Skip to main content

ACE-2 Antibody (OTI4D2) - Azide and BSA Free

Novus Biologicals, part of Bio-Techne | Catalog # NBP2-72117

Novus Biologicals, part of Bio-Techne

Key Product Details

Species Reactivity

Validated:

Human

Cited:

Human

Applications

Validated:

Immunohistochemistry, Immunohistochemistry-Paraffin, Western Blot, Flow Cytometry

Cited:

Flow Cytometry

Label

Unconjugated

Antibody Source

Monoclonal Mouse IgG2A Clone # OTI4D2

Format

Azide and BSA Free

Concentration

LYOPH mg/ml

Product Specifications

Immunogen

Human recombinant protein fragment corresponding to amino acids 18-237 of human ACE2 (NP_068576) produced in E.coli.

Clonality

Monoclonal

Host

Mouse

Isotype

IgG2A

Description

Novus Biologicals Mouse ACE-2 Antibody (OTI4D2) - Azide and BSA Free (NBP2-46490) is a monoclonal antibody validated for use in IHC, WB and Flow. Anti-ACE-2 Antibody: Cited in 1 publication. All Novus Biologicals antibodies are covered by our 100% guarantee.

Scientific Data Images for ACE-2 Antibody (OTI4D2) - Azide and BSA Free

Western Blot: ACE-2 Antibody (OTI4D2)Azide and BSA Free [NBP2-72117]

Western Blot: ACE-2 Antibody (OTI4D2)Azide and BSA Free [NBP2-72117]

Western Blot: ACE-2 Antibody (OTI4D2) - Azide and BSA Free [NBP2-72117] - HEK293T cells were transfected with the pCMV6-ENTRY control (Left lane) or pCMV6-ENTRY ACE2 (Right lane) cDNA for 48 hrs and lysed. Equivalent amounts of cell lysates (5 ug per lane) were separated by SDS-PAGE and immunoblotted with anti-ACE2.
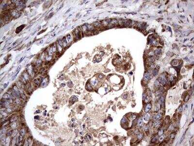
Immunohistochemistry-Paraffin: ACE-2 Antibody (OTI4D2) - Azide and BSA Free [NBP2-72117]

Immunohistochemistry-Paraffin: ACE-2 Antibody (OTI4D2) - Azide and BSA Free [NBP2-72117]

Immunohistochemistry-Paraffin: ACE-2 Antibody (OTI4D2) - Azide and BSA Free [NBP2-72117] - Staining of paraffin-embedded Adenocarcinoma of Human colon tissue using anti-ACE2 mouse monoclonal antibody. (Heat-induced epitope retrieval by 1 mM EDTA in 10mM Tris, pH8.5, 120 degrees C for 3min.
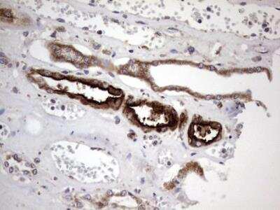
Immunohistochemistry-Paraffin: ACE-2 Antibody (OTI4D2) - Azide and BSA Free [NBP2-72117]

Immunohistochemistry-Paraffin: ACE-2 Antibody (OTI4D2) - Azide and BSA Free [NBP2-72117]

Immunohistochemistry-Paraffin: ACE-2 Antibody (OTI4D2) - Azide and BSA Free [NBP2-72117] - Staining of paraffin-embedded Carcinoma of Human lung tissue using anti-ACE2 mouse monoclonal antibody. (Heat-induced epitope retrieval by 1 mM EDTA in 10mM Tris, pH8.5, 120 degrees C for 3min)

Applications for ACE-2 Antibody (OTI4D2) - Azide and BSA Free

Application
Recommended Usage

Immunohistochemistry

1:150

Immunohistochemistry-Paraffin

1:150

Western Blot

1:200
Application Notes
Use in Flow reported in scientific literature (PMID:34354120).

Formulation, Preparation, and Storage

Purification

Immunogen affinity purified

Reconstitution

we recommend adding 100uL distilled water to a final antibody concentration of about 1 mg/mL. To use this carrier-free antibody for conjugation experiment, we strongly recommend performing another round of desalting process.

