Bax Products
B cell leukemia/lymphoma-2 associated X protein (Bax) is a pro-apoptotic member of the Bcl-2 family of proteins found in many cell types. Bax is a cytosolic protein that translocates to the mitochondria and participates in Cytochrome c release in response to apoptotic stimuli. Aberrant expression of Bcl-2 family members can inappropriately promote or prevent apoptosis. Increased expression of Bax is associated with the apoptotic loss of neurons in Parkinson's disease.
282 results for "Bax" in Products
282 results for "Bax" in Products
Bax Products
B cell leukemia/lymphoma-2 associated X protein (Bax) is a pro-apoptotic member of the Bcl-2 family of proteins found in many cell types. Bax is a cytosolic protein that translocates to the mitochondria and participates in Cytochrome c release in response to apoptotic stimuli. Aberrant expression of Bcl-2 family members can inappropriately promote or prevent apoptosis. Increased expression of Bax is associated with the apoptotic loss of neurons in Parkinson's disease.
| Reactivity: | Human, Monkey, Rat (Negative), Mouse (Negative) |
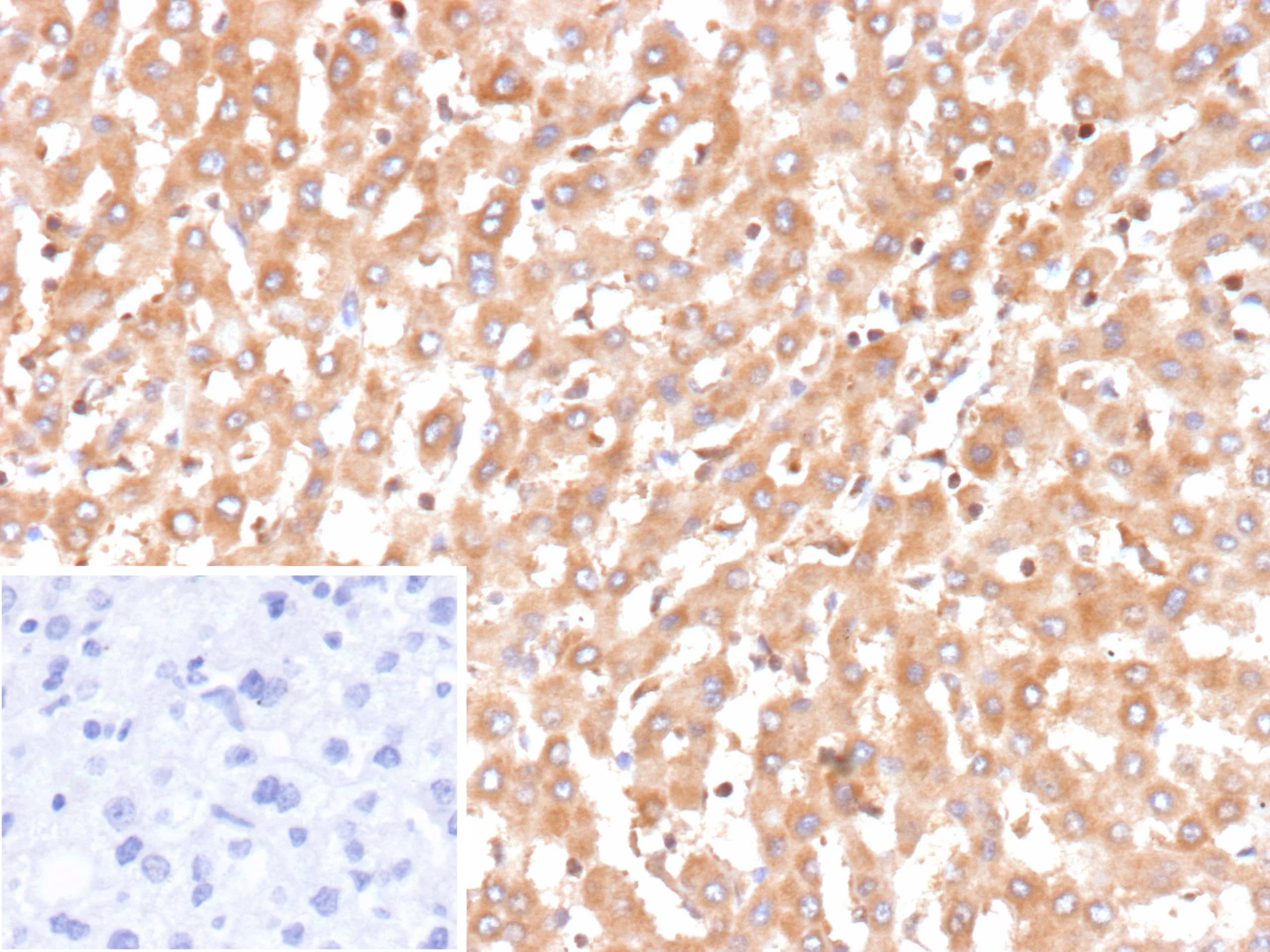
| Details: | Mouse IgG1 kappa Monoclonal Clone #BAX/962 |
| Applications: | IHC |
Recombinant Monoclonal Antibody
| Reactivity: | Human |
| Details: | Rabbit IgG Kappa Monoclonal Clone #BAX/9925R |
| Applications: | IHC, WB |
Recombinant Monoclonal Antibody
| Reactivity: | Human |
| Details: | Rabbit IgG Kappa Monoclonal Clone #BAX/9925R |
| Applications: | IHC, WB |
Recombinant Monoclonal Antibody
| Reactivity: | Human |
| Details: | Rabbit IgG Kappa Monoclonal Clone #BAX/8960R |
| Applications: | IHC |
Recombinant Monoclonal Antibody
| Reactivity: | Human |
| Details: | Rabbit IgG Kappa Monoclonal Clone #BAX/8960R |
| Applications: | IHC |
Recombinant Monoclonal Antibody
| Reactivity: | Human |
| Details: | Rabbit IgG Kappa Monoclonal Clone #BAX/8960R |
| Applications: | IHC |
Recombinant Monoclonal Antibody
| Reactivity: | Human |
| Details: | Mouse IgG1 kappa Monoclonal Clone #rBAX/962 |
| Applications: | WB |
Recombinant Monoclonal Antibody
| Reactivity: | Human |
| Details: | Rabbit IgG Kappa Monoclonal Clone #BAX/3158R |
| Applications: | WB |
Recombinant Monoclonal Antibody
| Reactivity: | Human |
| Details: | Mouse IgG1 kappa Monoclonal Clone #rBAX/962 |
| Applications: | WB |
