Skip to main content

Key Product Details

Species Reactivity

Mouse

Applications

Immunohistochemistry, Western Blot

Label

Unconjugated

Antibody Source

Polyclonal Sheep IgG

Product Specifications

Immunogen

Mouse myeloma cell line NS0-derived recombinant mouse Kallikrein 5 precursor/Kallikrein 1
Val23-Arg67(Kallikrein 5 precursor), Ile25-Asp261(Kallikrein 1)
Accession # NP_081082, P15947

Specificity

Detects mouse Kallikrein 1 in direct ELISAs and Western blots.  In direct ELISAs, less than 1% cross-reactivity with recombinant human Kallikrein 1, recombinant mouse (rm) Kallikrein 5 and rmKallikrein 7 is observed.

Clonality

Polyclonal

Host

Sheep

Isotype

IgG

Scientific Data Images for Mouse Kallikrein 1 Antibody

Detection of Mouse Kallikrein 1 antibody by Western Blot.

Detection of Mouse Kallikrein 1 by Western Blot.

Western blot shows lysates of mouse pancreas tissue and mouse small intestine. PVDF membrane was probed with 0.25 µg/mL of Sheep Anti-Mouse Kallikrein 1 Antigen Affinity-purified Polyclonal Antibody (Catalog # AF7928) followed by HRP-conjugated Anti-Sheep IgG Secondary Antibody (Catalog # HAF016). A specific band was detected for Kallikrein 1 at approximately 27-30 kDa (as indicated). This experiment was conducted under reducing conditions and using Immunoblot Buffer Group 1.
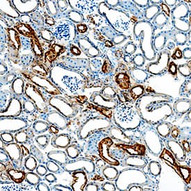
Kallikrein 1 antibody in Mouse Kidney by Immunohistochemistry (IHC-Fr).

Kallikrein 1 in Mouse Kidney.

Kallikrein 1 was detected in perfusion fixed frozen sections of mouse kidney using Sheep Anti-Mouse Kallikrein 1 Antigen Affinity-purified Polyclonal Antibody (Catalog # AF7928) at 1.5 µg/mL overnight at 4 °C. Tissue was stained using the Anti-Sheep HRP-DAB Cell & Tissue Staining Kit (brown; Catalog # CTS019) and counterstained with hematoxylin (blue). Specific staining was localized to tubules. View our protocol for Chromogenic IHC Staining of Frozen Tissue Sections.

Applications for Mouse Kallikrein 1 Antibody

Application
Recommended Usage

Immunohistochemistry

5-15 µg/mL
Sample: Perfusion fixed frozen sections of mouse kidney

Western Blot

0.25 µg/mL
Sample: Mouse pancreas tissue and mouse small intestine

Formulation, Preparation, and Storage

Purification

Antigen Affinity-purified

Reconstitution

Reconstitute at 0.2 mg/mL in sterile PBS. For liquid material, refer to CoA for concentration.

Reconstitution Buffer Available:
Size / Price
Qty
Loading...

Formulation

Lyophilized from a 0.2 μm filtered solution in PBS with Trehalose. *Small pack size (SP) is supplied either lyophilized or as a 0.2 µm filtered solution in PBS.

Shipping

Lyophilized product is shipped at ambient temperature. Liquid small pack size (-SP) is shipped with polar packs. Upon receipt, store immediately at the temperature recommended below.

Stability & Storage

Use a manual defrost freezer and avoid repeated freeze-thaw cycles.
  • 12 months from date of receipt, -20 to -70 °C as supplied.
  • 1 month, 2 to 8 °C under sterile conditions after reconstitution.
  • 6 months, -20 to -70 °C under sterile conditions after reconstitution.

Background: Kallikrein 1

The kallikreins are a family of trypsin‑like serine proteases, many of which are associated with a variety of cancers. Kallikrein 1 (KLK1) also known as tissue kallikrein and urinary kallikrein is a 25 - 30 kDa member of peptidase S1 family of proteins. At least two isoforms are predicted. An important physiological function of KLK1 is the cleavage of kininogen to release a vasoactive kinin peptide, bradykinin (for rodent KLK1) or lysyl‑bradykinin (for human KLK1). Kinins regulate vasodilation, blood pressure reduction, smooth muscle relaxation and contraction, pain induction and inflammation.  Over aa 25-261, mouse KLK1 shares 64% aa identity with human KLK1.

Alternate Names

KLK1

Entrez Gene IDs

3816 (Human); 16612 (Mouse)

Gene Symbol

KLK1

Additional Kallikrein 1 Products

Product Documents for Mouse Kallikrein 1 Antibody

Certificate of Analysis

To download a Certificate of Analysis, please enter a lot number in the search box below.

Note: Certificate of Analysis not available for kit components.

Product Specific Notices for Mouse Kallikrein 1 Antibody

For research use only

Loading...
Loading...
Loading...
Loading...
Loading...