Skip to main content

Key Product Details

Species Reactivity

Validated:

Human

Cited:

Human

Applications

Validated:

Multiplex Immunofluorescence, Immunohistochemistry, Western Blot

Cited:

Western Blot

Label

Unconjugated

Antibody Source

Monoclonal Mouse IgG2B Clone # 715820

Product Specifications

Immunogen

Chinese hamster ovary cell line CHO-derived recombinant human Neprilysin/CD10
Tyr52-Trp750
Accession # P08473

Specificity

Detects human Neprilysin/CD10 in direct ELISAs and Western blots. In direct ELISAs, less than 5% cross-reactivity with recombinant mouse (rm) Neprilysin is observed, and no cross-reactivity with rmKell, recombinant human (rh) ECE-1, rhECE-2, or rhNeprilysin-2 is observed.

Clonality

Monoclonal

Host

Mouse

Isotype

IgG2B

Scientific Data Images for Human Neprilysin/CD10 Antibody

Detection of Neprilysin/CD10 in Human Kidney via seqIF™ staining on COMET™​

Neprilysin/CD10 was detected in immersion fixed paraffin-embedded sections of human Kidney using Mouse Anti-Human Neprilysin/CD10, Monoclonal Antibody (Catalog # MAB11821) at 0.25ug/mL at 37 ° Celsius for 2 minutes. Before incubation with the primary antibody, tissue underwent an all-in-one dewaxing and antigen retrieval preprocessing using PreTreatment Module (PT Module) and Dewax and HIER Buffer H (pH 9; Epredia Catalog # TA-999-DHBH). Tissue was stained using the Alexa Fluor™ 555 Goat anti-Mouse IgG Secondary Antibody at 1:100 at 37 ° Celsius for 2 minutes. (Yellow; Lunaphore Catalog # DR555MS) and counterstained with DAPI (blue; Lunaphore Catalog # DR100). Specific staining was localized to the membrane. Protocol available in COMET™ Panel Builder.​
Detection of Human Neprilysin/CD10 antibody by Western Blot.

Detection of Human Neprilysin/CD10 by Western Blot.

Western blot shows lysates of Daudi human Burkitt's lymphoma cell line and Ramos human Burkitt's lymphoma cell line. PVDF membrane was probed with 0.1 µg/mL of Mouse Anti-Human Neprilysin/CD10 Monoclonal Antibody (Catalog # MAB11821) followed by HRP-conjugated Anti-Mouse IgG Secondary Antibody (Catalog # HAF007). A specific band was detected for Neprilysin/CD10 at approximately 100 kDa (as indicated). This experiment was conducted under reducing conditions and using Immunoblot Buffer Group 1.
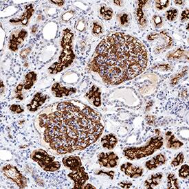
Neprilysin/CD10 antibody in Human Kidney by Immunohistochemistry (IHC-P).

Neprilysin/CD10 in Human Kidney.

Neprilysin/CD10 was detected in immersion fixed paraffin-embedded sections of human kidney using Mouse Anti-Human Neprilysin/CD10 Monoclonal Antibody (Catalog # MAB11821) at 0.5 µg/mL for 1 hour at room temperature followed by incubation with the Anti-Mouse IgG VisUCyte™ HRP Polymer Antibody (Catalog # VC001). Tissue was stained using DAB (brown) and counterstained with hematoxylin (blue). Specific staining was localized to convoluted tubules and glomeruli. View our protocol for IHC Staining with VisUCyte HRP Polymer Detection Reagents.

Applications for Human Neprilysin/CD10 Antibody

Application
Recommended Usage

Immunohistochemistry

0.5-25 µg/mL
Sample: Immersion fixed paraffin-embedded sections of human kidney

Multiplex Immunofluorescence

0.25 µg/mL
Sample: Immersion fixed paraffin-embedded sections of human Kidney

Western Blot

0.1 µg/mL
Sample: Daudi human Burkitt's lymphoma cell line and Ramos human Burkitt's lymphoma cell line

Formulation, Preparation, and Storage

Purification

Protein A or G purified from hybridoma culture supernatant

Reconstitution

Sterile PBS to a final concentration of 0.5 mg/mL. For liquid material, refer to CoA for concentration.

Reconstitution Buffer Available:
Size / Price
Qty
Loading...

Formulation

Lyophilized from a 0.2 μm filtered solution in PBS with Trehalose. See Certificate of Analysis for details.
*Small pack size (-SP) is supplied either lyophilized or as a 0.2 µm filtered solution in PBS.

Shipping

Lyophilized product is shipped at ambient temperature. Liquid small pack size (-SP) is shipped with polar packs. Upon receipt, store immediately at the temperature recommended below.

Stability & Storage

Use a manual defrost freezer and avoid repeated freeze-thaw cycles.
  • 12 months from date of receipt, -20 to -70 °C as supplied.
  • 1 month, 2 to 8 °C under sterile conditions after reconstitution.
  • 6 months, -20 to -70 °C under sterile conditions after reconstitution.

Background: Neprilysin/CD10

Neprilysin/CD10, also known as NEP and neutral endopeptidase 24.11, is a zinc metallopeptidase expressed at the cell surface of a variety of cells. The enzyme functions both as an endopeptidase with a thermolysin-like specificity and as a dipeptidylcarboxypeptidase. NEP has been shown to be involved in the degradation of enkephalins in the mammalian brain and the inactivation of circulating atrial natriuretic peptide (1, 2). NEP has also been identified as the common acute lymphocytic leukemia antigen (CALLA), and is expressed on the surface of lymphocytes in some disease states (3, 4). These and other observations have resulted in considerable interest in NEP as a target for analgesics and antihypertensive drugs. NEP is also a major degrading enzyme of amyloid beta peptide (A beta) in the brain, indicating that down-regulation of NEP activity, which could be caused by aging, can contribute to the development of Alzheimer’s disease by promoting A beta accumulation (5).

References

  1. Malfroy, B. et al. (1978) Nature 276:523.
  2. Kenny, A.J. and Stephenson, S.L. (1988) FEBS Lett. 232:1.
  3. LeTarte, M. et al. (1988) J. Exp. Med. 168:1247.
  4. Shipp, M.A. et al. (1988) Proc. Natl. Acad. Sci. USA 85:4819.
  5. Itwata, N. et al. (2001) Science 292:1550.

Alternate Names

CALLA, CD10, Enkephalinase, Leu-19, MME, Neutral Endopeptidase 24.11, NKH1

Entrez Gene IDs

4311 (Human); 17380 (Mouse); 24590 (Rat); 101925772 (Cynomolgus Monkey)

Gene Symbol

MME

UniProt

Additional Neprilysin/CD10 Products

Product Documents for Human Neprilysin/CD10 Antibody

Certificate of Analysis

To download a Certificate of Analysis, please enter a lot number in the search box below.

Note: Certificate of Analysis not available for kit components.

Product Specific Notices for Human Neprilysin/CD10 Antibody

For research use only

Loading...
Loading...
Loading...
Loading...