Skip to main content

Key Product Details

Validated by

Biological Validation

Species Reactivity

Validated:

Human, Mouse

Cited:

Human, Mouse, Rat, Transgenic Mouse

Applications

Validated:

Immunohistochemistry, Western Blot, Intracellular Staining by Flow Cytometry, Immunocytochemistry, CyTOF-ready

Cited:

Immunohistochemistry, Immunohistochemistry-Paraffin, Immunohistochemistry-Frozen, Western Blot, Flow Cytometry, Immunocytochemistry, Immunoprecipitation, Western Blots

Label

Unconjugated

Antibody Source

Monoclonal Rat IgG2A Clone # 768319

Product Specifications

Immunogen

E. coli-derived recombinant mouse NLRP3/NALP3
Met1-Arg153
Accession # Q8R4B8

Specificity

Detects mouse NLRP3/NALP3 in direct ELISAs. In direct ELISAs, 100% cross-reactivity with recombinant human NLRP3/NALP3 is observed.

Clonality

Monoclonal

Host

Rat

Isotype

IgG2A

Scientific Data Images for Human/Mouse NLRP3/NALP3 Antibody

Detection of Mouse NLRP3/NALP3 antibody by Western Blot.

Detection of Mouse NLRP3/NALP3 by Western Blot.

Western blot shows lysates of J774A.1 mouse reticulum cell sarcoma macrophage cell line and RAW 264.7 mouse monocyte/macrophage cell line. PVDF membrane was probed with 2 µg/mL of Rat Anti-Human/Mouse NLRP3/NALP3 Monoclonal Antibody (Catalog # MAB7578) followed by HRP-conjugated Anti-Rat IgG Secondary Antibody (Catalog # HAF005). A specific band was detected for NLRP3/NALP3 at approximately 117 kDa (as indicated). This experiment was conducted under reducing conditions and using Immunoblot Buffer Group 1.Catalog # AF6789is recommended for use with human lysates.
NLRP3/NALP3 antibody in RAW 264 by Immunocytochemistry (ICC).7 Mouse Cell Line by Immunocytochemistry (ICC).

NLRP3/NALP3 in RAW 264.7 Mouse Cell Line.

NLRP3/NALP3 was detected in immersion fixed RAW 264.7 mouse monocyte/macrophage cell line using Rat Anti-Human/Mouse NLRP3/NALP3 Monoclonal Antibody (Catalog # MAB7578) at 10 µg/mL for 3 hours at room temperature. Cells were stained using the Northern-Lights™ 557-conjugated Anti-Rat IgG Secondary Antibody (red; Catalog # NL013) and counterstained with DAPI (blue). Specific staining was localized to cytoplasm. View our protocol for Fluorescent ICC Staining of Cells on Coverslips.
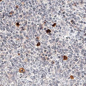
NLRP3/NALP3 antibody in Human Tonsil Tissue by Immunohistochemistry (IHC-P).

NLRP3/NALP3 in Human Tonsil Tissue.

NLRP3/NALP3 was detected in immersion fixed paraffin-embedded sections of human tonsil tissue using Rat Anti-Human/Mouse NLRP3/NALP3 Monoclonal Antibody (Catalog # MAB7578) at 5 µg/mL overnight at 4 °C. Before incubation with the primary antibody, tissue was subjected to heat-induced epitope retrieval using Antigen Retrieval Reagent-Basic (Catalog # CTS013). Tissue was stained using the Anti-Rat IgG VisUCyte™ HRP Polymer Antibody (brown; Catalog # VC005) and counterstained with hematoxylin (blue). Specific staining was localized to cytoplasm in lymphocytes. View our protocol for IHC Staining with VisUCyte HRP Polymer Detection Reagents.

Applications for Human/Mouse NLRP3/NALP3 Antibody

Application
Recommended Usage

CyTOF-ready

Ready to be labeled using established conjugation methods. No BSA or other carrier proteins that could interfere with conjugation.

Immunocytochemistry

8-25 µg/mL
Sample: Immersion fixed RAW 264.7 mouse monocyte/macrophage cell line

Immunohistochemistry

5-25 µg/mL
Sample: Immersion fixed paraffin-embedded sections of human tonsil tissue

Intracellular Staining by Flow Cytometry

2.5 µg/106 cells
Sample: RAW 264.7 mouse monocyte/macrophage cell line and human peripheral blood monocytes fixed with paraformaldehyde and permeabilized with saponin.

Western Blot

2 µg/mL
Sample:

J774A.1 mouse reticulum cell sarcoma macrophage cell line and RAW 264.7 mouse monocyte/macrophage cell line

Catalog # AF6789 is recommended for use with human lysates.

Reviewed Applications

Read 6 reviews rated 4.7 using MAB7578 in the following applications:

Formulation, Preparation, and Storage

Purification

Protein A or G purified from hybridoma culture supernatant

Reconstitution

Sterile PBS to a final concentration of 0.5 mg/mL. For liquid material, refer to CoA for concentration.

Reconstitution Buffer Available:
Size / Price
Qty
Loading...

Formulation

Lyophilized from a 0.2 μm filtered solution in PBS with Trehalose. *Small pack size (SP) is supplied either lyophilized or as a 0.2 µm filtered solution in PBS.

Shipping

Lyophilized product is shipped at ambient temperature. Liquid small pack size (-SP) is shipped with polar packs. Upon receipt, store immediately at the temperature recommended below.

Stability & Storage

Use a manual defrost freezer and avoid repeated freeze-thaw cycles.
  • 12 months from date of receipt, -20 to -70 °C as supplied.
  • 1 month, 2 to 8 °C under sterile conditions after reconstitution.
  • 6 months, -20 to -70 °C under sterile conditions after reconstitution.

Background: NLRP3/NALP3

NLRP3, also known as NALP3, CIAS1, PYPAF or Cryopyrin, is a cytosolic ~120 kDa member of the NLRP family of proteins expressed in leukocytes, especially neutrophils. As a component of the inflammasome, NLRP3 activates caspases 1 and 5. Defects in NLRP3 may cause FCAS1, CINCA, or Muckle-Wells autoinflammatory syndromes. Mouse NLRP3 contains an N-terminal Pyrin domain (aa 1-91) followed by a Nacht region (aa 216-532), and seven LRRs (aa 739-988). Within the sequence used as an immunogen, mouse NLRP3 shares 78% and 93% aa identity with human and rat NLRP3, respectively. Alternate splicing of mouse NLRP3 generates additional isoforms that lack either LRR2 and 3, LRR 6 and 7, or LRR4-9.

Long Name

NLR Family, Pyrin Domain Containing 2

Alternate Names

AGTAVPRL, AII, CIAS1, Cryopyrin, FCAS, FCU, MWS, NACHT, NALP3, PYPAF1

Entrez Gene IDs

114548 (Human); 216799 (Mouse); 287362 (Rat)

Gene Symbol

NLRP3

UniProt

Additional NLRP3/NALP3 Products

Product Documents for Human/Mouse NLRP3/NALP3 Antibody

Certificate of Analysis

To download a Certificate of Analysis, please enter a lot number in the search box below.

Note: Certificate of Analysis not available for kit components.

Product Specific Notices for Human/Mouse NLRP3/NALP3 Antibody

For research use only

Loading...
Loading...
Loading...
Loading...
Loading...
Loading...