Skip to main content

Key Product Details

Species Reactivity

Human

Applications

Immunohistochemistry, Western Blot, Immunocytochemistry

Label

Unconjugated

Antibody Source

Polyclonal Goat IgG

Product Specifications

Immunogen

Mouse myeloma cell line NS0-derived recombinant human ZAG
Gln21-Ser298
Accession # Q5XKQ4

Specificity

Detects human ZAG in direct ELISAs and Western blots.

Clonality

Polyclonal

Host

Goat

Isotype

IgG

Scientific Data Images for Human ZAG Antibody

Detection of Human ZAG antibody by Western Blot.

Detection of Human ZAG by Western Blot.

Western blot shows lysates of human prostate tissue. PVDF membrane was probed with 1 µg/mL of Goat Anti-Human ZAG Antigen Affinity-purified Polyclonal Antibody (Catalog # AF4764) followed by HRP-conjugated Anti-Goat IgG Secondary Antibody (Catalog # HAF019). A specific band was detected for ZAG at approximately 40 kDa (as indicated). This experiment was conducted under reducing conditions and using Immunoblot Buffer Group 8.
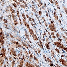
ZAG antibody in Human Breast Cancer Tissue by Immunohistochemistry (IHC-P).

ZAG in Human Breast Cancer Tissue.

ZAG was detected in immersion fixed paraffin-embedded sections of human breast cancer tissue using Goat Anti-Human ZAG Antigen Affinity-purified Polyclonal Antibody (Catalog # AF4764) at 10 µg/mL overnight at 4 °C. Before incubation with the primary antibody, tissue was subjected to heat-induced epitope retrieval using Antigen Retrieval Reagent-Basic (Catalog # CTS013). Tissue was stained using the Anti-Goat HRP-DAB Cell & Tissue Staining Kit (brown; Catalog # CTS008) and counterstained with hematoxylin (blue). Specific staining was localized to epithelial cells. View our protocol for Chromogenic IHC Staining of Paraffin-embedded Tissue Sections.
ZAG antibody in Human Mesenchymal Stem Cells by Immunocytochemistry (ICC).

ZAG in Human Mesenchymal Stem Cells.

ZAG was detected in immersion fixed human mesenchymal stem cells differentiated into adipocytes using Goat Anti-Human ZAG Antigen Affinity-purified Polyclonal Antibody (Catalog # AF4764) at 10 µg/mL for 3 hours at room temperature. Cells were differentiated using using StemXVivo Osteogenic/Adipogenic Base Media (Catalog # CCM007) and StemXVivo Adipogenic Supplement (100X) (Catalog # CCM011). Cells were stained using the NorthernLights™ 557-conjugated Anti-Goat IgG Secondary Antibody (red; Catalog # NL001) and counterstained with DAPI (blue). Specific staining was localized to cytoplasm. View our protocol for Fluorescent ICC Staining of Stem Cells on Coverslips.

Applications for Human ZAG Antibody

Application
Recommended Usage

Immunocytochemistry

5-15 µg/mL
Sample: Immersion fixed human mesenchymal stem cells differentiated into adipocytes using StemXVivo Osteogenic/Adipogenic Base Media (Catalog # CCM007) and StemXVivo Adipogenic Supplement (100X) (Catalog # CCM011)

Immunohistochemistry

5-15 µg/mL
Sample: Immersion fixed paraffin-embedded sections of human breast cancer tissue

Western Blot

1 µg/mL
Sample: Human prostate tissue

Formulation, Preparation, and Storage

Purification

Antigen Affinity-purified

Reconstitution

Reconstitute at 0.2 mg/mL in sterile PBS. For liquid material, refer to CoA for concentration.

Reconstitution Buffer Available:
Size / Price
Qty
Loading...

Formulation

Lyophilized from a 0.2 μm filtered solution in PBS with Trehalose. *Small pack size (SP) is supplied either lyophilized or as a 0.2 µm filtered solution in PBS.

Shipping

Lyophilized product is shipped at ambient temperature. Liquid small pack size (-SP) is shipped with polar packs. Upon receipt, store immediately at the temperature recommended below.

Stability & Storage

Use a manual defrost freezer and avoid repeated freeze-thaw cycles.
  • 12 months from date of receipt, -20 to -70 °C as supplied.
  • 1 month, 2 to 8 °C under sterile conditions after reconstitution.
  • 6 months, -20 to -70 °C under sterile conditions after reconstitution.

Background: ZAG

ZAG (zinc-alpha 2-glycoprotein; also ZA2G) is a 40 kDa, secreted member of the MHC class I family of proteins. It is produced by adipocytes and various epithelial cells that generate exocrine-type secretions. ZAG is reported to stimulate lipid breakdown and thus may play a role in lipid homeostasis. Mature human ZAG is 278 amino acids (aa) in length. It contains one MHC class I antigen region (aa 26‑201) and a C2‑type Ig‑like domain (aa 207‑292). Two alternate splice forms exist; one shows a 66 aa substitution for the C‑terminal 30 aa, and a second shows a nine Lys substitution for aa 151‑298. Mature human ZAG is 60% aa identical to mouse ZAG.

Long Name

Zinc alpha-2-Glycoprotein

Alternate Names

AZGP1, ZA2G, ZNGP1

Entrez Gene IDs

563 (Human); 12007 (Mouse); 25294 (Rat)

Gene Symbol

AZGP1

UniProt

Additional ZAG Products

Product Documents for Human ZAG Antibody

Certificate of Analysis

To download a Certificate of Analysis, please enter a lot number in the search box below.

Note: Certificate of Analysis not available for kit components.

Product Specific Notices for Human ZAG Antibody

For research use only

Loading...
Loading...
Loading...
Loading...