Skip to main content

Key Product Details

Validated by

Biological Validation

Species Reactivity

Validated:

Mouse

Cited:

Human, Mouse, Rat, Transgenic Mouse

Applications

Validated:

Immunohistochemistry, Western Blot, ELISA Capture (Matched Antibody Pair), Neutralization, Intracellular Staining by Flow Cytometry, Immunocytochemistry, CyTOF-ready

Cited:

Immunohistochemistry, Immunohistochemistry-Paraffin, Immunohistochemistry-Frozen, Western Blot, Neutralization, Flow Cytometry, Immunofluorescence, Immunocytochemistry, Immunoprecipitation, Chromatin Immunoprecipitation (ChIP), ELISA Development, ELISA Development (Capture), ELISpot Development, In vivo assay, Neutralization Control

Label

Unconjugated

Antibody Source

Polyclonal Goat IgG

Product Specifications

Immunogen

E. coli-derived recombinant mouse IL-33
Ser109-Ile266
Accession # Q8BVZ5

Specificity

Detects mouse IL-33 in ELISAs and Western blots. In sandwich immunoassays, less than 2% cross-reactivity with recombinant human IL‑33 is observed.

Clonality

Polyclonal

Host

Goat

Isotype

IgG

Endotoxin Level

<0.10 EU per 1 μg of the antibody by the LAL method.

Scientific Data Images for Mouse IL-33 Antibody

Detection of Mouse IL-33 antibody by Western Blot.

Detection of Mouse IL‑33 by Western Blot.

Western blot shows lysates of HEK293T human embryonic kidney cell line either mock transfected or transfected with full length mouse IL-33. PVDF membrane was probed with 0.4 µg/mL of Goat Anti-Mouse IL-33 Antigen Affinity-purified Polyclonal Antibody (Catalog # AF3626) followed by HRP-conjugated Anti-Goat IgG Secondary Antibody (Catalog # HAF109). A specific band was detected for IL-33 at approximately 37 kDa (as indicated). This experiment was conducted under reducing conditions and using Immunoblot Buffer Group 1.
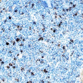
IL-33 antibody in Mouse Spleen by Immunohistochemistry (IHC-Fr).

IL‑33 in Mouse Spleen.

IL-33 was detected in immersion fixed frozen sections of mouse spleen using Goat Anti-Mouse IL-33 Antigen Affinity-purified Polyclonal Antibody (Catalog # AF3626) at 5 µg/mL overnight at 4 °C. Tissue was stained using the Anti-Goat HRP-DAB Cell & Tissue Staining Kit (brown; Catalog # CTS008) and counterstained with hematoxylin (blue). Specific staining was localized to cytoplasm in lymphocytes. View our protocol for Chromogenic IHC Staining of Frozen Tissue Sections.
IL-33 antibody in bEnd by Immunocytochemistry (ICC).3 Mouse Cell Line by Immunocytochemistry (ICC).

IL‑33 in bEnd.3 Mouse Cell Line.

IL-33 was detected in immersion fixed bEnd.3 mouse endothelioma cell line using Goat Anti-Mouse IL-33 Antigen Affinity-purified Polyclonal Antibody (Catalog # AF3626) at 10 µg/mL for 3 hours at room temperature. Cells were stained using the NorthernLights™ 557-conjugated Anti-Goat IgG Secondary Antibody (red, upper panel; Catalog # NL001) and counterstained with DAPI (blue, lower panel). View our protocol for Fluorescent ICC Staining of Cells on Coverslips.

Applications for Mouse IL-33 Antibody

Application
Recommended Usage

CyTOF-ready

Ready to be labeled using established conjugation methods. No BSA or other carrier proteins that could interfere with conjugation.

Immunocytochemistry

5-15 µg/mL
Sample: Immersion fixed bEnd.3 mouse endothelioma cell line

Immunohistochemistry

5-15 µg/mL
Sample: Immersion fixed frozen sections of mouse spleen

Intracellular Staining by Flow Cytometry

0.25 µg/106 cells
Sample: bEND.3 mouse endothelioma cell line or Mouse splenocytes treated with PMA and Ca2+ ionomycin, fixed with paraformaldehyde, and permeabilized with saponin

Western Blot

0.4 µg/mL
Sample: HEK293T human embryonic kidney cell line transfected with full length mouse IL-33

Neutralization

Measured by its ability to neutralize IL‑33-induced proliferation in the D10.G4.1 mouse helper T cell line. Schmitz, J. et al. (2005) Immunity 23:479. The Neutralization Dose (ND50) is typically 10-50 ng/mL in the presence of 0.25 ng/mL Recombinant Mouse IL‑33.

