Skip to main content

Key Product Details

Species Reactivity

Validated:

Mouse

Cited:

Mouse

Applications

Validated:

Immunohistochemistry, Western Blot, ELISA

Cited:

In vivo assay

Label

Unconjugated

Antibody Source

Recombinant Monoclonal Rabbit IgG Clone # 2299B

Product Specifications

Immunogen

E. coli-derived recombinant mouse Leptin/OB
Val22-Cys167
Accession # Q544U0

Specificity

Detects mouse Leptin/OB in direct ELISAs.

Clonality

Monoclonal

Host

Rabbit

Isotype

IgG

Scientific Data Images for Mouse Leptin/OB Antibody

Detection of Mouse Leptin/OB antibody by Western Blot.

Detection of Mouse Leptin/OB by Western Blot.

Western blot shows lysates of mouse ovary tissue. PVDF membrane was probed with 1 µg/mL of Rabbit Anti-Mouse Leptin/OB Monoclonal Antibody (Catalog # MAB498) followed by HRP-conjugated Anti-Rabbit IgG Secondary Antibody (Catalog # HAF008). A specific band was detected for Leptin/OB at approximately 16 kDa (as indicated). This experiment was conducted under reducing conditions and using Immunoblot Buffer Group 1.
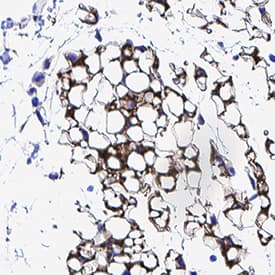
Leptin/OB antibody in Mouse Adipose Tissue by Immunohistochemistry (IHC-P).

Leptin/OB in Mouse Adipose Tissue.

Leptin/OB was detected in immersion fixed paraffin-embedded sections of mouse adipose tissue using Rabbit Anti-Mouse Leptin/OB Monoclonal Antibody (Catalog # MAB498) at 3 µg/mL for 1 hour at room temperature followed by incubation with the Anti-Rabbit IgG VisUCyte™ HRP Polymer Antibody (Catalog # VC003). Before incubation with the primary antibody, tissue was subjected to heat-induced epitope retrieval using Antigen Retrieval Reagent-Basic (Catalog # CTS013). Tissue was stained using DAB (brown) and counterstained with hematoxylin (blue). Specific staining was localized to cytoplasm in fat cells. View our protocol for IHC Staining with VisUCyte HRP Polymer Detection Reagents.

Mouse Leptin/OB ELISA Standard Curve.

Recombinant Mouse Leptin/OB protein was serially diluted 2-fold and captured by Rabbit Anti-Mouse Leptin/OB Monoclonal Antibody (Catalog # MAB498) coated on a Clear Polystyrene Microplate (DY990). Rabbit Anti-Mouse Leptin/OB Monoclonal Antibody (MAB4981) was biotinylated and incubated with the protein captured on the plate. Detection of the standard curve was achieved by incubating Streptavidin-HRP (DY998) followed by Substrate Solution (DY999) and stopping the enzymatic reaction with Stop Solution (DY994).

Applications for Mouse Leptin/OB Antibody

Application
Recommended Usage

ELISA

This antibody functions as an ELISA capture antibody when paired with Rabbit Anti-Mouse Leptin/OB Monoclonal Antibody (Catalog # MAB4981).

This product is intended for assay development on various assay platforms requiring antibody pairs. We recommend the Mouse Leptin DuoSet ELISA Kit (Catalog # DY498-05) for convenient development of a sandwich ELISA or the Mouse/Rat Leptin Quantikine ELISA Kit (Catalog # MOB00B) for  a complete optimized ELISA.

Immunohistochemistry

3-25 µg/mL
Sample: Immersion fixed paraffin-embedded sections of mouse adipose tissue

Western Blot

1 µg/mL
Sample: Mouse Ovary Tissue

Formulation, Preparation, and Storage

Purification

Protein A or G purified from cell culture supernatant

Reconstitution

Reconstitute at 0.5 mg/mL in sterile PBS. For liquid material, refer to CoA for concentration.

Reconstitution Buffer Available:
Size / Price
Qty
Loading...

Formulation

Lyophilized from a 0.2 μm filtered solution in PBS with Trehalose. See Certificate of Analysis for details.
*Small pack size (-SP) is supplied either lyophilized or as a 0.2 µm filtered solution in PBS.

Shipping

Lyophilized product is shipped at ambient temperature. Liquid small pack size (-SP) is shipped with polar packs. Upon receipt, store immediately at the temperature recommended below.

Stability & Storage

Use a manual defrost freezer and avoid repeated freeze-thaw cycles.
  • 12 months from date of receipt, -20 to -70 °C as supplied.
  • 1 month, 2 to 8 °C under sterile conditions after reconstitution.
  • 6 months, -20 to -70 °C under sterile conditions after reconstitution.

Background: Leptin/OB

Leptin is a protein product of the mouse obese gene. Mice with mutations in the obese gene that block the synthesis of Leptin have been found to be obese and diabetic and to have reduced activity, metabolism and body temperature. cDNA clones encoding Leptin have been isolated from human, simian, mouse, and rat cells. Mouse Leptin shares approximately 96% and 84% sequence identity with the rat and human protein, respectively. Mouse Leptin cDNA encodes a 167 amino acid residue protein with a 21 amino acid residue signal sequence that is cleaved to yield the 146 amino acid residue mature protein. The expression of Leptin mRNA has been shown to be restricted to adipose tissue.

A high-affinity receptor for Leptin (OB-R) with homology to gp130 and the G-CSF receptor has been cloned. OB-R mRNA has been shown to be expressed in the choroid plexus and in the hypothalamus. OB-R has also been identified as an isoform of B219, a sequence that is expressed in at least four isoforms in very primitive hematopoietic cell populations and in a variety of lymphohematopoietic cell lines (1-3). The possible roles of Leptin in body weight regulation, hematopoiesis and reproduction are being investigated.

References

  1. Considine, R. and J. Caro (1996) Clinical Chemistry 42:843.
  2. Tartaglia, L.A. et al. (1995) Cell 83:1263.
  3. Cioffi, J.A. et al. (1996) Nature Medicine 2:585.

Alternate Names

LEP, OB

Entrez Gene IDs

3952 (Human); 16846 (Mouse); 25608 (Rat)

Gene Symbol

LEP

UniProt

Additional Leptin/OB Products

Product Documents for Mouse Leptin/OB Antibody

Certificate of Analysis

To download a Certificate of Analysis, please enter a lot number in the search box below.

Note: Certificate of Analysis not available for kit components.

Product Specific Notices for Mouse Leptin/OB Antibody

For research use only

Loading...
Loading...
Loading...
Loading...