Skip to main content

Key Product Details

Species Reactivity

Human

Applications

Immunohistochemistry, Western Blot, Immunocytochemistry, Simple Western

Label

Unconjugated

Antibody Source

Monoclonal Mouse IgG2B Clone # 1076128

Product Specifications

Immunogen

Spodoptera frugiperda, Sf 21 (baculovirus)-derived human CUL1/RBX1 Complex
Met1-His108
Accession # P62877

Specificity

Detects human RBX1 in Western blots.

Clonality

Monoclonal

Host

Mouse

Isotype

IgG2B

Scientific Data Images for Human RBX1 Antibody

Detection of Human RBX1 by Western Blot.

Western Blot shows lysates of K562 human chronic myelogenous leukemia cell line. PVDF membrane was probed with 2 µg/ml of Mouse Anti-Human RBX1 Monoclonal Antibody (Catalog # MAB11499) followed by HRP-conjugated Anti-Mouse IgG Secondary Antibody (Catalog # HAF018). A specific band was detected for RBX1 at approximately 15 kDa (as indicated). This experiment was conducted under reducing conditions and using Western Blot Buffer Group 1.

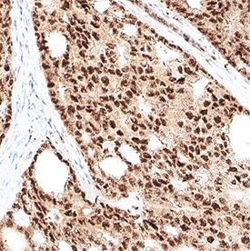
Detection of RBX1 in Prostate Tumor.

RBX1 was detected in immersion fixed paraffin-embedded sections of prostate tumor using Mouse Anti-Human RBX1 Monoclonal Antibody (Catalog # MAB11499) at 5 µg/ml for 1 hour at room temperature followed by incubation with the HRP-conjugated Anti-Mouse IgG Secondary Antibody (Catalog # HAF007) or the Anti-Mouse IgG VisUCyte™ HRP Polymer Antibody (Catalog # VC001). Before incubation with the primary antibody, tissue was subjected to heat-induced epitope retrieval using VisUCyte Antigen Retrieval Reagent-Basic (Catalog # VCTS021). Tissue was stained using DAB (brown) and counterstained with hematoxylin (blue). Specific staining was localized to the nucleus. View our protocol for Chromogenic IHC Staining of Paraffin-embedded Tissue Sections.

Detection of RBX1 in MCF-7 cells (Positive) and Jurkat cells (Negative).

RBX1 was detected in fixed MCF-7 human breast cancer cell line (Positive) and absent in Jurkat human acute T cell leukemia cell line (Negative) using Mouse Anti-Human RBX1 Monoclonal Antibody (Catalog # MAB11499) at 8 µg/ml for 3 hours at room temperature. Cells were stained using the NorthernLights™ 557-conjugated Anti-Mouse IgG Secondary Antibody (red; Catalog # NL007) and counterstained with DAPI (blue). Specific staining was localized to the nucleus and cytoplasm. View our protocol for Fluorescent ICC Staining of Cells on Coverslips.

Applications for Human RBX1 Antibody

Application
Recommended Usage

Immunocytochemistry

3-25 µg/mL
Sample: fixed MCF‑7 human breast cancer cell line (Positive) and absent in Jurkat human acute T cell leukemia cell line (Negative)

Immunohistochemistry

3-25 µg/mL
Sample: Immersion fixed paraffin-embedded sections of prostate tumor

Simple Western

100 µg/mL
Sample: HEK293T human embryonic kidney cell line and K562 human chronic myelogenous leukemia cell line

Western Blot

2 µg/mL
Sample: K562 human chronic myelongenous leukemia cell line

Formulation, Preparation, and Storage

Purification

Protein A or G purified from hybridoma culture supernatant

Reconstitution

Reconstitute at 0.5 mg/mL in sterile PBS. For liquid material, refer to CoA for concentration.

Reconstitution Buffer Available:
Size / Price
Qty
Loading...

Formulation

Lyophilized from a 0.2 μm filtered solution in PBS with Trehalose. See Certificate of Analysis for details.
*Small pack size (-SP) is supplied either lyophilized or as a 0.2 µm filtered solution in PBS.

Shipping

Lyophilized product is shipped at ambient temperature. Liquid small pack size (-SP) is shipped with polar packs. Upon receipt, store immediately at the temperature recommended below.

Stability & Storage

Use a manual defrost freezer and avoid repeated freeze-thaw cycles.
  • 12 months from date of receipt, -20 to -70 °C as supplied.
  • 1 month, 2 to 8 °C under sterile conditions after reconstitution.
  • 6 months, -20 to -70 °C under sterile conditions after reconstitution.

Background: RBX1

RBX1 is a constitutively expressed RING-box protein that interacts with cullins. The human RBX1 gene consists of 5 exons and 4 introns and encodes 108 amino acids with a molecular weight of about 14kda. It is a major component of E3 ubiquitin ligase. A characteristic feature of RBX1 structure is that it contains a RING-H2 finger domain at the carboxyl terminus.  RBX1 is overexpressed in many primary tumors and is associated with overall survival and lymph node metastasis. In humans, RBX1 has high expression in the heart, skeletal muscle, and testis with less expression in the brain, lung, kidney, and placenta.

References

  1. Shao J, Feng Q, Jiang W, Yang Y, Liu Z, Li L, Yang W, Zou Y. E3 ubiquitin ligase RBX1 drives the metastasis of triple negative breast cancer through a FBXO45-TWIST1-dependent degradation mechanism. Aging (Albany NY). 2022 Jul 8;14(13):5493-5510. doi: 10.18632/aging.204163. Epub 2022 Jul 8. PMID: 35802537; PMCID: PMC9320552. 
  2. Wei D, Sun Y. Small RING Finger Proteins RBX1 and RBX2 of SCF E3 Ubiquitin Ligases: The Role in Cancer and as Cancer Targets. Genes Cancer. 2010 Jul;1(7):700-7. doi: 10.1177/1947601910382776. PMID: 21103004; PMCID: PMC2983490.

Long Name

Ring-Box 1

Alternate Names

Ring Box 1, RNF75, ZYP Protein

Entrez Gene IDs

9978 (Human); 56438 (Mouse); 300084 (Rat)

Gene Symbol

RBX1

UniProt

Additional RBX1 Products

Product Documents for Human RBX1 Antibody

Certificate of Analysis

To download a Certificate of Analysis, please enter a lot number in the search box below.

Note: Certificate of Analysis not available for kit components.

Product Specific Notices for Human RBX1 Antibody

For research use only

Loading...
Loading...
Loading...
Loading...