Skip to main content

Key Product Details

Species Reactivity

Validated:

Mouse

Cited:

Human, Mouse, Transgenic Mouse

Applications

Validated:

Immunohistochemistry, Western Blot, Simple Western

Cited:

Immunohistochemistry, Western Blot, Flow Cytometry, Immunofluorescence, Immunocytochemistry, Immunoprecipitation

Label

Unconjugated

Antibody Source

Polyclonal Goat IgG

Product Specifications

Immunogen

Mouse myeloma cell line NS0-derived recombinant mouse EGFR
Leu25-Ser647
Accession # Q9EP98

Specificity

Detects mouse EGFR in direct ELISAs and Western blots. In direct ELISAs, approximately 20% cross-reactivity with recombinant human (rh) EGFR and less than 5% cross-reactivity with rhErbB2, rhErbB3, and rhErbB4 is observed.

Clonality

Polyclonal

Host

Goat

Isotype

IgG

Scientific Data Images for Mouse EGFR Antibody

Detection of Human EGFR antibody by Western Blot.

Detection of Human EGFR by Western Blot.

Western blot shows lysates of HeLa human cervical epithelial carcinoma cell line and MDA-MB-231 human breast cancer cell line. PVDF membrane was probed with 0.25 µg/mL of Goat Anti-Mouse EGFR Antigen Affinity-purified Polyclonal Antibody (Catalog # AF1280) followed by HRP-conjugated Anti-Goat IgG Secondary Antibody (Catalog # HAF019). A specific band was detected for EGFR at approximately 170 kDa (as indicated). This experiment was conducted under reducing conditions and using Immunoblot Buffer Group 1.
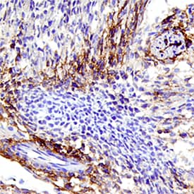
EGFR antibody in Mouse Embryo by Immunohistochemistry (IHC-Fr).

EGFR in Mouse Embryo.

EGFR was detected in immersion fixed frozen sections of mouse embryo (13 d.p.c.) using Goat Anti-Mouse EGFR Antigen Affinity-purified Polyclonal Antibody (Catalog # AF1280) at 15 µg/mL overnight at 4 °C. Tissue was stained using the Anti-Goat HRP-DAB Cell & Tissue Staining Kit (brown; Catalog # CTS008) and counterstained with hematoxylin (blue). Specific staining was localized to developing muscle. View our protocol for Chromogenic IHC Staining of Frozen Tissue Sections.
Detection of Human EGFR antibody by Simple WesternTM.

Detection of Human EGFR by Simple WesternTM.

Simple Western lane view shows lysates of HeLa human cervical epithelial carcinoma cell line and MDA-MB-231 human breast cancer cell line, loaded at 0.2 mg/mL. A specific band was detected for EGFR at approximately 180-191 kDa (as indicated) using 2.5 µg/mL of Goat Anti-Mouse EGFR Antigen Affinity-purified Polyclonal Antibody (Catalog # AF1280) followed by 1:50 dilution of HRP-conjugated Anti-Goat IgG Secondary Antibody (Catalog # HAF109). This experiment was conducted under reducing conditions and using the 12-230 kDa separation system.

Applications for Mouse EGFR Antibody

Application
Recommended Usage

Immunohistochemistry

5-15 µg/mL
Sample: Immersion fixed frozen sections of mouse embryo (13 d.p.c.)

Simple Western

2.5 µg/mL
Sample: HeLa human cervical epithelial carcinoma cell line and MDA‑MB‑231 human breast cancer cell line

Western Blot

0.25 µg/mL
Sample: HeLa human cervical epithelial carcinoma cell line and MDA‑MB‑231 human breast cancer cell line

Reviewed Applications

Read 2 reviews rated 5 using AF1280 in the following applications:

Formulation, Preparation, and Storage

Purification

Antigen Affinity-purified

Reconstitution

Reconstitute at 0.2 mg/mL in sterile PBS. For liquid material, refer to CoA for concentration.

Reconstitution Buffer Available:
Size / Price
Qty
Loading...

