Skip to main content

Human/Mouse Phospho-HGFR/c-MET (Y1234/Y1235) Antibody

R&D Systems, part of Bio-Techne | Catalog # AF2480

R&D Systems, part of Bio-Techne
Catalog #
Availability
Size / Price
Qty
Loading...
AF2480-SP
AF2480

Key Product Details

Validated by

Biological Validation

Species Reactivity

Validated:

Human, Mouse

Cited:

Human, Mouse, Xenograft

Applications

Validated:

Immunohistochemistry, Western Blot, Intracellular Staining by Flow Cytometry, Immunocytochemistry, Simple Western, CyTOF-reported

Cited:

Immunohistochemistry, Immunohistochemistry-Paraffin, Immunohistochemistry-Frozen, Western Blot, Flow Cytometry, Array Development, Protein Array

Label

Unconjugated

Antibody Source

Polyclonal Rabbit IgG

Product Specifications

Immunogen

Phosphopeptide containing human HGF R/c-MET Y1234/1235 sites

Specificity

Detects human and mouse HGF R/c-MET when phosphorylated at Y1234/Y1235 in Western blots.

Clonality

Polyclonal

Host

Rabbit

Isotype

IgG

Scientific Data Images for Human/Mouse Phospho-HGFR/c-MET (Y1234/Y1235) Antibody

Detection of Human Phospho-HGF R/c-MET (Y1234/Y1235) antibody by Western Blot.

Detection of Human Phospho-HGF R/c-MET (Y1234/Y1235) by Western Blot.

Western blot shows Goat Anti-Human HGF R/c-MET Antigen Affinity-purified Polyclonal Antibody (Catalog # AF276) immunoprecipitate of MDA-MB-468 human breast cancer cell line untreated (-) or treated (+) with 100 µM pervanadate (PV) for 10 minutes. PVDF membrane was probed with 0.5 µg/mL of Rabbit Anti-Human/Mouse Phospho-HGF R/c-MET (Y1234/Y1235) Antigen Affinity-purified Polyclonal Antibody (Catalog # AF2480), followed by HRP-conjugated Anti-Rabbit IgG Secondary Antibody (Catalog # HAF008). A specific band was detected for Phospho-HGF R/c-MET (Y1234/Y1235) at approximately 145 kDa (as indicated). This experiment was conducted under reducing conditions and using Immunoblot Buffer Group 1.
HGF R/c-MET antibody in SH-4 Human Cell Line by Immunocytochemistry (ICC).

HGF R/c‑MET in SH-4 Human Cell Line.

HGF R/c-MET was detected in immersion fixed SH-4 human melanoma cell line stimulated with HGF (left panel; positive staining) and non-stimulated (right panel; negative staining) using Rabbit Anti-Human/Mouse Phospho-HGF R/c-MET (Y1234/Y1235) Antigen Affinity-purified Polyclonal Antibody (Catalog # AF2480) at 15 µg/mL for 3 hours at room temperature. Cells were stained using the NorthernLights™ 557-conjugated Anti-Rabbit IgG Secondary Antibody (red; Catalog # NL004) and counterstained with DAPI (blue). Specific staining was localized to cytoplasm. View our protocol for Fluorescent ICC Staining of Cells on Coverslips.
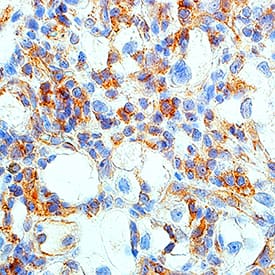
HGF R/c-MET antibody in Mouse Embryo by Immunohistochemistry (IHC-Fr).

HGF R/c-MET in Mouse Embryo.

HGF R/c-MET was detected in immersion fixed frozen sections of mouse embryo (13 d.p.c.) using Rabbit Anti-Human/Mouse Phospho-HGF R/c-MET (Y1234/Y1235) Antigen Affinity-purified Polyclonal Antibody (Catalog # AF2480) at 15 µg/mL overnight at 4 °C. Tissue was stained using the Anti-Rabbit HRP-DAB Cell & Tissue Staining Kit (brown; Catalog # CTS005) and counterstained with hematoxylin (blue). View our protocol for Chromogenic IHC Staining of Frozen Tissue Sections.

Applications for Human/Mouse Phospho-HGFR/c-MET (Y1234/Y1235) Antibody

Application
Recommended Usage

CyTOF-reported

Brodie, T.M. et al. (2018) Cytometry Part A. 93: 406. Ready to be labeled using established conjugation methods. No BSA or other carrier proteins that could interfere with conjugation.

Immunocytochemistry

5-15 µg/mL
Sample: Immersion fixed SH-4 human melanoma cell line

Immunohistochemistry

5-15 µg/mL
Sample: Immersion fixed frozen sections of mouse embryo (E11-13), and immersion fixed paraffin-embedded sections of human renal cell carcinoma tissue

Intracellular Staining by Flow Cytometry

2.5 µg/106 cells
Sample: MCF‑7 human breast cancer cell line treated with pervanadate, fixed with paraformaldehyde, and permeabilized with methanol

Simple Western

5 µg/mL
Sample: MDA‑MB‑468 human breast cancer cell line treated with Pervanadate (PV)

Western Blot

0.5 µg/mL
Sample: Pervanadate-treated MDA-MB-468 human breast cancer cell line

Formulation, Preparation, and Storage

Purification

Antigen Affinity-purified

Reconstitution

Reconstitute at 0.2 mg/mL in sterile PBS. For liquid material, refer to CoA for concentration.

