Skip to main content

Key Product Details

Validated by

Knockout/Knockdown

Species Reactivity

Validated:

Human, Mouse

Cited:

Human, Mouse

Applications

Validated:

Knockout Validated, Immunohistochemistry, Western Blot, Flow Cytometry, Immunoprecipitation, CyTOF-ready

Cited:

Immunohistochemistry, Western Blot, Neutralization, Flow Cytometry, Immunocytochemistry

Label

Unconjugated

Antibody Source

Polyclonal Goat IgG

Product Specifications

Immunogen

Mouse myeloma cell line NS0-derived recombinant mouse ADAM9
Ala206-Asp697
Accession # Q61072

Specificity

Detects mouse ADAM9 Ectodomain in direct ELISAs and Western blots. In Western blots no cross-reactivity with the Ectodomain of recombinant mouse ADAM10 and rhADAM8, 15, and 17 (TACE) is observed.

Clonality

Polyclonal

Host

Goat

Isotype

IgG

Scientific Data Images for Human/Mouse ADAM9 Ectodomain Antibody

Detection of Human and Mouse ADAM9 antibody by Western Blot.

Detection of Human and Mouse ADAM9 by Western Blot.

Western blot shows lysates of C2C12 mouse myoblast cell line and WI-38 human lung fibroblast cell line. PVDF membrane was probed with 1 µg/mL of Goat Anti-Human/Mouse ADAM9 Ectodomain Antigen Affinity-purified Polyclonal Antibody (Catalog # AF949) followed by HRP-conjugated Anti-Goat IgG Secondary Antibody (HAF017). Specific bands were detected for ADAM9 at approximately 110 and 80 kDa (as indicated). This experiment was conducted under reducing conditions and using Immunoblot Buffer Group 1.
Western Blot Shows Human ADAM9 Antibody Specificity by Using Knockout Cell Line.

Western Blot Shows Human ADAM9 Specificity by Using Knockout Cell Line.

Western blot shows lysates of HeLa human cervical epithelial carcinoma parental cell line and ADAM9 knockout HeLa cell line (KO). PVDF membrane was probed with 1 µg/mL of Goat Anti-Human/Mouse ADAM9 Ectodomain Antigen Affinity-purified Polyclonal Antibody (Catalog # AF949) followed by HRP-conjugated Anti-Goat IgG Secondary Antibody (HAF017). Specific bands were detected for ADAM9 at approximately 78 and 110 kDa (as indicated) in the parental HeLa cell line, but is not detectable in knockout HeLa cell line. GAPDH (AF5718) is shown as a loading control. This experiment was conducted under reducing conditions and using Immunoblot Buffer Group 1.
Detection of Mouse ADAM9 by Western Blot

Detection of Mouse ADAM9 by Western Blot

Rescue of ADAM9 expression restores EMCV replication in ADAM9 KO cells. WT and ADAM9 KO HeLa cells were transduced with retroviral vectors with wild-type (WT) murine ADAM9 (mADAM9), catalytically inactive mutant ADAM9 (E>A), cytoplasmic-tail-deleted ( deltaCT) ADAM9 constructs, or GFP control vectors. (A) WT, KO, and rescue cell lysates were analyzed by Western blot using two different ADAM9 antibodies. Top panel, rabbit anti-human ADAM9 that detects an epitope in the intracellular domain of human ADAM9 and cross-reacts with mouse ADAM9 (black asterisk). Middle panel, goat anti-mouse ADAM9 that detects the extracellular domain of murine ADAM9 but not human ADAM9 (blue asterisk). Bottom panel, anti-actin which detects both human and murine beta-actin. Top panel, WT but not KO cells expressed human ADAM9. Middle panel, rescue but not KO cells expressed murine ADAM9. Bottom panel, actin loading control. (B) WT clones, ADAM9 KO clones, and rescued ADAM9-expressing clones were infected with EMCV or CVB3 at various MOIs and incubated at 37°C for 24 h. Viability of EMCV-infected and CVB3-infected clones was measured by CellGlo ATP luminescence. (C) EMCV replication was quantified in infected culture supernatants by plaque assay. Neither the functional sequence of the ADAM9 metalloproteinase domain nor the cytoplasmic tail is required for EMCV infection. ***, P < 0.0001, KO versus WT and KO versus rescue. Image collected and cropped by CiteAb from the following open publication (https://pubmed.ncbi.nlm.nih.gov/30723129), licensed under a CC-BY license. Not internally tested by R&D Systems.

Applications for Human/Mouse ADAM9 Ectodomain Antibody

Application
Recommended Usage

CyTOF-ready

Ready to be labeled using established conjugation methods. No BSA or other carrier proteins that could interfere with conjugation.

