Skip to main content

Key Product Details

Validated by

Biological Validation

Species Reactivity

Validated:

Mouse

Cited:

Mouse, Transgenic Mouse

Applications

Validated:

Immunohistochemistry, Western Blot, Flow Cytometry, CyTOF-ready

Cited:

Immunohistochemistry, Western Blot, Immunocytochemistry

Label

Unconjugated

Antibody Source

Polyclonal Goat IgG

Product Specifications

Immunogen

Mouse myeloma cell line NS0-derived recombinant mouse TIM-3
Leu22-Arg191
Accession # AAL65156

Specificity

Detects mouse TIM-3 in direct ELISAs and  Western blots. In direct ELISAs, approximately 10% cross-reactivity with recombinant human TIM‑3 is observed and less than 5% cross-reactivity with recombinant mouse (rm) TIM‑1, rmTIM‑2, rmTIM‑4, rmTIM‑5, rmTIM‑6, and rmTIM‑7 is observed.

Clonality

Polyclonal

Host

Goat

Isotype

IgG

Scientific Data Images for Mouse TIM-3 Antibody

Detection of Mouse TIM-3 antibody by Western Blot.

Detection of Mouse TIM‑3 by Western Blot.

Western blot shows lysates of RAW 264.7 mouse monocyte/macrophage cell line. PVDF membrane was probed with 2 µg/mL of Goat Anti-Mouse TIM-3 Antigen Affinity-purified Polyclonal Antibody (Catalog # AF1529) followed by HRP-conjugated Anti-Goat IgG Secondary Antibody (Catalog # HAF017). A specific band was detected for TIM-3 at approximately 45-70 kDa (as indicated). This experiment was conducted under reducing conditions and using Immunoblot Buffer Group 1.

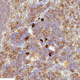
TIM-3 in Mouse Spleen.

TIM-3 was detected in immersion fixed paraffin-embedded sections of mouse spleen using Goat Anti-Mouse TIM-3 Antigen Affinity-purified Polyclonal Antibody (Catalog # AF1529) at 3 µg/mL for 1 hour at room temperature followed by incubation with the Anti-Goat IgG VisUCyte™ HRP Polymer Antibody (VC004). Before incubation with the primary antibody, tissue was subjected to heat-induced epitope retrieval using Antigen Retrieval Reagent-Basic (CTS013). Tissue was stained using DAB (brown) and counterstained with hematoxylin (blue). Specific staining was localized to lymphocytes. Staining was performed using our protocol for IHC Staining with VisUCyte HRP Polymer Detection Reagents.
Detection of Mouse TIM-3 by Immunohistochemistry

Detection of Mouse TIM-3 by Immunohistochemistry

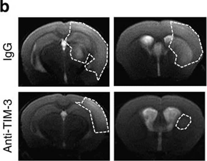
Blocking TIM-3 significantly reduces brain injury after hypoxia-ischaemia.(a) Representative images of TTC-stained brain slices from H/I mice treated with 100 μg of IgG (n=12) or anti-TIM-3 antibody (n=12). The infarct volume was quantified with Image J analyser and expressed as a percentage of the damaged ipsilateral hemisphere. (b) Representative magnetic resonance images (MRIs) from TIM-3-antibody-treated mice (n=4) and IgG-treated mice (n=4) at 24 h post-H/I. (c) Representative T2 images from TIM-3-antibody-treated mice (n=4) and IgG-treated mice (n=4) after H/I. (d) The extent of the oedema formation was obtained from the T2-weighted MRI images and ADC map. (e) Representative confocal microscopic images of immunohistochemical staining for NeuN and cleaved caspase-3 in coronal brain sections from IgG- and anti-TIM-3-treated H/I mice 24 h after injury. Scale bar, 50 μm. The graph shows the mean number of NeuN and cleaved caspase-3-stained cells per mm2. (f) Immunoblot detection of full-length PARP proteins in contralateral and ipsilateral cortex regions of control IgG- or anti-TIM-3-treated mice. The graph shows the relative levels of full-length PARP (116 kDa). Data represent the mean±s.d. from at least three independent experiments. Image collected and cropped by CiteAb from the following publication (https://pubmed.ncbi.nlm.nih.gov/25790768), licensed under a CC-BY license. Not internally tested by R&D Systems.

Applications for Mouse TIM-3 Antibody

Application
Recommended Usage

CyTOF-ready

Ready to be labeled using established conjugation methods. No BSA or other carrier proteins that could interfere with conjugation.

Flow Cytometry

2.5 µg/106 cells
Sample: HT-2 mouse T cell line

Immunohistochemistry

3-15 µg/mL
Sample: Immersion fixed paraffin-embedded sections of mouse spleen

Western Blot

2 µg/mL
Sample: RAW 264.7 mouse monocyte/macrophage cell line

Formulation, Preparation, and Storage

Purification

Antigen Affinity-purified

Reconstitution

Reconstitute at 0.2 mg/mL in sterile PBS. For liquid material, refer to CoA for concentration.