Formulation

Lyophilized from a 0.2 μm filtered solution in PBS with Trehalose. *Small pack size (SP) is supplied either lyophilized or as a 0.2 µm filtered solution in PBS.

Shipping

Lyophilized product is shipped at ambient temperature. Liquid small pack size (-SP) is shipped with polar packs. Upon receipt, store immediately at the temperature recommended below.

Stability & Storage

Use a manual defrost freezer and avoid repeated freeze-thaw cycles.
  • 12 months from date of receipt, -20 to -70 °C as supplied.
  • 1 month, 2 to 8 °C under sterile conditions after reconstitution.
  • 6 months, -20 to -70 °C under sterile conditions after reconstitution.

Background: EGFR

The EGFR subfamily of receptor tyrosine kinases comprises four members: EGFR (also known as Her1, ErbB1, or ErbB), ErbB2 (Neu, Her2), ErbB3 (Her3), and ErbB4 (Her4). All family members are type I transmembrane glycoproteins. They contain an extracellular ligand binding domain containing two cysteine-rich domains and a cytoplasmic domain containing a membrane-proximal tyrosine kinase domain followed by multiple tyrosine autophosphorylation sites (1, 2). The mouse EGFR cDNA encodes a 1210 amino acid (aa) precursor with a 24 aa signal peptide, a 623 aa extracellular domain (ECD), a 23 aa transmembrane segment, and a 540 aa cytoplasmic domain (3). Soluble receptors consisting of the extracellular ligand binding domain are generated by alternate splicing in human and mouse (4-6). Within the ECD, mouse EGFR shares 88% and 93% aa sequence identity with human and rat EGFR, respectively. It shares 44-48% aa sequence identity with the ECD of mouse ErbB2, ErbB3, and ErbB4. EGFR binds a subset of the EGF family ligands, including EGF, amphiregulin, TGF-alpha, betacellulin, epiregulin, HB-EGF, and epigen (1, 2). Ligand binding induces EGFR homodimerization as well as heterodimerization with ErbB2, resulting in kinase activation, heterodimerization tyrosine phosphorylation and cell signaling (7-11). EGFR can also be recruited to form heterodimers with the ligand-activated ErbB3 or ErbB4. EGFR signaling regulates multiple biological functions including cell proliferation, differentiation, motility, and apoptosis (12, 13). EGFR is over-expressed in a wide variety of tumors and is the target of several anti-cancer drugs (14).

References

  1. Singh, A.B. and R.C. Harris (2005) Cell. Signal. 17:1183.
  2. Shilo, B.Z. (2005) Development 132:4017.
  3. Avivi, A. et al. (1991) Oncogene 6:673.
  4. Reiter, J.L. and N.J. Maihle (1996) Nucleic Acids Res. 24:4050.
  5. Reiter J.L. et al. (2001) Genomics 71:1.
  6. Xu, Y.H. et al. (1984) Nature 309:806.
  7. Graus-Porta, D. et al. (1997) EMBO J. 16:1647.
  8. Yarden, Y. et al. (1987) Biochemistry 26:1434.
  9. Burgess, A.W. et al. (2003) Mol. Cell 12:541.
  10. Lemmon, M.A. et al. (1997) EMBO J. 16:281.
  11. Cohen, S. et al. (1982) J. Biol. Chem. 257:1523.
  12. Sibilia, M. and E.F. Wagner (1995) Science 269:234.
  13. Miettinen, P.J. et al. (1995) Nature 376:337.
  14. Roskoski Jr., R. (2004) Biochem. Biophys. Res. Commun. 319:1.

Long Name

Epidermal Growth Factor Receptor

Alternate Names

EGF R, ErbB, ErbB1, HER-1

Entrez Gene IDs

1956 (Human); 13649 (Mouse); 24329 (Rat); 102138724 (Cynomolgus Monkey)

Gene Symbol

EGFR

UniProt

Additional EGFR Products

Product Documents for Mouse EGFR Antibody

Certificate of Analysis

To download a Certificate of Analysis, please enter a lot number in the search box below.

Note: Certificate of Analysis not available for kit components.

Product Specific Notices for Mouse EGFR Antibody

For research use only

Loading...
Loading...
Loading...
Loading...