Skip to main content

Key Product Details

Validated by

Biological Validation

Species Reactivity

Human

Applications

Immunohistochemistry, Western Blot, Simple Western

Label

Unconjugated

Antibody Source

Recombinant Monoclonal Rabbit IgG Clone # 2142A

Product Specifications

Immunogen

Human DUX4 synthetic peptide

Specificity

Detects human DUX4 in direct ELISAs and Western blots.

Clonality

Monoclonal

Host

Rabbit

Isotype

IgG

Scientific Data Images for Human DUX4 Antibody

Detection of Human DUX4 antibody by Western Blot.

Detection of Human DUX4 by Western Blot.

Western blot shows lysates of C2C12 mouse myoblast cell line transfected with human DUX4 untreated (-) or treated (+) with Doxycycline. PVDF membrane was probed with 0.1 µg/mL of Rabbit Anti-Human DUX4 Monoclonal Antibody (Catalog # MAB9535) followed by HRP-conjugated Anti-Rabbit IgG Secondary Antibody (Catalog # HAF008). A specific band was detected for DUX4 at approximately 55 kDa (as indicated). This experiment was conducted under reducing conditions and using Immunoblot Buffer Group 1.
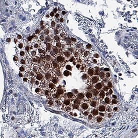
DUX4 antibody in Human Testis by Immunohistochemistry (IHC-P).

DUX4 in Human Testis.

DUX4 was detected in immersion fixed paraffin-embedded sections of human testis using Rabbit Anti-Human DUX4 Monoclonal Antibody (Catalog # MAB9535) at 3 µg/mL for 1 hour at room temperature followed by incubation with the Anti-Rabbit IgG VisUCyte™ HRP Polymer Antibody (Catalog # VC003). Tissue was stained using DAB (brown) and counterstained with hematoxylin (blue). Specific staining was localized to nuclei. View our protocol for IHC Staining with VisUCyte HRP Polymer Detection Reagents.
Detection of Human DUX4 antibody by Simple WesternTM.

Detection of Human DUX4 by Simple WesternTM.

Simple Western lane view shows lysates of HEK293 human embryonic kidney cell line either mock transfected or transfected with human DUX4 and untreated (-) or treated (+) with Doxycycline, loaded at 0.2 mg/mL. A specific band was detected for DUX4 at approximately 62 kDa (as indicated) using 20 µg/mL of Rabbit Anti-Human DUX4 Monoclonal Antibody (Catalog # MAB9535). This experiment was conducted under reducing conditions and using the 12-230 kDa separation system.

Applications for Human DUX4 Antibody

Application
Recommended Usage

Immunohistochemistry

3-25 µg/mL
Sample: Immersion fixed paraffin-embedded sections of human testis

Simple Western

20 µg/mL
Sample: HEK293 human embryonic kidney cell line transfected with human DUX4 and treated with Doxycycline

Western Blot

0.1 µg/mL
Sample: C2C12 mouse myoblast cell line transfected with human DUX4 treated with Doxycycline

Reviewed Applications

Read 1 review rated 4 using MAB9535 in the following applications:

Formulation, Preparation, and Storage

Purification

Protein A or G purified from cell culture supernatant

Reconstitution

Reconstitute at 0.5 mg/mL in sterile PBS. For liquid material, refer to CoA for concentration.

Reconstitution Buffer Available:
Size / Price
Qty
Loading...

Formulation

Lyophilized from a 0.2 μm filtered solution in PBS with Trehalose. *Small pack size (SP) is supplied either lyophilized or as a 0.2 µm filtered solution in PBS.

Shipping

Lyophilized product is shipped at ambient temperature. Liquid small pack size (-SP) is shipped with polar packs. Upon receipt, store immediately at the temperature recommended below.

Stability & Storage

Use a manual defrost freezer and avoid repeated freeze-thaw cycles.
  • 12 months from date of receipt, -20 to -70 °C as supplied.
  • 1 month, 2 to 8 °C under sterile conditions after reconstitution.
  • 6 months, -20 to -70 °C under sterile conditions after reconstitution.

Background: DUX4

Human Double homeobox 4 (aka DUX4) is a protein encoded by the DUX4 gene. This gene is located within a D4Z4 repeat array in chromosome 4q35. Each D4Z4 repeat unit has an open reading frame, DUX4, that contains two homeoboxes. Unregulated expression of DUX4 in muscle cells is the cause of facioscapulohumeral muscular dystrophy (FSHD), a common form of muscular dystrophy in adults that is one of the most prevalent genetic diseases of muscle.

Long Name

Double Homeobox 4

Alternate Names

DUX10, DUX4L1

Entrez Gene IDs

22947 (Human)

Gene Symbol

DUX4L1

Additional DUX4 Products

Product Documents for Human DUX4 Antibody

Certificate of Analysis

To download a Certificate of Analysis, please enter a lot number in the search box below.

Note: Certificate of Analysis not available for kit components.

Product Specific Notices for Human DUX4 Antibody

For research use only

Loading...
Loading...
Loading...
Loading...