Skip to main content

Key Product Details

Species Reactivity

Validated:

Human

Cited:

Human

Applications

Validated:

Immunohistochemistry, Western Blot, Intracellular Staining by Flow Cytometry, Immunocytochemistry, Simple Western, CyTOF-ready

Cited:

Immunohistochemistry, Western Blot

Label

Unconjugated

Antibody Source

Monoclonal Mouse IgG1 Clone # 837016

Product Specifications

Immunogen

E. coli-derived recombinant human FoxP1
Lys548-Glu677
Accession # Q9H334

Specificity

Detects human FoxP1 in direct ELISAs and Western blots.

Clonality

Monoclonal

Host

Mouse

Isotype

IgG1

Scientific Data Images for Human FoxP1 Antibody

Detection of Human FoxP1 antibody by Western Blot.

Detection of Human FoxP1 by Western Blot.

Western blot shows lysates of Daudi human Burkitt's lymphoma cell line and MCF-7 human breast cancer cell line. Gels were loaded with 25 µg of whole cell lysate (WCL) and 25 µg of nuclear extracts (Nuc). PVDF membrane was probed with 1 µg/mL of Mouse Anti-Human FoxP1 Monoclonal Antibody (Catalog # MAB45341) followed by HRP-conjugated Anti-Mouse IgG Secondary Antibody (Catalog # HAF018). Specific bands were detected for FoxP1 at approximately 65 and 80 kDa (as indicated). This experiment was conducted under reducing conditions and using Immunoblot Buffer Group 1.
FoxP1 antibody in BG01V Human Embryonic Stem Cells by Immunocytochemistry (ICC).

FoxP1 in BG01V Human Embryonic Stem Cells.

FoxP1 was detected in immersion fixed BG01V human embryonic stem cells using Mouse Anti-Human FoxP1 Monoclonal Antibody (Catalog # MAB45341) at 10 µg/mL for 3 hours at room temperature. Cells were stained using the NorthernLights™ 557-conjugated Anti-Mouse IgG Secondary Antibody (red, upper panel; Catalog # NL007) and counterstained with DAPI (blue, lower panel). Specific staining was localized to nuclei. View our protocol for Fluorescent ICC Staining of Stem Cells on Coverslips.
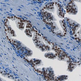
FoxP1 antibody in Human Prostate by Immunohistochemistry (IHC-P).

FoxP1 in Human Prostate.

FoxP1 was detected in immersion fixed paraffin-embedded sections of human prostate using Mouse Anti-Human FoxP1 Monoclonal Antibody (Catalog # MAB45341) at 15 µg/mL overnight at 4 °C. Before incubation with the primary antibody, tissue was subjected to heat-induced epitope retrieval using Antigen Retrieval Reagent-Basic (Catalog # CTS013). Tissue was stained using the Anti-Mouse HRP-DAB Cell & Tissue Staining Kit (brown; Catalog # CTS002) and counter-stained with hematoxylin (blue). Specific staining was localized to the nuclei of epithelial cells. View our protocol for Chromogenic IHC Staining of Paraffin-embedded Tissue Sections.

Applications for Human FoxP1 Antibody

Application
Recommended Usage

CyTOF-ready

Ready to be labeled using established conjugation methods. No BSA or other carrier proteins that could interfere with conjugation.

Immunocytochemistry

8-25 µg/mL
Sample: Immersion fixed BG01V human embryonic stem cells

Immunohistochemistry

8-25 µg/mL
Sample: Immersion fixed paraffin-embedded sections of human prostate subjected to heat-induced epitope retrieval using Antigen Retrieval Reagent-Basic (Catalog # CTS013)

Intracellular Staining by Flow Cytometry

2.5 µg/106 cells
Sample: MCF‑7 human breast cancer cell line fixed with 4% paraformaldehyde and permeabilized with methanol

Simple Western

10 µg/mL
Sample: MCF‑7 human breast cancer cell line and Daudi human Burkitt's lymphoma cell line

Western Blot

1 µg/mL
Sample: Daudi human Burkitt's lymphoma cell line and MCF‑7 human breast cancer cell line

Formulation, Preparation, and Storage

Purification

Protein A or G purified from hybridoma culture supernatant

Reconstitution

Sterile PBS to a final concentration of 0.5 mg/mL. For liquid material, refer to CoA for concentration.

Reconstitution Buffer Available:
Size / Price
Qty
Loading...

Formulation

Lyophilized from a 0.2 μm filtered solution in PBS with Trehalose. *Small pack size (SP) is supplied either lyophilized or as a 0.2 µm filtered solution in PBS.

Shipping

Lyophilized product is shipped at ambient temperature. Liquid small pack size (-SP) is shipped with polar packs. Upon receipt, store immediately at the temperature recommended below.

Stability & Storage

Use a manual defrost freezer and avoid repeated freeze-thaw cycles.
  • 12 months from date of receipt, -20 to -70 °C as supplied.
  • 1 month, 2 to 8 °C under sterile conditions after reconstitution.
  • 6 months, -20 to -70 °C under sterile conditions after reconstitution.

Background: FoxP1

Forkhead Box P1 (FOXP1) is a member of the FOX family of transcription factors. FoxP1 has been implicated in cardiac, lung, and lymphocyte development. FoxP1 knock out mice die at embryonic day 14.5 due to heart valve and outflow tract abnormalities. FoxP1 contains both a DNA binding domain as well as protein-protein interaction domains. FoxP1 can homo or heterodimerize with FoxP2 and FoxP4, with dimerization necessary for DNA binding. FoxP1 shows both oncogenic and tumor suppressive characteristics. Overexpression in lymphomas leads to poor prognosis, but loss of FoxP1 in breast cancer also implicates a poor prognosis. Human isoforms of 489 to 677 amino acids contain alternate sequences within the first 60 amino acids and/or deletion of amino acids.

Long Name

Forkhead Box P1

Alternate Names

QRF1

Entrez Gene IDs

27086 (Human); 108655 (Mouse); 297480 (Rat)

Gene Symbol

FOXP1

UniProt

Additional FoxP1 Products

Product Documents for Human FoxP1 Antibody

Certificate of Analysis

To download a Certificate of Analysis, please enter a lot number in the search box below.

Note: Certificate of Analysis not available for kit components.

Product Specific Notices for Human FoxP1 Antibody

For research use only

Loading...
Loading...
Loading...
Loading...
Loading...