Skip to main content

Key Product Details

Species Reactivity

Validated:

Mouse

Cited:

Human

Applications

Validated:

Immunohistochemistry, Western Blot

Cited:

Immunohistochemistry-Paraffin, Western Blot

Label

Unconjugated

Antibody Source

Polyclonal Goat IgG

Product Specifications

Immunogen

Mouse myeloma cell line NS0-derived recombinant mouse IL‑17 RB
Arg18-Gly286
Accession # Q9JIP3

Specificity

Detects mouse IL‑17 RB in direct ELISAs and Western blots. In direct ELISAs, less than 1% cross-reactivity with recombinant mouse IL-17 R and recombinant human IL-17 R is observed.

Clonality

Polyclonal

Host

Goat

Isotype

IgG

Scientific Data Images for Mouse IL-17RB Antibody

Detection of Mouse IL-17 RB antibody by Western Blot.

Detection of Mouse IL-17 RB by Western Blot.

Western blot shows lysates of mouse liver tissue and mouse spleen tissue (negative control). PVDF membrane was probed with 1 µg/mL of Goat Anti-Mouse IL-17 RB Antigen Affinity-purified Polyclonal Antibody (Catalog # AF1040) followed by HRP-conjugated Anti-Goat IgG Secondary Antibody (Catalog # HAF109). A specific band was detected for IL-17 RB at approximately 50 kDa (as indicated). This experiment was conducted under reducing conditions and using Immunoblot Buffer Group 1.

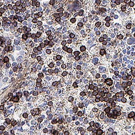
Detection of IL-17RB in Mouse Spleen.

IL-17RB was detected in perfusion fixed frozen sections of mouse spleen using Goat Anti-Mouse IL-17RB Antigen Affinity-purified Polyclonal Antibody (Catalog # AF1040) at 3 µg/ml for 1 hour at room temperature followed by incubation with the Anti-Goat IgG VisUCyte™ HRP Polymer Antibody (Catalog # VC004) or the HRP-conjugated Anti-Goat IgG Secondary Antibody (Catalog # HAF109). Tissue was stained using DAB (brown) and counterstained with hematoxylin (blue). Specific staining was localized to the cell surface. View our protocol for Chromogenic IHC Staining of Frozen Tissue Sections.

Applications for Mouse IL-17RB Antibody

Application
Recommended Usage

Immunohistochemistry

1.7-15 µg/mL
Sample: Perfusion fixed frozen sections of mouse spleen

Western Blot

0.1 µg/mL
Sample: Mouse liver tissue

Formulation, Preparation, and Storage

Purification

Antigen Affinity-purified

Reconstitution

Reconstitute at 0.2 mg/mL in sterile PBS. For liquid material, refer to CoA for concentration.

Reconstitution Buffer Available:
Size / Price
Qty
Loading...

Formulation

Lyophilized from a 0.2 μm filtered solution in PBS with Trehalose. See Certificate of Analysis for details.
*Small pack size (-SP) is supplied either lyophilized or as a 0.2 µm filtered solution in PBS.

Shipping

Lyophilized product is shipped at ambient temperature. Liquid small pack size (-SP) is shipped with polar packs. Upon receipt, store immediately at the temperature recommended below.

Stability & Storage

Use a manual defrost freezer and avoid repeated freeze-thaw cycles.
  • 12 months from date of receipt, -20 to -70 °C as supplied.
  • 1 month, 2 to 8 °C under sterile conditions after reconstitution.
  • 6 months, -20 to -70 °C under sterile conditions after reconstitution.

Background: IL-17RB

The interleukin 17 (IL-17) family of cytokines, comprising six members (IL-17, IL-17B through IL-17F), are structurally related proteins with a conserved cysteine-knot structure. These proinflammatory cytokines can induce local cytokine production and are involved in the regulation of the immune response. The cognate receptors activated by some of these cytokines have been identified (1, 2). Interleukin-17B Receptor (IL-17 RB), also known as IL-17 Rh1, IL-17E R and EVI27, represents the second receptor of the IL-17 family cytokines to be recognized (2‑4). Mouse IL17B R cDNA encodes a 499 amino acid (aa) residue type I membrane protein with a putative 17 aa signal peptide, a 269 aa extracellular domain, a 21 aa transmembrane domain and a 192 aa cytoplasmic tail. As a result of alternative splicing, a secreted variant of IL-17 RB also exists (4). Human and mouse IL‑17 RB share 76% aa sequence identity. The IL-17 RB protein sequence is only 19.2% and 18.2% identical to the human and mouse IL-17 R sequence, respectively. However, the receptors share many conserved cysteine residues within their extracellular domains as well as additional conserved elements within their cytoplasmic domains. At least three additional type I transmembrane receptors with homology to IL‑17 R, including IL-17 RL (IL-17 RC), IL-17 RD, and IL-17 RE, have been reported (2, 6). By Northern blot analysis, mouse IL-17 RB is highly expressed in liver and testes and is expressed at lower levels in kidney and lung. It is also expressed in some hematopoietic cell lines, including selected T cell, B cell, and myeloid cell lines (2‑4). The expression of IL-17 RB is significantly up‑regulated under inflammatory conditions (7). IL-17 RB binds strongly to IL-17E and weakly to IL-17B. It does not bind IL-17 or IL-17F. Activation of IL-17 RB by its ligands results in the activation of nuclear factor kappa-B (2‑4).

References

  1. Aggarwal, S. and A.L. Gurney (2002) J. Leukoc. Biol. 71:1.
  2. Moseley, T.A. et al. (2003) Cytokine & Growth Factor Rev. 14:155.
  3. Shi, Y. et al. (2000) J. Biol. Chem. 275:19167.
  4. Lee, J. et al. (2001) J. Biol. Chem. 276:1660.
  5. Tian, E. et al. (2000) Oncogene 19:2098.
  6. Haudenschild, D. et al. (2002) J. Biol. Chem. 277:4309.
  7. Hurst, S.D. et al. (2002) J. Immunol. 169:443.

Long Name

Interleukin 17B Receptor

Alternate Names

Evi27, IL-17 RB, IL-17 RH1, IL-17ER, IL17RB

Entrez Gene IDs

55540 (Human); 50905 (Mouse)

Gene Symbol

IL17RB

UniProt

Additional IL-17RB Products

Product Documents for Mouse IL-17RB Antibody

Certificate of Analysis

To download a Certificate of Analysis, please enter a lot number in the search box below.

Note: Certificate of Analysis not available for kit components.

Product Specific Notices for Mouse IL-17RB Antibody

For research use only

Loading...
Loading...
Loading...
Loading...