Skip to main content

Key Product Details

Validated by

Biological Validation

Species Reactivity

Validated:

Human

Cited:

Human

Applications

Validated:

Immunohistochemistry, Western Blot, Neutralization, Immunocytochemistry

Cited:

Immunohistochemistry, Western Blot, Neutralization, Flow Cytometry, IHC-Pr

Label

Unconjugated

Antibody Source

Polyclonal Goat IgG

Product Specifications

Immunogen

Mouse myeloma cell line NS0-derived recombinant human TSLP R
Val30-Phe232
Accession # Q9HC73

Specificity

Detects human TSLP R in direct ELISAs and Western blots.

Clonality

Polyclonal

Host

Goat

Isotype

IgG

Endotoxin Level

<0.100 EU per 1 µg of the antibody by the LAL method.

Scientific Data Images for Human TSLPR Antibody

Detection of Human TSLP R antibody by Western Blot.

Detection of Human TSLP R by Western Blot.

Western blot shows lysates of NS0 mouse myeloma cell line either mock transfected or transfected with human TSLP R. PVDF membrane was probed with 0.2 µg/mL of Goat Anti-Human TSLP R Antigen Affinity-purified Polyclonal Antibody (Catalog # AF981) followed by HRP-conjugated Anti-Goat IgG Secondary Antibody (Catalog # HAF017). Specific bands were detected for TSLP R at approximately 45-60 kDa (as indicated). This experiment was conducted under reducing conditions and using Immunoblot Buffer Group 1.
Detection of Human TSLP R antibody by Western Blot.

Detection of Human TSLP R by Western Blot.

Western blot shows lysates of human liver tissue. PVDF membrane was probed with 1 µg/mL of Goat Anti-Human TSLP R Antigen Affinity-purified Polyclonal Antibody (Catalog # AF981) followed by HRP-conjugated Anti-Goat IgG Secondary Antibody (Catalog # HAF019). A specific band was detected for TSLP R at approximately 50 kDa (as indicated). This experiment was conducted under reducing conditions and using Immunoblot Buffer Group 8.
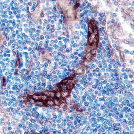
TSLP R antibody in Human Lymph Node by Immunohistochemistry (IHC-P).

TSLP R in Human Lymph Node.

TSLP R was detected in immersion fixed paraffin-embedded sections of human lymph node using Goat Anti-Human TSLP R Antigen Affinity-purified Polyclonal Antibody (Catalog # AF981) at 5 µg/mL overnight at 4 °C. Tissue was stained using the Anti-Goat HRP-DAB Cell & Tissue Staining Kit (brown; Catalog # CTS008) and counter-stained with hematoxylin (blue). Specific staining was localized to the plasma membrane. View our protocol for Chromogenic IHC Staining of Paraffin-embedded Tissue Sections.

Applications for Human TSLPR Antibody

Application
Recommended Usage

Immunocytochemistry

5-25 µg/mL
Sample: Immersion fixed THP‑1 human acute monocytic leukemia cell line treated with PMA

Immunohistochemistry

5-15 µg/mL
Sample: Immersion fixed paraffin-embedded sections of human lymph node 

Western Blot

0.2-1 µg/mL
Sample: Human liver tissue, NS0 mouse myeloma cell line either mock transfected or transfected with human TSLP R

Neutralization

Measured by its ability to neutralize TSLP-induced proliferation in the BaF3 mouse pro‑B cell line co-transfected with human IL‑7 R alpha and TSLP R. The Neutralization Dose (ND50) is typically 1-5 µg/mL in the presence of 0.3 ng/mL Recombinant Human TSLP.

Reviewed Applications

Read 2 reviews rated 4 using AF981 in the following applications:

Formulation, Preparation, and Storage

Purification

Antigen Affinity-purified

Reconstitution

Reconstitute at 0.2 mg/mL in sterile PBS. For liquid material, refer to CoA for concentration.

Reconstitution Buffer Available:
Size / Price
Qty
Loading...

Formulation

Lyophilized from a 0.2 µm filtered solution in PBS with Trehalose. See Certificate of Analysis for details.
*Small pack size (-SP) is supplied either lyophilized or as a 0.2 µm filtered solution in PBS.

Shipping

Lyophilized product is shipped at ambient temperature. Liquid small pack size (-SP) is shipped with polar packs. Upon receipt, store immediately at the temperature recommended below.

Stability & Storage

Store the unopened product at -20 to -70 °C. Use a manual defrost freezer and avoid repeated freeze-thaw cycles. Do not use past expiration date.

Background: TSLPR

TSLP R, also named Delta (1) and CRLM-2 (2) (cytokine receptor-like module-2), was originally cloned as a novel type 1 cytokine receptor with similarity to the common gamma chain. It was subsequently identified to be a subunit of the cellular receptor for the IL-7-like cytokine TSLP and termed TSLP R (3). The human TSLP R cDNA encodes a 371 amino acid (aa) residue type 1 membrane protein with a 22 aa residue signal peptide, a 210 aa residue extracellular domain, a 20 aa residue transmembrane domain, and a 119 aa residue cytoplasmic domain (4, 5). The extracellular region contains two fibronectin type III-like domains and a WSXWS‑like motif. The cytoplasmic domain contains a membrane-proximal box 1 motif that is known to be important for association with JAKs (4). Human TSLP R displays 39% identity to mouse TSLP R and 24% identity to the common gamma receptor (4). An alternatively spliced mRNA variant encoding a soluble TSLP R has also been reported in mouse (2). TSLP R expression is ubiquitous in the immune and hematopoietic cells, but is up-regulated in Th2-skewed cells. Cells expressing TSLP R alone bind TSLP with low affinity. Co-expression of TSLP R and IL-7 R alpha is required for high-affinity TSLP binding and signal transduction (3-6). The TSLP R and IL-7 R alpha are coexpressed primarily on monocytes and dendritic cells and at lower levels in lymphoid cells. TSLP has been shown to induce the release of T cell‑attracting chemokines from monocytes and enhance the maturation of CD11c+ dendritic cells (5).

References

  1. Fujio, K. et al. (2000) Blood 95:2204.
  2. Hiroyama, T. et al. (2000) Biochem. Biophys. Res. Commun. 272:224.
  3. Park, L.S. et al. (2000) J. Exp. Med. 192:659.
  4. Tonozuka, Y. et al. (2001) Cytogenet. Cell Genet. 93:23.
  5. Reche, P.A. et al. (2001) J. Immunol. 167:336.
  6. Pandey, A. et al. (2000) Nat. Immunol. 1:59.

Long Name

Thymic Stromal Lymphopoietin Receptor

Alternate Names

CRL2, CRLF2, CRLM-2, PCOR1, TSLP R

Entrez Gene IDs

64109 (Human); 57914 (Mouse); 171499 (Rat)

Gene Symbol

CRLF2

UniProt

Additional TSLPR Products

Product Documents for Human TSLPR Antibody

Certificate of Analysis

To download a Certificate of Analysis, please enter a lot number in the search box below.

Note: Certificate of Analysis not available for kit components.

Product Specific Notices for Human TSLPR Antibody

For research use only

Loading...
Loading...
Loading...
Loading...