Recombinant Monoclonal Antibody
| Reactivity: | Human |
| Details: | Rabbit IgG Kappa Monoclonal Clone #BAX/3158R |
| Applications: | WB |
| Reactivity: | Human, Monkey, Rat (Negative), Mouse (Negative) |
| Details: | Mouse IgG1 kappa Monoclonal Clone #BAX/962 |
| Applications: | IHC, Flow, CyTOF-ready |
| Reactivity: | Human, Monkey, Rat (Negative), Mouse (Negative) |
| Details: | Mouse IgG1 kappa Monoclonal Clone #BAX/962 |
| Applications: | IHC, Flow, CyTOF-ready |
| Reactivity: | Human, Monkey, Rat (Negative), Mouse (Negative) |
| Details: | Mouse IgG1 kappa Monoclonal Clone #BAX/962 |
| Applications: | IHC, Flow, CyTOF-ready |
Recombinant Monoclonal Antibody
| Reactivity: | Human |
| Details: | Rabbit IgG Kappa Monoclonal Clone #BAX/8960R |
| Applications: | IHC |
Recombinant Monoclonal Antibody
| Reactivity: | Human |
| Details: | Mouse IgG1 kappa Monoclonal Clone #rBAX/962 |
| Applications: | WB |
| Reactivity: | Human, Monkey, Rat (Negative), Mouse (Negative) |
| Details: | Mouse IgG1 kappa Monoclonal Clone #BAX/962 |
| Applications: | IHC, Flow, CyTOF-ready |
| Reactivity: | Human, Monkey, Rat (Negative), Mouse (Negative) |
| Details: | Mouse IgG1 kappa Monoclonal Clone #BAX/962 |
| Applications: | IHC, Flow, CyTOF-ready |
Recombinant Monoclonal Antibody
| Reactivity: | Human |
| Details: | Mouse IgG1 kappa Monoclonal Clone #rBAX/962 |
| Applications: | WB |
Recombinant Monoclonal Antibody
| Reactivity: | Human |
| Details: | Rabbit IgG Kappa Monoclonal Clone #BAX/8960R |
| Applications: | IHC |
Recombinant Monoclonal Antibody
| Reactivity: | Human |
| Details: | Rabbit IgG Kappa Monoclonal Clone #BAX/8960R |
| Applications: | IHC |
Recombinant Monoclonal Antibody
| Reactivity: | Human |
| Details: | Rabbit IgG Kappa Monoclonal Clone #BAX/8960R |
| Applications: | IHC |
Recombinant Monoclonal Antibody
| Reactivity: | Human |
| Details: | Rabbit IgG Kappa Monoclonal Clone #BAX/8960R |
| Applications: | IHC |
Recombinant Monoclonal Antibody
| Reactivity: | Human |
| Details: | Rabbit IgG Kappa Monoclonal Clone #BAX/9925R |
| Applications: | IHC, WB |
Recombinant Monoclonal Antibody
| Reactivity: | Human |
| Details: | Rabbit IgG Kappa Monoclonal Clone #BAX/3158R |
| Applications: | WB |
Recombinant Monoclonal Antibody
| Reactivity: | Human |
| Details: | Rabbit IgG Kappa Monoclonal Clone #BAX/3158R |
| Applications: | WB |