Skip to main content

Key Product Details

Validated by

Knockout/Knockdown

Species Reactivity

Validated:

Human

Cited:

Human, Mouse

Applications

Validated:

Immunohistochemistry, Western Blot, ELISA, Intracellular Staining by Flow Cytometry, Simple Western, CyTOF-ready

Cited:

Immunohistochemistry, Immunohistochemistry-Paraffin, Western Blot, Immunofluorescence, Immunocytochemistry, Immunocytochemistry/ Immunofluorescence, ELISA Development

Label

Unconjugated

Antibody Source

Polyclonal Goat IgG

Product Specifications

Immunogen

Mouse myeloma cell line NS0-derived recombinant human SPARC/Osteonectin
Ala18-Ile303
Accession # P09486

Specificity

Detects human SPARC/Osteonectin in direct ELISAs and Western blots. In direct ELISAs, approximately 25% cross-reactivity with recombinant mouse SPARC is observed, and less than 3% cross-reactivity with recombinant human SPARC L1 is observed.

Clonality

Polyclonal

Host

Goat

Isotype

IgG

Scientific Data Images for Human SPARC Antibody

Detection of SPARC in MG-63 cells by Flow Cytometry

MG-63 cells were stained with Goat Anti-Human SPARC Antigen Affinity-purified Polyclonal Antibody (Catalog # AF941, filled histogram) or isotype control antibody (Catalog # AB-108-C, open histogram) followed by Allophycocyanin-conjugated Anti-Goat IgG Secondary Antibody (Catalog # F0108). To facilitate intracellular staining, cells were fixed with Flow Cytometry Fixation Buffer (Catalog # FC004) and permeabilized with Flow Cytometry Permeabilization/Wash Buffer I (Catalog # FC005). View our protocol for Staining Intracellular Molecules.
Detection of Human SPARC antibody by Western Blot.

Detection of Human SPARC by Western Blot.

Western blot shows lysates of MG-63 human osteosarcoma cell line. PVDF membrane was probed with 2 µg/mL of Goat Anti-Human SPARC Antigen Affinity-purified Polyclonal Antibody (Catalog # AF941) followed by HRP-conjugated Anti-Goat IgG Secondary Antibody (HAF019). A specific band was detected for SPARC at approximately 43 kDa (as indicated). This experiment was conducted under reducing conditions and using Immunoblot Buffer Group 1.
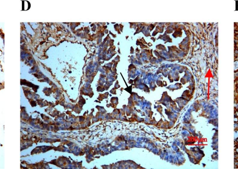
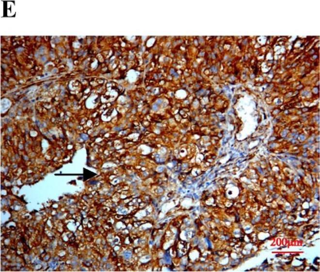
SPARC/Osteonectin antibody in Human Ovary by Immunohistochemistry (IHC-P).

SPARC/Osteonectin in Human Ovary.

SPARC/Osteonectin was detected in immersion fixed paraffin-embedded sections of human ovary using Goat Anti-Human SPARC/Osteonectin Antigen Affinity-purified Polyclonal Antibody (Catalog # AF941) at 3 µg/mL overnight at 4 °C. Tissue was stained using the Anti-Goat HRP-DAB Cell & Tissue Staining Kit (brown; CTS008) and counterstained with hematoxylin (blue). View our protocol for Chromogenic IHC Staining of Paraffin-embedded Tissue Sections.

Applications for Human SPARC Antibody

Application
Recommended Usage

CyTOF-ready

Ready to be labeled using established conjugation methods. No BSA or other carrier proteins that could interfere with conjugation.

ELISA

This antibody functions as an ELISA detection antibody when paired with Mouse Anti-Human SPARC Monoclonal Antibody (Catalog # MAB941).

This product is intended for assay development on various assay platforms requiring antibody pairs. We recommend the Human SPARC DuoSet ELISA Kit (Catalog # DY941-05) for convenient development of a sandwich ELISA or the Human SPARC Quantikine ELISA Kit (Catalog # DSP00) for a complete optimized ELISA.

Immunohistochemistry

5-15 µg/mL
Sample: Immersion fixed paraffin-embedded sections of human ovary, normal human liver, and human liver cancer tissues

Intracellular Staining by Flow Cytometry

0.25 µg/106 cells
Sample: MG‑63 human osteosarcoma cell line fixed with paraformaldehyde and permeabilized with saponin

Simple Western

20 µg/mL
Sample: MG‑63 human osteosarcoma cell line

Western Blot

2 µg/mL
Sample: MG‑63 human osteosarcoma cell line

Reviewed Applications

Read 4 reviews rated 4.8 using AF941 in the following applications:

Formulation, Preparation, and Storage

Purification

Antigen Affinity-purified

Reconstitution

Reconstitute at 0.2 mg/mL in sterile PBS. For liquid material, refer to CoA for concentration.