Formulation

Lyophilized from PBS (pH 7.3) with 8% Trehalose

Format

Azide and BSA Free

Preservative

No Preservative

Concentration

LYOPH mg/ml

Shipping

The product is shipped with polar packs. Upon receipt, store it immediately at the temperature recommended below.

Stability & Storage

Store at -20C. Avoid freeze-thaw cycles.

Background: ACE-2

Angiotensin I Converting Enzyme 2 (ACE2), also known as ACEH (ACE homologue), is an integral membrane protein and a zinc metalloprotease of the ACE family (theoretical molecular weight 92 kDa). The predicted mouse ACE2 protein sequence consists of 798 amino acids, including an N-terminal signal peptide, a single catalytic domain, a C-terminal membrane anchor, and a short cytoplasmic tail. Mouse ACE2 is 40% homologous in amino acid identity to the N- and C-terminal domains of mouse somatic ACE. Enzymatically, ACE2 converts the inactive vasoconstrictor angiotensin I (AngI) to Ang1-9 and the active form AngII to Ang1-7, unlike ACE, which converts Ang I to Ang II.

Genetic data from Drosophila, mice and rats show that the ACE2 protein is an essential regulator of heart function in vivo. ACE2 mRNA is found at high levels in testis, kidney and heart with moderate levels in colon, small intestine, and ovary. The ACE2 protein contributes to organ function through the renin-angiotensin system, playing a central role in vascular, renal, and myocardial physiology.

Virology research has demonstrated that the severe acute respiratory syndrome coronavirus (SARS-CoV) spike protein binds to its functional receptor, ACE2 (1). Vimentin is a type III intermediate filament protein expressed in mesenchymal cells that helps comprise the cytoskeleton in all animal cells. Studies have demonstrated that vimentin allows cell binding that allows the uptake of SARS-CoV spike protein into a host (2). This direct interaction of SARS-CoV with vimentin has been identified as an entry mechanism for the virus into a host, mediated by the SARS-CoV receptor ACE2 (1,2). It has been shown that ACE2 is the SARS-CoV-2 receptor required for cell entry and plays a physiological role in the replication of SARS-CoV in an infected host (1). Studies using human ACE2 antibody demonstrated a blockade of SARS-CoV-2 and ACE2 interaction, indicating an important physiological component of viral transmission and potential anti-viral therapeutic strategies (3).

References

1. Li, W., Moore, M. J., Vasilieva, N., Sui, J., Wong, S. K., Berne, M. A., . . . Farzan, M. (2003). Angiotensin-converting enzyme 2 is a functional receptor for the SARS coronavirus. Nature, 426(6965), 450-454. doi:10.1038/nature02145

2. Yu YT, Chien SC, Chen IY, Lai CT, Tsay YG, Chang SC, Chang MF. (2016) Surface vimentin is critical for the cell entry of SARS-CoV. J Biomed Sci. doi: 10.1186/s12929-016-0234-7

3. Hoffmann, M., Kleine-Weber, H., Schroeder, S., Kruger, N., Herrler, T., Erichsen, S., . . . Pohlmann, S. (2020). SARS-CoV-2 Cell Entry Depends on ACE2 and TMPRSS2 and Is Blocked by a Clinically Proven Protease Inhibitor. Cell. doi:10.1016/j.cell.2020.02.052

Long Name

Angiotensin I Converting Enzyme 2

Alternate Names

ACE2, ACEH

Gene Symbol

ACE2

Additional ACE-2 Products

Product Documents for ACE-2 Antibody (OTI4D2) - Azide and BSA Free

Certificate of Analysis

To download a Certificate of Analysis, please enter a lot number in the search box below.

Product Specific Notices for ACE-2 Antibody (OTI4D2) - Azide and BSA Free

This product is for research use only and is not approved for use in humans or in clinical diagnosis. Primary Antibodies are guaranteed for 1 year from date of receipt.

Loading...
Loading...
Loading...
Loading...
Loading...
Loading...