for details.
*Small pack size (-SP) is supplied either lyophilized or as a 0.2 µm filtered solution in PBS.

Shipping

Lyophilized product is shipped at ambient temperature. Liquid small pack size (-SP) is shipped with polar packs. Upon receipt, store immediately at the temperature recommended below.

Stability & Storage

Use a manual defrost freezer and avoid repeated freeze-thaw cycles.
  • 12 months from date of receipt, -20 to -70 °C as supplied.
  • 1 month, 2 to 8 °C under sterile conditions after reconstitution.
  • 6 months, -20 to -70 °C under sterile conditions after reconstitution.

Background: CD34

The CD34 family of cell surface transmembrane proteins includes the hematopoietic progenitor cell antigen CD34, Podocalyxin, and Endoglycan. This single-pass sialomucin‑like transmembrane protein is heavily glycosylated and phosphorylated by Protein Kinase C (PKC). CD34 is a 115 kDa glycoprotein found on multipotent precursors, bone marrow stromal cells, embryonic fibroblasts, vascular endothelia, as well as some populations of mesenchymal stem cells, and tumor cell lines. CD34 is involved in the adhesion of stem cells to the bone marrow extracellular matrix or to stromal cells.

Alternate Names

CD34, HPCA1

Entrez Gene IDs

947 (Human); 12490 (Mouse); 305081 (Rat); 397160 (Porcine); 415130 (Canine)

Gene Symbol

CD34

Additional CD34 Products

Product Documents for Human CD34 Antibody

Certificate of Analysis

To download a Certificate of Analysis, please enter a lot number in the search box below.

Note: Certificate of Analysis not available for kit components.

Product Specific Notices for Human CD34 Antibody

* Contains <0.1% Sodium Azide, which is not hazardous at this concentration according to GHS classifications. Refer to SDS for additional information and handling instructions.

For research use only

Loading...
Loading...
Loading...
Loading...
Loading...
Loading...