Skip to main content

Bax Antibody - BSA Free

Novus Biologicals, part of Bio-Techne | Catalog # NB100-56096

Novus Biologicals, part of Bio-Techne
Catalog #
Availability
Size / Price
Qty
Loading...
NB100-56096
NB100-56096SS

Key Product Details

Species Reactivity

Validated:

Human, Mouse, Rat, Canine, Gerbil

Cited:

Human, Mouse, Rat, Canine

Applications

Validated:

Immunohistochemistry, Immunohistochemistry-Paraffin, Immunohistochemistry-Frozen, Western Blot, Immunoprecipitation

Cited:

Immunohistochemistry-Paraffin, Western Blot, IF/IHC

Label

Unconjugated

Antibody Source

Polyclonal Rabbit IgG

Format

BSA Free

Concentration

This product is unpurified. The exact concentration of antibody is not quantifiable.

Product Specifications

Immunogen

A synthetic peptide corresponding to amino acids 43-60 (PELTLEQPPQDASTKKLS) of mouse Bax alpha was used as immunogen, GenBank no. NP_031553.1.

Reactivity Notes

Human reactivity reported in scientific literature (PMID: 27494235).

Clonality

Polyclonal

Host

Rabbit

Isotype

IgG

Theoretical MW

21 kDa.
Disclaimer note: The observed molecular weight of the protein may vary from the listed predicted molecular weight due to post translational modifications, post translation cleavages, relative charges, and other experimental factors.

Description

Novus Biologicals Rabbit Bax Antibody - BSA Free (NB100-56096) is a polyclonal antibody validated for use in IHC, WB and IP. Anti-Bax Antibody: Cited in 6 publications. All Novus Biologicals antibodies are covered by our 100% guarantee.

Scientific Data Images for Bax Antibody - BSA Free

Western Blot: Bax Antibody [NB100-56096]

Western Blot: Bax Antibody [NB100-56096]

Western Blot: Bax Antibody [NB100-56096] - Analysis of Bax in mouse using this antibody. 1. In vitro translated mouse Bax. 2. Normal cortex. 3. Ischemic hippocampus. 4. Ischemic hippocampus. Ishemic samples were prepared 6 hr post middle cerebral artery occlusion. The results show the Bax expression increased following ischemia.
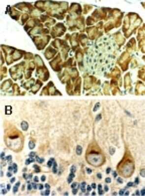
Immunohistochemistry-Paraffin: Bax Antibody [NB100-56096]

Immunohistochemistry-Paraffin: Bax Antibody [NB100-56096]

Immunohistochemistry-Paraffin: Bax Antibody [NB100-56096] - Mouse tissue sections stained for Bax using NB100-56096 at 1:2000. A. Pancreas. B. Brain showing expression of Bax in the Purkinge cells.

Applications for Bax Antibody - BSA Free

Application
Recommended Usage

Immunohistochemistry-Paraffin

1:1000-1:5000

Immunoprecipitation

1:50-1:200

Western Blot

1:1000-1:2000

Formulation, Preparation, and Storage

Purification

Unpurified

Formulation

Whole antisera

Format

BSA Free

Preservative

0.05% Sodium Azide

Concentration

This product is unpurified. The exact concentration of antibody is not quantifiable.

Shipping

The product is shipped with polar packs. Upon receipt, store it immediately at the temperature recommended below.

Stability & Storage

Store at -20C. Avoid freeze-thaw cycles.

Background: Bax

The Bcl-2 family of apoptosis-related genes plays central roles in regulating apoptotic pathways (reviewed in Thomadaki and Scorilas, 2006). Regulation of cell death through apoptosis is critical for the maintenance of homeostasis, defense against infectious agents, and normal development. Bcl-2 family proteins regulate apoptosis primarily through the regulation of mitochondrial outer membrane permeability. In mammals, the family consists of both prosurvival (antiapoptotic) and proapoptotic (prodeath) members. Cellular homeostasis is thought to be dependent on a balance between the actions of prosurvival and proapoptotic proteins. Bcl-2 family proteins can be divided into 3 main subfamilies on the basis of their function and the content of their Bcl-2 homology (BH) domains, for example: 1) Prosurvival: Bcl-2, Bcl-XL, Bcl-W, A1, and Mcl-1 2) Proapoptotic (multidomain): Bax, Bak, and Bok. 3) BH3-only (proapoptotic): Bad, Bcl-XS, Bid, Bik, Bim, Blk, Bmf, Bnip, Noxa, and Puma. Prosurvival members inhibit cells from undergoing apoptosis, whereas proapoptotic and BH3-only subfamily members promote apoptosis. There are 4 BH domains (1-4) conserved among Bcl-2 family proteins. The BH domains are important for function as well as for heterodimerization between family members. Typical prosurvival family members have all four BH domains (1-4), whereas proapoptotic (multidomain) members have BH1, 2 and 3 domains and BH3-only members have only the BH3 domain. Overall, the relative ratio of prosurvival and proapoptotic proteins determines the suseptibility of a cell to various apoptotic stimuli. Many Bcl-2 family proteins are differentially expressed in various malignancies and some are useful prognostic biomarkers. Prosurvival proteins are often elevated in diverse cancers and have the potential to confer resistance to both endogenous cell death stimuli and cancer treatments. Alterations in the ratio or levels of Bcl-2 family proteins have been also associated with nonmalignant diseases including neurodegenerative diseases, autoimmune diseases, AIDs, Down's syndrome, cardiovascular diseases, diabetes, glomerulonephritis, and muscular dystrophy. Reacts with Bax isoforms containing the peptide immunogen sequence (PELTLEQPPQDASTKKLS). Mouse and rat Bax alpha are 192 amino acid proteins, GenBank nos. NP_031553.1/ NP_058755.1.

Long Name

Bcl Associated X Protein

Alternate Names

apoptosis regulator BAX, BCL2-associated X protein, Bcl2-L-4, BCL2L4bcl2-L-4, Bcl-2-like protein 4

Entrez Gene IDs

12028 (Mouse); 24887 (Rat)

Gene Symbol

BAX

UniProt

Additional Bax Products

Product Documents for Bax Antibody - BSA Free

Certificate of Analysis

To download a Certificate of Analysis, please enter a lot number in the search box below.

Product Specific Notices for Bax Antibody - BSA Free

This product is for research use only and is not approved for use in humans or in clinical diagnosis. Primary Antibodies are guaranteed for 1 year from date of receipt.

Loading...
Loading...
Loading...
Loading...