Skip to main content

Human IgD Antibody

R&D Systems, part of Bio-Techne | Catalog # MAB9857

R&D Systems, part of Bio-Techne
Catalog #
Availability
Size / Price
Qty
Loading...
MAB9857-100
MAB9857-SP

Key Product Details

Species Reactivity

Human

Applications

Multiplex Immunofluorescence, Immunohistochemistry, Flow Cytometry, COMET, CyTOF-ready

Label

Unconjugated

Antibody Source

Monoclonal Mouse IgG2A Clone # IA6-2

Product Specifications

Immunogen

Human IgD

Specificity

Detects human IgD in Flow Cytometry.

Clonality

Monoclonal

Host

Mouse

Isotype

IgG2A

Scientific Data Images for Human IgD Antibody

Detection of IgD in Human Tonsil via seqIF™ staining on COMET™​

IgD was detected in immersion fixed paraffin-embedded sections of human Tonsil using Mouse Anti-Human IgD, Monoclonal Antibody (Catalog # MAB9857) at 0.5ug/mL at 37 ° Celsius for 2 minutes. Before incubation with the primary antibody, tissue underwent an all-in-one dewaxing and antigen retrieval preprocessing using PreTreatment Module (PT Module) and Dewax and HIER Buffer H (pH 9; Epredia Catalog # TA-999-DHBH). Tissue was stained using the Alexa Fluor™ 555 Goat anti-Mouse IgG Secondary Antibody at 1:100 at 37 ° Celsius for 2 minutes. (Yellow; Lunaphore Catalog # DR555MS) and counterstained with DAPI (blue; Lunaphore Catalog # DR100). Specific staining was localized to the cytoplasm. Protocol available in COMET™ Panel Builder.​​
Detection of IgD antibody in Human PBMCs antibody by Flow Cytometry.

Detection of IgD in Human PBMCs by Flow Cytometry.

Human peripheral blood mononuclear cells (PBMCs) were stained with Mouse Anti-Human CD19 PE-conjugated Monoclonal Antibody (FAB4867P) and either (A) Mouse Anti-Human IgD Monoclonal Antibody (Catalog # MAB9857) or (B) Mouse IgG2A Isotype Control (MAB003) followed by Allophycocyanin-conjugated Anti-Mouse IgG Secondary Antibody (F0101B). View our protocol for Staining Membrane-associated Proteins.

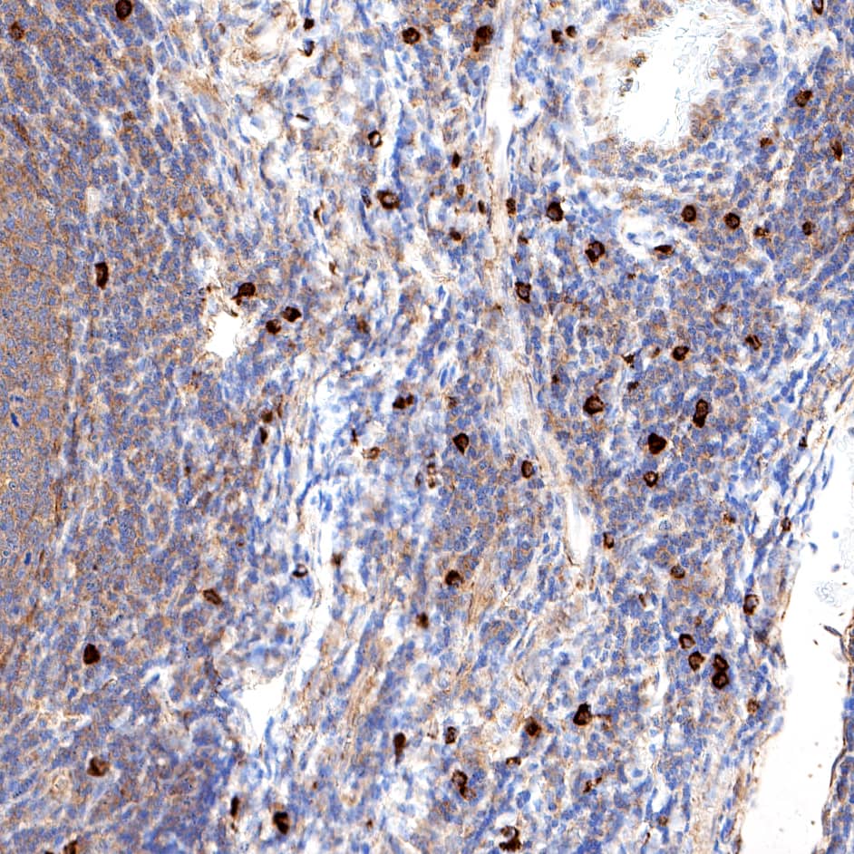
Detection of IgD in Human Tonsil.