Reconstitution Buffer Available:
Size / Price
Qty
Loading...

Formulation

Lyophilized from a 0.2 μm filtered solution in PBS with Trehalose. See Certificate of Analysis for details.
*Small pack size (-SP) is supplied either lyophilized or as a 0.2 µm filtered solution in PBS.

Shipping

Lyophilized product is shipped at ambient temperature. Liquid small pack size (-SP) is shipped with polar packs. Upon receipt, store immediately at the temperature recommended below.

Stability & Storage

Use a manual defrost freezer and avoid repeated freeze-thaw cycles.
  • 12 months from date of receipt, -20 to -70 °C as supplied.
  • 1 month, 2 to 8 °C under sterile conditions after reconstitution.
  • 6 months, -20 to -70 °C under sterile conditions after reconstitution.

Background: SPARC

SPARC, an acronym for “secreted protein, acidic and rich in cysteine”, is also known as osteonectin or BM-40 (1-5). It is the founding member of a family of secreted matricellular proteins with similar domain structure. The 286 amino acid (aa), 43 kDa protein contains an N-terminal acidic region that binds calcium, a follistatin domain that contains Kazal-like sequences, and a C-terminal extracellular calcium (EC) binding domain with two EF-hand motifs (1-5). Crystal structure modeling shows that residues implicated in cell binding, inhibition of cell spreading, and disassembly of focal adhesions cluster on one face of SPARC, while a collagen binding epitope and an N-glycosylation site are opposite this face (6). SPARC is produced by fibroblasts, capillary endothelial cells, platelets and macrophages, especially in areas of tissue morphogenesis and remodeling (3, 7). SPARC shows context-specific effects, but generally inhibits adhesion, spreading and proliferation, and promotes collagen matrix formation (3-5). For endothelial cells, SPARC disrupts focal adhesions and binds and sequesters PDGF and VEGF (3-5). SPARC is abundantly expressed in bone, where it promotes osteoblast differentiation and inhibits adipogenesis (5, 8). SPARC is potentially cleaved by metalloproteinases, producing an angiogenic peptide that includes the copper-binding sequence KGHK (7). Paradoxically, SPARC is highly expressed in many tumor types undergoing an endothelial to mesenchymal transistion; its expression, however, mainly decreases the likelihood of metastasis and confers sensitivity to chemotherapy and radiation (4, 9-11). Stabilin-1, which is expressed on alternately activated macrophages, is the first SPARC receptor to be identified. It binds the SPARC EC domain and mediates endocytosis for degradation (12). Mature human SPARC shows 92%, 92%, 97%, 99%, 96%, and 85% aa identity with mouse, rat, canine, bovine, porcine, and chick SPARC, respectively.

References

  1. Lankat-Buttgereit, B. et al. (1988) FEBS Lett. 236:352.
  2. Sweetwyne, M.T. et al. (2004) J. Histochem. Cytochem. 52:723.
  3. Sage, H. et al. (1989) J. Cell Biol. 109:341.
  4. Framson, P.E. and E.H. Sage (2004) J. Cell. Biochem. 92:679.
  5. Alford, A.I. and K. D. Hankenson (2006) Bone 38:749.
  6. Hohenester, E et al. (1997) EMBO J. 16:3778.
  7. Sage, E.H. et al. (2003) J. Biol. Chem. 278:37849.
  8. Delany, A.M. et al. (2003) Endocrinology 144:2588.
  9. Robert, G. et al. (2006) Cancer Res. 66:7516.
  10. Koblinski, J.E. et al. (2005) Cancer Res. 65:7370.
  11. Tai, I.T. et al. (2005) J. Clin. Invest. 115:1492.
  12. Kzhyshkowska, J. et al. (2006) J. Immunol. 176:5825.

Long Name

Secreted Protein Acidic and Rich in Cysteine

Alternate Names

BM-40, Osteonectin

Entrez Gene IDs

6678 (Human); 20692 (Mouse)

Gene Symbol

SPARC

UniProt

Additional SPARC Products

Product Documents for Human SPARC Antibody

Certificate of Analysis

To download a Certificate of Analysis, please enter a lot number in the search box below.

Note: Certificate of Analysis not available for kit components.

Product Specific Notices for Human SPARC Antibody

For research use only

Loading...
Loading...
Loading...
Loading...
Loading...