Skip to main content

Mouse CXCL2/MIP-2 Antibody

R&D Systems, part of Bio-Techne | Catalog # AF-452-NA

R&D Systems, part of Bio-Techne

Key Product Details

Species Reactivity

Validated:

Mouse

Cited:

Mouse, Transgenic Mouse

Applications

Validated:

Immunohistochemistry, Neutralization, Immunocytochemistry

Cited:

Immunohistochemistry, Immunohistochemistry-Paraffin, Immunohistochemistry-Frozen, Western Blot, Neutralization, Flow Cytometry, Immunocytochemistry, Bioassay, In vivo assay, Functional Assay

Label

Unconjugated

Antibody Source

Polyclonal Goat IgG

Product Specifications

Immunogen

E. coli-derived recombinant mouse CXCL2/MIP-2
Ala28-Asn100
Accession # P10889

Specificity

Detects mouse CXCL2/MIP-2 in direct ELISAs and Western blots. In direct ELISAs, less than 10% cross-reactivity with recombinant human (rh) GRO beta, recombinant mouse (rm) GRO gamma, rmKC and rmLIX is observed.

Clonality

Polyclonal

Host

Goat

Isotype

IgG

Endotoxin Level

<0.10 EU per 1 μg of the antibody by the LAL method.

Scientific Data Images for Mouse CXCL2/MIP-2 Antibody

Chemotaxis Induced by CXCL2/MIP-2 and Neutral-ization by Mouse CXCL2/ MIP-2 Antibody.

Chemotaxis Induced by CXCL2/MIP-2 and Neutral-ization by Mouse CXCL2/ MIP-2 Antibody.

Recombinant Mouse CXCL2/MIP-2 (452-M2) chemoattracts the BaF3 mouse pro-B cell line transfected with human CXCR2 in a dose-dependent manner (orange line). The amount of cells that migrated through to the lower chemotaxis chamber was measured by Resazurin (AR002). Chemotaxis elicited by Recombinant Mouse CXCL2/MIP-2 (2 ng/mL) is neutralized (green line) by increasing concentrations of Goat Anti-Mouse CXCL2/MIP-2 Antigen Affinity-purified Polyclonal Antibody (Catalog # AF-452-NA). The ND50 is typically 0.015-0.075 µg/mL.
CXCL2/MIP-2 antibody in Mouse Splenocytes by Immunocytochemistry (ICC).

CXCL2/MIP‑2 in Mouse Splenocytes.

CXCL2/MIP-2 was detected in immersion fixed mouse splenocytes stimulated with LPS and monensin using Goat Anti-Mouse CXCL2/MIP-2 Antigen Affinity-purified Polyclonal Antibody (Catalog # AF-452-NA) at 10 µg/mL for 3 hours at room temperature. Cells were stained using the NorthernLights™ 557-conjugated Anti-Goat IgG Secondary Antibody (red; NL001) and counterstained with DAPI (blue). Specific staining was localized to cytoplasm. View our protocol for Fluorescent ICC Staining of Non-adherent Cells.

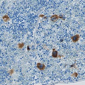
Detection of CXCL2/GRO beta/MIP-2/CINC-3 in Mouse Thymus

CXCL2/GRO beta/MIP-2/CINC-3 was detected in immersion fixed paraffin-embedded sections of mouse thymus using Goat Anti-Mouse CXCL2/GRO beta/MIP-2/CINC-3 Antigen Affinity-purified Polyclonal Antibody (Catalog # AF-452-NA) at 15 µg/ml for 1 hour at room temperature followed by incubation with the Anti-Goat IgG VisUCyte™ HRP Polymer Antibody (Catalog # VC004). Before incubation with the primary antibody, tissue was subjected to heat-induced epitope retrieval using VisUCyte Antigen Retrieval Reagent-Basic (Catalog # VCTS021). Tissue was stained using DAB (brown) and counterstained with hematoxylin (blue). Specific staining was localized to cytoplasm in lymphocytes. View our protocol for IHC Staining with VisUCyte HRP Polymer Detection Reagents.

Applications for Mouse CXCL2/MIP-2 Antibody

Application
Recommended Usage

Immunocytochemistry

5-15 µg/mL
Sample: Immersion fixed mouse splenocytes stimulated with LPS and monensin

Immunohistochemistry

5-15 µg/mL
Sample: Perfusion fixed frozen sections of mouse thymus and immersion fixed paraffin-embedded sections of mouse thymus.

Neutralization

Measured by its ability to neutralize CXCL2/MIP-2-induced chemotaxis in the BaF3 mouse pro‑B cell line transfected with human CXCR2. The Neutralization Dose (ND50) is typically 0.015-0.075 µg/mL in the presence of 2 ng/mL Recombinant Mouse CXCL2/MIP-2.

Formulation, Preparation, and Storage

Purification

Antigen Affinity-purified

Reconstitution

Reconstitute at 0.2 mg/mL in sterile PBS. For liquid material, refer to CoA for concentration.

Reconstitution Buffer Available:
Size / Price
Qty
Loading...

Formulation

Lyophilized from a 0.2 μm filtered solution in PBS with Trehalose. *Small pack size (SP) is supplied either lyophilized or as a 0.2 µm filtered solution in PBS.

Shipping

Lyophilized product is shipped at ambient temperature. Liquid small pack size (-SP) is shipped with polar packs. Upon receipt, store immediately at the temperature recommended below.

Stability & Storage

Use a manual defrost freezer and avoid repeated freeze-thaw cycles.
  • 12 months from date of receipt, -20 to -70 °C as supplied.
  • 1 month, 2 to 8 °C under sterile conditions after reconstitution.
  • 6 months, -20 to -70 °C under sterile conditions after reconstitution.

Background: CXCL2/GRO beta/MIP-2/CINC-3

Macrophage Inflammatory Protein-2 (MIP-2) was originally identified as a heparin-binding protein secreted from a murine macrophage cell line in response to endotoxin stimulation. Based on its protein and DNA sequences, MIP-2 is a member of the alpha (C-X-C) subfamily of chemokines.

MIP-2 cDNA encodes a 100 amino acid residue precursor protein from which the amino-terminal 27 amino acid residues are cleaved to generate the mature MIP-2. The protein sequence of murine MIP-2 shows approximately 63% identity to that of murine KC, another murine alpha chemokine whose expression is induced by PDGF. In addition, the protein sequence of MIP-2 is also 60% identical to human GRO beta and GRO gamma. It has been suggested that mouse KC and MIP-2 are the homologs of the human GROs and rat CINCs.

Similarly to other alpha chemokines, murine MIP-2 is a potent neutrophil attractant and activator. MIP-2 and KC can bind the murine interleukin 8 type B receptor homologue with high affinity. The expression of MIP-2 was found to be associated with neutrophil influx in pulmonary inflammation and glomerulonephritis, suggesting that MIP-2 may contribute to the pathogenesis of inflammatory diseases.

Alternate Names

CINC-3, CINC3, GRO beta, MGSA-beta, MIP-2

Entrez Gene IDs

2920 (Human); 20310 (Mouse); 114105 (Rat)

Gene Symbol

CXCL2

UniProt

Additional CXCL2/GRO beta/MIP-2/CINC-3 Products

Product Documents for Mouse CXCL2/MIP-2 Antibody

Certificate of Analysis

To download a Certificate of Analysis, please enter a lot number in the search box below.

Note: Certificate of Analysis not available for kit components.

Product Specific Notices for Mouse CXCL2/MIP-2 Antibody

For research use only

Loading...
Loading...
Loading...
Loading...