Flow Cytometry

0.25 µg/106 cells
Sample: Mouse splenocytes, C2C12 mouse myoblast cell line

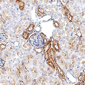
Immunohistochemistry

5-15 µg/mL
Sample: Immersion fixed paraffin-embedded sections of mouse kidney

Immunoprecipitation

25 µg/mL
Sample: Conditioned cell culture medium spiked with Recombinant Mouse ADAM9 (Catalog # 949-AD), see our available Western blot detection antibodies

Knockout Validated

ADAM9 is specifically detected in HeLa human cervical epithelial carcinoma parental cell line but is not detectable in ADAM9 knockout HeLa cell line.

Western Blot

1 µg/mL
Sample: C2C12 mouse myoblast cell line and WI‑38 human lung fibroblast cell line

Formulation, Preparation, and Storage

Purification

Antigen Affinity-purified

Reconstitution

Reconstitute at 0.2 mg/mL in sterile PBS. For liquid material, refer to CoA for concentration.

Reconstitution Buffer Available:
Size / Price
Qty
Loading...

Formulation

Lyophilized from a 0.2 μm filtered solution in PBS with Trehalose. See Certificate of Analysis for details.
*Small pack size (-SP) is supplied either lyophilized or as a 0.2 µm filtered solution in PBS.

Shipping

Lyophilized product is shipped at ambient temperature. Liquid small pack size (-SP) is shipped with polar packs. Upon receipt, store immediately at the temperature recommended below.

Stability & Storage

Use a manual defrost freezer and avoid repeated freeze-thaw cycles.
  • 12 months from date of receipt, -20 to -70 °C as supplied.
  • 1 month, 2 to 8 °C under sterile conditions after reconstitution.
  • 6 months, -20 to -70 °C under sterile conditions after reconstitution.

Background: ADAM9

ADAM9, also known as MDC9 or meltrin gamma, is a member of the ADAM family that contains a disintegrin and metalloprotease-like domain (1). Like other membrane‑anchored ADAMs, ADAM9 consists of a pro domain with a cysteine switch and furin cleavage sequence, a catalytic domain with the zinc-binding site and Met-turn expected for reprolysins, a disintegrin-like domain, a cysteine-rich domain, an EGF-like domain, a transmembrane domain, and the cytoplasmic domain. ADAM9 is able to cleave peptides corresponding to cleavage sites of tumor necrosis factor-alpha (TNF-alpha), the p75-TNF receptor, the beta-amyloid protein precursor, and the c-kit ligand-1, implying that it may participate in shedding of these membrane proteins (2). In fact, ADAM9 has been shown to shed membrane‑anchored heparin‑binding EGF-like growth factor (3). In addition, it also cleaves oxidized insulin B-chain and fibronectin (2, 4). Besides its catalytic activity, ADAM9 functions as an adhesion molelcule through binding of its disintegrin domain to integrins such as alphav beta5 and alpha6 beta1 (5, 6). The cytoplasmic domain of ADAM9 interacts with Src homology 3
(SH3)‑containing proteins and protein kinase C, and may mediate different signaling pathways (3, 7). ADAM9 is widely expressed in tissues (8).

References

  1. Moss, M.L. et al. (2001) Drug Discov. Today 6:417.
  2. Roghani, M. et al. (1999) J. Biol. Chem. 274:3531.
  3. Izumi, Y. et al. (1998) EMBO J. 17:7260.
  4. Schwettmann, L. and H. Tschesche (2001) Protein. Expr. Purif. 21:65. 
  5. Nath, D. et al. (2000) J. Cell Sci. 113:2319.
  6. Zhou, M. et al. (2001) Biochem. Biophys. Res. Comm. 280:574.
  7. Howard, L. et al. (1999) J. Biol. Chem. 274:31693.
  8. Weskamp, G. et al. (1996) J. Cell Biol. 132:717.

Long Name

A Disintegrin and Metalloprotease-like Domain 9

Alternate Names

MCMP, MDC9, Meltrin gamma

Entrez Gene IDs

8754 (Human); 11502 (Mouse)

Gene Symbol

ADAM9

UniProt

Additional ADAM9 Products

Product Documents for Human/Mouse ADAM9 Ectodomain Antibody

Certificate of Analysis

To download a Certificate of Analysis, please enter a lot number in the search box below.

Note: Certificate of Analysis not available for kit components.

Product Specific Notices for Human/Mouse ADAM9 Ectodomain Antibody

For research use only

Loading...
Loading...
Loading...
Loading...
Loading...