IgD was detected in immersion fixed paraffin-embedded sections of human tonsil using Mouse Anti-Human IgD Monoclonal Antibody (Catalog # MAB9857) at 5 µg/ml for 1 hour at room temperature followed by incubation with the HRP-conjugated Anti-Mouse IgG Secondary Antibody (Catalog # HAF007) or the Anti-Mouse IgG VisUCyte™ HRP Polymer Antibody (Catalog # VC001). Before incubation with the primary antibody, tissue was subjected to heat-induced epitope retrieval using VisUCyte Antigen Retrieval Reagent-Basic (Catalog # VCTS021). Tissue was stained using DAB (brown) and counterstained with hematoxylin (blue). Specific staining was localized to the membrane of B cells. View our protocol for Chromogenic IHC Staining of Paraffin-embedded Tissue Sections.

Applications for Human IgD Antibody

Application
Recommended Usage

COMET

CyTOF-ready

Ready to be labeled using established conjugation methods. No BSA or other carrier proteins that could interfere with conjugation.

Flow Cytometry

0.25 µg/106 cells
Sample: Human peripheral blood mononuclear cells (PBMCs)

Immunohistochemistry

3-25 µg/mL
Sample: Immersion fixed paraffin-embedded sections of human tonsil

Multiplex Immunofluorescence

0.5 µg/mL
Sample: Immersion fixed paraffin-embedded sections of human tonsil tissue

Reviewed Applications

Read 1 review rated 5 using MAB9857 in the following applications:

Formulation, Preparation, and Storage

Purification

Protein A or G purified from hybridoma culture supernatant

Reconstitution

Reconstitute at 0.5 mg/mL in sterile PBS. For liquid material, refer to CoA for concentration.

Reconstitution Buffer Available:
Size / Price
Qty
Loading...

Formulation

Lyophilized from a 0.2 μm filtered solution in PBS with Trehalose. See Certificate of Analysis for details.
*Small pack size (-SP) is supplied either lyophilized or as a 0.2 µm filtered solution in PBS.

Shipping

Lyophilized product is shipped at ambient temperature. Liquid small pack size (-SP) is shipped with polar packs. Upon receipt, store immediately at the temperature recommended below.

Stability & Storage

Use a manual defrost freezer and avoid repeated freeze-thaw cycles.
  • 12 months from date of receipt, -20 to -70 °C as supplied.
  • 1 month, 2 to 8 °C under sterile conditions after reconstitution.
  • 6 months, -20 to -70 °C under sterile conditions after reconstitution.

Background: IgD

 Immunoglobulin D (IgD) is an antibody isotype typically expressed in the plasma membranes of naïve B cells, usually co-expressed with IgM. IgD is also found secreted in small amounts in serum. Secreted IgD is produced as a monomeric antibody with two heavy chains of the delta class, and two Ig light chains.

Long Name

Immunoglobulin D

Alternate Names

Igh-5, Ighd, Immunoglobulin Delta

Entrez Gene IDs

3495 (Human); 380797 (Mouse)

Gene Symbol

IGHD

Additional IgD Products

Product Documents for Human IgD Antibody

Certificate of Analysis

To download a Certificate of Analysis, please enter a lot number in the search box below.

Note: Certificate of Analysis not available for kit components.

Product Specific Notices for Human IgD Antibody

For research use only

Loading...
Loading...
Loading...
Loading...
Loading...