Reconstitution Buffer Available:
Size / Price
Qty
Loading...

Formulation

Lyophilized from a 0.2 μm filtered solution in PBS with Trehalose. *Small pack size (SP) is supplied either lyophilized or as a 0.2 µm filtered solution in PBS.

Shipping

Lyophilized product is shipped at ambient temperature. Liquid small pack size (-SP) is shipped with polar packs. Upon receipt, store immediately at the temperature recommended below.

Stability & Storage

Use a manual defrost freezer and avoid repeated freeze-thaw cycles.
  • 12 months from date of receipt, -20 to -70 °C as supplied.
  • 1 month, 2 to 8 °C under sterile conditions after reconstitution.
  • 6 months, -20 to -70 °C under sterile conditions after reconstitution.

Background: HGFR/c-MET

HGF R, also known as Met (from N-methyl-N’-nitro-N-nitrosoguanidine induced), is a glycosylated receptor tyrosine kinase that plays a central role in epithelial morphogenesis and cancer development. HGF R is synthesized as a single chain precursor which undergoes cotranslational proteolytic cleavage. This generates a mature HGF R that is a disulfide-linked dimer composed of a 50 kDa extracellular alpha chain and a 145 kDa transmembrane beta chain (1, 2). The extracellular domain (ECD) contains a seven bladed beta-propeller sema domain, a cysteine-rich PSI/MRS, and four Ig-like E-set domains, while the cytoplasmic region includes the tyrosine kinase domain (3, 4). Proteolysis and alternate splicing generate additional forms of human HGF R which either lack of the kinase domain, consist of secreted extracellular domains, or are deficient in proteolytic separation of the alpha and beta chains (5‑7). The sema domain, which is formed by both the alpha and beta chains of HGF R, mediates both ligand binding and receptor dimerization (3, 8). Ligand-induced tyrosine phosphorylation in the cytoplasmic region activates the kinase domain and provides docking sites for multiple SH2-containing molecules (9, 10). HGF stimulation induces HGF R downregulation via internalization and proteasome-dependent degradation (11). In the absence of ligand, HGF R forms noncovalent complexes with a variety of membrane proteins including CD44v6, CD151, EGF R, Fas, Integrin alpha6/ beta4, Plexins B1, 2, 3, and MSP R/Ron (12‑19). Ligation of one complex component triggers activation of the other, followed by cooperative signaling effects (12‑19). Formation of some of these heteromeric complexes is a requirement for epithelial cell morphogenesis and tumor cell invasion (12, 16, 17). Paracrine induction of epithelial cell scattering and branching tubulogenesis results from the stimulation of HGF R on undifferentiated epithelium by HGF released from neighboring mesenchymal cells (20). Genetic polymorphisms, chromosomal translocation, overexpression, and additional splicing and proteolytic cleavage of HGF R have been described in a wide range of cancers (1). Within the ECD, human HGF R shares 86%‑88% aa sequence identity with canine, mouse, and rat HGF R.

References

  1. Birchmeier, C. et al. (2003) Nat. Rev. Mol. Cell Biol. 4:915.
  2. Corso, S. et al. (2005) Trends Mol. Med. 11:284.
  3. Gherardi, E. et al. (2003) Proc. Natl. Acad. Sci. 100:12039.
  4. Park, M. et al. (1987) Proc. Natl. Acad. Sci. 84:6379.
  5. Crepaldi, T. et al. (1994) J. Biol. Chem. 269:1750.
  6. Prat, M. et al. (1991) Mol. Cell. Biol. 12:5954.
  7. Rodrigues, G.A. et al. (1991) Mol. Cell. Biol. 11:2962.
  8. Kong-Beltran, M. et al. (2004) Cancer Cell 6:75.
  9. Naldini, L. et al. (1991) Mol. Cell. Biol. 11:1793.
  10. Ponzetto, C. et al. (1994) Cell 77:261.
  11. Jeffers, M. et al. (1997) Mol. Cell. Biol. 17:799.
  12. Orian-Rousseau, V. et al. (2002) Genes Dev. 16:3074.
  13. Klosek, S.K. et al. (2005) Biochem. Biophys. Res. Commun. 336:408.
  14. Jo, M. et al. (2000) J. Biol. Chem. 275:8806.
  15. Wang, X. et al. (2002) Mol. Cell 9:411.
  16. Trusolino, L. et al. (2001) Cell 107:643.
  17. Giordano, S. et al. (2002) Nat. Cell Biol. 4:720.
  18. Conrotto, P. et al. (2004) Oncogene 23:5131.
  19. Follenzi, A. et al. (2000) Oncogene 19:3041.
  20. Sonnenberg, E. et al. (1993) J. Cell Biol. 123:223.

Long Name

Hepatocyte Growth Factor Receptor

Alternate Names

c-MET, cMET, HGF R, MET

Entrez Gene IDs

4233 (Human); 17295 (Mouse); 102123512 (Cynomolgus Monkey)

Gene Symbol

MET

Additional HGFR/c-MET Products

Product Documents for Human/Mouse Phospho-HGFR/c-MET (Y1234/Y1235) Antibody

Certificate of Analysis

To download a Certificate of Analysis, please enter a lot number in the search box below.

Note: Certificate of Analysis not available for kit components.

Product Specific Notices for Human/Mouse Phospho-HGFR/c-MET (Y1234/Y1235) Antibody

For research use only

Loading...
Loading...
Loading...
Loading...
Loading...