Skip to main content

Key Product Details

Species Reactivity

Validated:

Human

Cited:

Human, Mouse

Applications

Validated:

Immunohistochemistry, Western Blot, Neutralization, Simple Western

Cited:

Immunohistochemistry, Immunohistochemistry-Paraffin, Immunohistochemistry-Frozen, Western Blot, Neutralization, Flow Cytometry, Immunocytochemistry, Immunoprecipitation, Cell Culture

Label

Unconjugated

Antibody Source

Polyclonal Goat IgG

Product Specifications

Immunogen

S. frugiperda insect ovarian cell line Sf 21-derived recombinant human ST2/IL-33 R
Lys19-Phe328
Accession # BAA02233

Specificity

Detects human ST2/IL-33 R in direct ELISAs and Western blots.

Clonality

Polyclonal

Host

Goat

Isotype

IgG

Endotoxin Level

<0.10 EU per 1 μg of the antibody by the LAL method.

Scientific Data Images for Human ST2/IL-33R Antibody

Detection of Human ST2/IL-33 R antibody by Western Blot.

Detection of Human ST2/IL-33 R by Western Blot.

Western blot shows lysates of human kidney tissue and human lung tissue. PVDF membrane was probed with 0.2 µg/mL of Goat Anti-Human ST2/IL-33 R Antigen Affinity-purified Polyclonal Antibody (Catalog # AF523) followed by HRP-conjugated Anti-Goat IgG Secondary Antibody (HAF017). A specific band was detected for ST2/IL-33 R at approximately 50 kDa (as indicated). This experiment was conducted under reducing conditions and using Immunoblot Buffer Group 1.
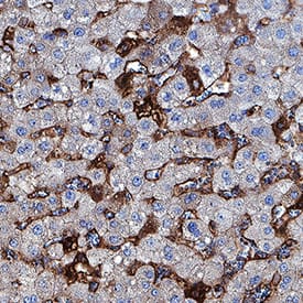
ST2/IL-33 R antibody in Human Liver by Immunohistochemistry (IHC-P).

ST2/IL-33 R in Human Liver.

ST2/IL-33 R was detected in immersion fixed paraffin-embedded sections of human liver using Goat Anti-Human ST2/IL-33 R Antigen Affinity-purified Polyclonal Antibody (Catalog # AF523) at 1.7 µg/mL for 1 hour at room temperature followed by incubation with the Anti-Goat IgG VisUCyte™ HRP Polymer Antibody (Catalog # (VC004). Before incubation with the primary antibody, tissue was subjected to heat-induced epitope retrieval using Antigen Retrieval Reagent-Basic (CTS013). Tissue was stained using DAB (brown) and counterstained with hematoxylin (blue). Specific staining was localized to cell membranes. View our protocol for IHC Staining with VisUCyte HRP Polymer Detection Reagents.
Detection of Human ST2/IL-33 R antibody by Simple WesternTM.

Detection of Human ST2/IL-33 R by Simple WesternTM.

Simple Western lane view shows lysates of human kidney tissue and human lung tissue, loaded at 0.2 mg/mL. A specific band was detected for ST2/IL-33 R at approximately 60 kDa (as indicated) using 2 µg/mL of Goat Anti-Human ST2/IL-33 R Antigen Affinity-purified Polyclonal Antibody (Catalog # AF523) followed by 1:50 dilution of HRP-conjugated Anti-Goat IgG Secondary Antibody (HAF109). This experiment was conducted under reducing conditions and using the 12-230 kDa separation system.

Applications for Human ST2/IL-33R Antibody

Application
Recommended Usage

Immunohistochemistry

1-15 µg/mL
Sample: Immersion fixed paraffin-embedded sections of human liver

Simple Western

2 µg/mL
Sample: Human kidney tissue and human lung tissue

Western Blot

0.2 µg/mL
Sample:   Human kidney tissue and human lung tissue

Neutralization

Measured by its ability to neutralize IL‑33-induced IFN-gamma secretion in Human Peripheral Blood Mononuclear cells (PBMC). Blom, L and Poulsen, LK (2012) JI 189:4331. The Neutralization Dose (ND50) is typically 0.1-0.6 μg/mL in the presence of 1 ng/mL Recombinant Human IL‑33.

Reviewed Applications

Read 1 review rated 5 using AF523 in the following applications:

Formulation, Preparation, and Storage

Purification

Antigen Affinity-purified

Reconstitution

Reconstitute at 0.2 mg/mL in sterile PBS. For liquid material, refer to CoA for concentration.

Reconstitution Buffer Available:
Size / Price
Qty
Loading...

