Skip to main content

Mouse CXCL2/GRO beta/MIP-2/CINC-3 Biotinylated Antibody

R&D Systems, part of Bio-Techne | Catalog # BAF452

R&D Systems, part of Bio-Techne

Key Product Details

Species Reactivity

Validated:

Mouse

Cited:

Mouse

Applications

Validated:

Immunohistochemistry, Western Blot, ELISA Detection (Matched Antibody Pair), Immunocytochemistry

Cited:

ELISA Detection, ELISA Development, ELISA Development (Detection)

Label

Biotin

Antibody Source

Polyclonal Goat IgG

Product Specifications

Immunogen

E. coli-derived recombinant mouse CXCL2/MIP-2 (R&D Systems, Catalog # 452-M2)
Ala28-Asn100
Accession # P10889

Specificity

Detects mouse CXCL2/MIP-2 in ELISAs and Western blots. In sandwich immunoassays, less than 0.05% cross-reactivity with recombinant human (rh) GRO beta, rhGRO gamma, recombinant mouse (rm) C10, rmMIP-1 alpha, rmMIP-1 beta, rhRANTES, and rmKC is observed.

Clonality

Polyclonal

Host

Goat

Isotype

IgG

Scientific Data Images for Mouse CXCL2/GRO beta/MIP-2/CINC-3 Biotinylated Antibody

CXCL2/GRO beta/MIP-2/CINC-3 antibody in Mouse Splenocytes by Immunocytochemistry (ICC).

CXCL2/GRO beta/MIP‑2/CINC‑3 in Mouse Splenocytes.

CXCL2/GRO beta/MIP-2/CINC-3 was detected in immersion fixed mouse splenocytes stimulated with LPS and monensin using Mouse CXCL2/GRO beta/MIP-2/CINC-3 Biotinylated Antigen Affinity-purified Polyclonal Antibody (Catalog # BAF452) at 10 µg/mL for 3 hours at room temperature. Cells were stained using the NorthernLights™ 557-conjugated Streptavidin (red; Catalog # NL999) and counterstained with DAPI (blue). Specific staining was localized to cytoplasm. View our protocol for Fluorescent ICC Staining of Non-adherent Cells.
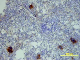
CXCL2/GRO beta/MIP-2/CINC-3 antibody in Mouse Spleen by Immunohistochemistry (IHC-Fr).

CXCL2/GRO beta/MIP‑2/CINC‑3 in Mouse Spleen.

CXCL2/GRO beta/MIP-2/CINC-3 was detected in immersion fixed frozen sections of mouse spleen using Mouse CXCL2/GRO beta/MIP-2/CINC-3 Biotinylated Antigen Affinity-purified Polyclonal Antibody (Catalog # BAF452) at 15 µg/mL overnight at 4 °C. Tissue was stained using the Anti-Goat HRP-DAB Cell & Tissue Staining Kit (brown; Catalog # CTS008) and counterstained with hematoxylin (blue). View our protocol for Chromogenic IHC Staining of Frozen Tissue Sections.

Applications for Mouse CXCL2/GRO beta/MIP-2/CINC-3 Biotinylated Antibody

Application
Recommended Usage

Immunocytochemistry

5-15 µg/mL
Sample: Immersion fixed mouse splenocytes stimulated with LPS and monensin

Immunohistochemistry

5-15 µg/mL
Sample: Perfusion fixed frozen sections of mouse thymus and immersion fixed frozen sections of mouse spleen

Western Blot

0.1 µg/mL
Sample: Recombinant Mouse CXCL2/GRO beta/MIP-2/CINC-3 (Catalog # 452-M2)

Mouse CXCL2/MIP-2 Sandwich Immunoassay

ELISA Detection (Matched Antibody Pair)
Recommended Concentration: 0.1-0.4 µg/mL
Use in combination with these reagents:
  • Capture Reagent: Mouse CXCL2/GRO beta/MIP-2/CINC-3 Antibody (Catalog # MAB452)
  • Standard: Recombinant Mouse CXCL2/MIP-2 Protein (Catalog # 452-M2)
Please Note: Optimal dilutions of this antibody should be experimentally determined.

Reviewed Applications

Read 2 reviews rated 4 using BAF452 in the following applications:

Formulation, Preparation, and Storage

Purification

Antigen Affinity-purified

Reconstitution

Reconstitute at 0.2 mg/mL in sterile PBS.

Reconstitution Buffer Available:
Size / Price
Qty
Loading...

Formulation

Lyophilized from a 0.2 μm filtered solution in PBS with BSA as a carrier protein.

Shipping

The product is shipped at ambient temperature. Upon receipt, store it immediately at the temperature recommended below.

Stability & Storage

Use a manual defrost freezer and avoid repeated freeze-thaw cycles.
  • 12 months from date of receipt, -20 to -70 °C as supplied.
  • 1 month, 2 to 8 °C under sterile conditions after reconstitution.
  • 6 months, -20 to -70 °C under sterile conditions after reconstitution.

Background: CXCL2/GRO beta/MIP-2/CINC-3

Macrophage Inflammatory Protein-2 (MIP-2) was originally identified as a heparin-binding protein secreted from a murine macrophage cell line in response to endotoxin stimulation. Based on its protein and DNA sequences, MIP-2 is a member of the alpha (C-X-C) subfamily of chemokines.

MIP-2 cDNA encodes a 100 amino acid residue precursor protein from which the amino-terminal 27 amino acid residues are cleaved to generate the mature MIP-2. The protein sequence of murine MIP-2 shows approximately 63% identity to that of murine KC, another murine alpha chemokine whose expression is induced by PDGF. In addition, the protein sequence of MIP-2 is also 60% identical to human GRO beta and GRO gamma. It has been suggested that mouse KC and MIP-2 are the homologs of the human GROs and rat CINCs.

Similarly to other alpha chemokines, murine MIP-2 is a potent neutrophil attractant and activator. MIP-2 and KC can bind the murine interleukin 8 type B receptor homologue with high affinity. The expression of MIP-2 was found to be associated with neutrophil influx in pulmonary inflammation and glomerulonephritis, suggesting that MIP-2 may contribute to the pathogenesis of inflammatory diseases.

Alternate Names

CINC-3, CINC3, GRO beta, MGSA-beta, MIP-2

Entrez Gene IDs

2920 (Human); 20310 (Mouse); 114105 (Rat)

Gene Symbol

CXCL2

UniProt

Additional CXCL2/GRO beta/MIP-2/CINC-3 Products

Product Documents for Mouse CXCL2/GRO beta/MIP-2/CINC-3 Biotinylated Antibody

Certificate of Analysis

To download a Certificate of Analysis, please enter a lot number in the search box below.

Note: Certificate of Analysis not available for kit components.

Product Specific Notices for Mouse CXCL2/GRO beta/MIP-2/CINC-3 Biotinylated Antibody

For research use only

Loading...
Loading...
Loading...
Loading...