Mouse IL-33 Sandwich Immunoassay

ELISA Capture (Matched Antibody Pair)
Recommended Concentration: 0.2-0.8 µg/mL
Use in combination with these reagents:
  • Detection Reagent: Mouse IL-33 Biotinylated Antibody (Catalog # BAF3626)
  • Standard: Recombinant Mouse IL-33 Protein (Catalog # 3626-ML)
Please Note: Optimal dilutions of this antibody should be experimentally determined.

Reviewed Applications

Read 7 reviews rated 4.6 using AF3626 in the following applications:

Formulation, Preparation, and Storage

Purification

Antigen Affinity-purified

Reconstitution

Reconstitute at 0.2 mg/mL in sterile PBS. For liquid material, refer to CoA for concentration.

Reconstitution Buffer Available:
Size / Price
Qty
Loading...

Formulation

Lyophilized from a 0.2 μm filtered solution in PBS with Trehalose. See Certificate of Analysis for details.
*Small pack size (-SP) is supplied either lyophilized or as a 0.2 µm filtered solution in PBS.

Shipping

Lyophilized product is shipped at ambient temperature. Liquid small pack size (-SP) is shipped with polar packs. Upon receipt, store immediately at the temperature recommended below.

Stability & Storage

Use a manual defrost freezer and avoid repeated freeze-thaw cycles.
  • 12 months from date of receipt, -20 to -70 °C as supplied.
  • 1 month, 2 to 8 °C under sterile conditions after reconstitution.
  • 6 months, -20 to -70 °C under sterile conditions after reconstitution.

Background: IL-33

IL-33, also known as NF-HEV and DVS 27, is a 30 kDa proinflammatory protein that may also regulate gene transcription (1-3). DVS 27 was identifed as a gene that is upregulated in vasospastic cerebral arteries (1). NF-HEV was described as a nuclear factor that is preferentially expressed in the endothelial cells of high endothelial venules relative to endothelial cells from other tissues (2). IL-33 was identified based on sequence and structural homology with IL-1 family cytokines (3). DVS 27, NF-HEV, and IL-33 share 100% amino acid sequence identity. IL-33 is constitutively expressed in smooth muscle and airway epithelia. It is upregulated in arterial smooth muscle, dermal fibroblasts, and keratinocytes following IL-1 alpha or IL-1 beta stimulation (1, 3). Similar to IL-1, IL-33 can be cleaved in vitro by caspase-1, generating an N-terminal fragment that is slightly shorter than the C-terminal fragment (3, 4). The N-terminal portion of full length IL-33 contains a predicted bipartite nuclear localization sequence and a homeodomain-like helix-turn-helix DNA binding domain. By immunofluorescence, full length IL-33 localizes to the nucleus in HUVECs and transfectants (2). The C-terminal fragment, corresponding to mature IL-33, binds and triggers signaling through mast cell IL-1 R4/ST2L, a longtime orphan receptor involved in the augmentation of Th2 cell responses (3, 5-7). A ternary signaling complex is formed by the subsequent association of IL-33 and ST2L with IL-1R AcP (8). Stimulation of Th2 polarized lymphocytes with mature IL-33 in vitro induces IL-5 and IL-13 secretion (3). In vivo administration of mature IL-33 promotes increased production of IL-5, IL-13, IgE, and IgA, as well as splenomegaly and inflammatory infiltration of mucosal tissues (3). Full length and mature mouse IL-33 share approximately 55% and 90% aa sequence identity with human and rat IL-33, respectively. Mouse IL-33 shares less than 25% aa sequence identity with other IL-1 family proteins.

References

  1. Onda, H. et al. (1999) J. Cereb. Blood Flow Metab. 19:1279.
  2. Baekkevold, E.S. et al. (2003) Am. J. Pathol. 163:69.
  3. Schmitz, J. et al. (2005) Immunity 23:479.
  4. Black, R.A. et al. (1989) J. Biol. Chem. 264:5323.
  5. Xu, D. et al. (1998) J. Exp. Med. 187:787.
  6. Lohning, M. et al. (1998) Proc. Natl. Acad. Sci. USA 95:6930.
  7. Dinarello, C.A. (2005) Immunity 23:461.
  8. Chackerian, A.A. et al. (2007) J. Immunol. 179:2551.

Long Name

Interleukin 33

Alternate Names

C9orf26, DVS27, IL33, NF-HEV

Entrez Gene IDs

90865 (Human); 77125 (Mouse)

Gene Symbol

IL33

UniProt

Additional IL-33 Products

Product Documents for Mouse IL-33 Antibody

Certificate of Analysis

To download a Certificate of Analysis, please enter a lot number in the search box below.

Note: Certificate of Analysis not available for kit components.

Product Specific Notices for Mouse IL-33 Antibody

For research use only

Loading...
Loading...
Loading...
Loading...
Loading...