Formulation

Lyophilized from a 0.2 μm filtered solution in PBS with Trehalose. See Certificate of Analysis for details.
*Small pack size (-SP) is supplied either lyophilized or as a 0.2 µm filtered solution in PBS.

Shipping

Lyophilized product is shipped at ambient temperature. Liquid small pack size (-SP) is shipped with polar packs. Upon receipt, store immediately at the temperature recommended below.

Stability & Storage

Use a manual defrost freezer and avoid repeated freeze-thaw cycles.
  • 12 months from date of receipt, -20 to -70 °C as supplied.
  • 1 month, 2 to 8 °C under sterile conditions after reconstitution.
  • 6 months, -20 to -70 °C under sterile conditions after reconstitution.

Background: ST2/IL-33R

ST2, also known as IL-33R, IL-1 R4 and T1, is an Interleukin-1 receptor family glycoprotein that contributes to Th2 immune responses (1, 2). Human ST2 consists of a 310 amino acid (aa) extracellular domain (ECD) with three Ig-like domains, a 21 aa transmembrane segment, and a 207 aa cytoplasmic domain with an intracellular TIR domain (3, 4). Alternate splicing of the 120 kDa human ST2 generates a soluble 60 kDa isoform that lacks the transmembrane and cytoplasmic regions as well as an isoform that additionally lacks the third Ig‑like domain (4). Within the ECD, human ST2 shares 68% and 64% aa sequence identity with mouse and rat ST2, respectively. ST2 is expressed on the surface of mast cells, activated Th2 cells, macrophages, and cardiac myocytes (5‑8). It binds IL-33, a cytokine that is upregulated by inflammation or mechanical strain in smooth muscle cells, airway epithelia, keratinocytes, and cardiac fibroblasts (5, 9). IL-33 binding induces the association of ST2 with IL-1R AcP, a shared signaling subunit that also associates with IL-1 RI and IL-1 R rp2 (1, 10, 11). In macrophages, ST2 interferes with signaling from IL-1 RI and TLR4 by sequestering the adaptor proteins MyD88 and Mal (7). In addition to its role in promoting mast cell and Th2 dependent inflammation, ST2 activation enhances antigen induced hypernociception and protects from atherosclerosis and cardiac hypertrophy (5, 12‑14). The soluble ST2 isoform is released by activated Th2 cells and strained cardiac myocytes and is elevated in the serum in allergic asthma (6, 8, 15). Soluble ST2 functions as a decoy receptor that blocks IL‑33's ability to signal through transmembrane ST2 (10, 13‑15).

References

  1. Barksby, H.E. et al. (2007) Clin. Exp. Immunol. 149:217.
  2. Gadina, M. and C.A. Jefferies (2007) Science STKE 2007:pe31.
  3. Tominaga, S. et al. (1992) Biochim. Biophys. Acta 1171:215.
  4. Li, H. et al. (2000) Genomics 67:284.
  5. Schmitz, J. et al. (2005) Immunity 23:479.
  6. Lecart, S. et al. (2002) Eur. J. Immunol. 32:2979.
  7. Brint, E.K. et al. (2004) Nat. Immunol. 5:373.
  8. Weinberg, E.O. et al. (2002) Circulation 106:2961.
  9. Sanada S. et al. (2007) J. Clin. Invest. 117:1538.
  10. Palmer, G. et al. (2008) Cytokine 42:358.
  11. Chackerian, A.A. et al. (2007) J. Immunol. 179:2551.
  12. Allakhverdi, Z. et al. (2007) J. Immunol. 179:2051.
  13. Verri Jr., W.A. et al. (2008) Proc. Natl. Acad. Sci. 105:2723.
  14. Miller, A.M. et al. (2008) J. Exp. Med. 205:339.
  15. Hayakawa, H. et al. (2007) J. Biol. Chem. 282:26369.

Long Name

Interleukin 33 Receptor

Alternate Names

DER4, Fit-1, IL-1 R4, IL-1R4, IL-1RL1, IL-33 R, IL-33R, IL1R4, IL33R, Ly84, ST2L, ST2V, T1

Entrez Gene IDs

9173 (Human); 17082 (Mouse)

Gene Symbol

IL1RL1

UniProt

Additional ST2/IL-33R Products

Product Documents for Human ST2/IL-33R Antibody

Certificate of Analysis

To download a Certificate of Analysis, please enter a lot number in the search box below.

Note: Certificate of Analysis not available for kit components.

Product Specific Notices for Human ST2/IL-33R Antibody

For research use only

Loading...
Loading...
Loading...
Loading...
Loading...