Reconstitution Buffer Available:
Size / Price
Qty
Loading...

Formulation

Lyophilized from a 0.2 μm filtered solution in PBS with Trehalose. *Small pack size (SP) is supplied either lyophilized or as a 0.2 µm filtered solution in PBS.

Shipping

Lyophilized product is shipped at ambient temperature. Liquid small pack size (-SP) is shipped with polar packs. Upon receipt, store immediately at the temperature recommended below.

Stability & Storage

Use a manual defrost freezer and avoid repeated freeze-thaw cycles.
  • 12 months from date of receipt, -20 to -70 °C as supplied.
  • 1 month, 2 to 8 °C under sterile conditions after reconstitution.
  • 6 months, -20 to -70 °C under sterile conditions after reconstitution.

Background: TIM-3

TIM-3 (T cell immunoglobulin and mucin domain-3) is a 60 kDa member of the TIM family of immune regulating molecules. TIMs are type I transmembrane glycoproteins with one Ig-like V-type domain and a Ser/Thr-rich mucin stalk (1-3). There are three TIM genes in human and eight in mouse. Mature mouse TIM-3 consists of a 174 amino acid (aa) extracellular domain (ECD), a 21 aa transmembrane segment (TM), and a 67 aa cytoplasmic tail (4). Two alternately spliced isoforms have been reported in mouse which lack either the TM or both the TM and mucin regions (5, 6). Within the ECD, mouse TIM-3 shares 58% and 74% aa sequence identity with human and rat TIM-3, respectively. TIM-3 is specifically expressed on Th1 cells whereas TIM-1 and TIM-2 are expressed on Th2 cells. In chronic inflammation, autoimmune disorders, and some cancers, TIM-3 is upregulated on several other hematopoietic cell types and on hippocampal neurons (9-12). The glycosylated Ig domain of TIM-3 binds cell-associated galectin-9 which induces TIM-3 Tyr phosphorylation and proapoptotic signaling (10, 13). TIM-3 functions as a negative regulator of Th1 cell activity. Its blockade results in increased IFN-gamma production, Th1 cell proliferation, and cytotoxicity (5, 7, 12, 14). TIM-3 may play a role in regulatory T cell development (7), inflammation (15), and immune tolerance (5, 13, 14). Soluble mouse TIM-3 has been shown to inhibit anti-tumor effector T cell responses and to enhance autoimmune reactions (6, 7).

References

  1. Anderson, A.C. and D.E. Anderson (2006) Curr. Opin. Immunol. 18:665.
  2. Mariat, C. et al. (2005) Phil. Trans. R. Soc. B 360:1681.
  3. Meyers, J.H. et al. (2005) Trends Mol. Med. 11:362.
  4. Monney, L. et al. (2002) Nature 415:536.
  5. Sabatos, C.A. et al. (2003) Nat. Immunol. 4:1102.
  6. Geng, H. et al. (2006) J. Immunol. 176:1411.
  7. Sanchez-Fueyo, A. et al. (2003) Nat. Immunol. 4:1093.
  8. Khademi, M. et al. (2004) J. Immunol. 172:7169.
  9. Wiener, Z. et al. (2007) J. Invest. Dermatol. 127:906.
  10. van de Weyer, P.S. et al. (2006) Biochem. Biophys. Res. Commun. 351:571.
  11. Gielen, A.W. et al. (2005) J. Neuroimmunol. 164:93.
  12. Oikawa, T. et al. (2006) J. Immunol. 177:4281.
  13. Zhu, C. et al. (2005) Nat. Immunol. 6:1245.
  14. Koguchi, K. et al. (2006) J. Exp. Med. 203:1413.
  15. Frisancho-Kiss, S. et al. (2006) J. Immunol. 176:6411.

Long Name

T Cell Immunoglobulin Mucin-3

Alternate Names

CD366, HAVcr-2, HAVCR2, KIM-3, SPTCL, TIM3, TIMD3

Entrez Gene IDs

84868 (Human); 171285 (Mouse); 363578 (Rat); 479318 (Canine); 102141722 (Cynomolgus Monkey)

Gene Symbol

HAVCR2

UniProt

Additional TIM-3 Products

Product Documents for Mouse TIM-3 Antibody

Certificate of Analysis

To download a Certificate of Analysis, please enter a lot number in the search box below.

Note: Certificate of Analysis not available for kit components.

Product Specific Notices for Mouse TIM-3 Antibody

For research use only

Loading...
Loading...
Loading...
Loading...
Loading...