Skip to main content

Key Product Details

Validated by

Knockout/Knockdown, Biological Validation

Species Reactivity

Validated:

Human

Cited:

Human, Mouse, Feline

Applications

Validated:

Knockout Validated, Immunohistochemistry, Western Blot, Simple Western

Cited:

Immunohistochemistry, Western Blot, Flow Cytometry, Immunocytochemistry, Immunoprecipitation, Proximity Ligation Assay (PLA)

Label

Unconjugated

Antibody Source

Polyclonal Goat IgG

Product Specifications

Immunogen

E. coli-derived recombinant human cIAP-1/HIAP-2
His2-Ser618
Accession # Q13490

Specificity

Detects human cIAP-1/HIAP-2. Does not cross-react with recombinant human cIAP-2 or XIAP.

Clonality

Polyclonal

Host

Goat

Isotype

IgG

Scientific Data Images for Human cIAP-1/HIAP-2 Antibody

Detection of Human cIAP-1/HIAP-2 antibody by Western Blot.

Detection of Human cIAP‑1/HIAP‑2 by Western Blot.

Western blot shows lysates of HEK293 human embryonic kidney cell line transfected with human cIAP-1 (lane 1), human cIAP-2 (lane 2), or non-transfected (lane 3). PVDF membrane was probed with 0.5 µg/mL Goat Anti-Human cIAP-1/HIAP-2 Antigen Affinity-purified Polyclonal Antibody (Catalog # AF8181) followed by HRP-conjugated Anti-Goat IgG Secondary Antibody (Catalog # HAF017). For additional reference, lystates of HepG2 human hepatocellular carcinoma cell line and Jurkat human acute T cell leukemia cell line were included. A specific band for cIAP-1/HIAP-2 was detected at approximately 65 kDa (as indicated). This experiment was conducted under reducing conditions and using Immunoblot Buffer Group 2.
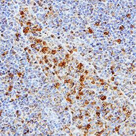
cIAP-1/HIAP-2 antibody in Human Lymph Node by Immunohistochemistry (IHC-P).

cIAP‑1/HIAP‑2 in Human Lymph Node.

cIAP-1/HIAP-2 was detected in immersion fixed paraffin-embedded sections of human lymph node using Goat Anti-Human cIAP-1/HIAP-2 Antigen Affinity-purified Polyclonal Antibody (Catalog # AF8181) at 10 µg/mL overnight at 4 °C. Tissue was stained using the Anti-Goat HRP-DAB Cell & Tissue Staining Kit (brown; Catalog # CTS008) and counterstained with hematoxylin (blue). Specific staining was localized to lymphocytes. View our protocol for Chromogenic IHC Staining of Paraffin-embedded Tissue Sections.
cIAP-1/HIAP-2 antibody in Human Lymphoma by Immunohistochemistry (IHC-P).

cIAP‑1/HIAP‑2 in Human Lymphoma.

cIAP-1/HIAP-2 was detected in immersion fixed paraffin-embedded sections of human lymphoma using Goat Anti-Human cIAP-1/HIAP-2 Antigen Affinity-purified Polyclonal Antibody (Catalog # AF8181) at 15 µg/mL overnight at 4 °C. Tissue was stained using the Anti-Goat HRP-DAB Cell & Tissue Staining Kit (brown; Catalog # CTS008) and counterstained with hematoxylin (blue). Lower panel shows a lack of labeling if primary antibodies are omitted and tissue is stained only with secondary antibody followed by incubation with detection reagents. View our protocol for Chromogenic IHC Staining of Paraffin-embedded Tissue Sections.

Applications for Human cIAP-1/HIAP-2 Antibody

Application
Recommended Usage

Immunohistochemistry

5-15 µg/mL
Sample: Immersion fixed paraffin-embedded sections of human lymph node and human lymphoma

Knockout Validated

cIAP‑1/HIAP‑2 is specifically detected in HeLa human cervical epithelial carcinoma parental cell line but is not detectable in cIAP‑1/HIAP‑2 knockout HeLa cell line.

Simple Western

5 µg/mL
Sample: HepG2 human hepatocellular carcinoma cell line

Western Blot

0.5 µg/mL
Sample: HEK293 human embryonic kidney cell line transfected with human cIAP-1, HepG2 human hepatocellular carcinoma cell line, and Jurkat human acute T cell leukemia cell line

Reviewed Applications

Read 8 reviews rated 4 using AF8181 in the following applications:

Formulation, Preparation, and Storage

Purification

Antigen Affinity-purified

Reconstitution

Reconstitute at 0.2 mg/mL in sterile PBS. For liquid material, refer to CoA for concentration.

Reconstitution Buffer Available:
Size / Price
Qty
Loading...

Formulation

Lyophilized from a 0.2 μm filtered solution in PBS with Trehalose. *Small pack size (SP) is supplied either lyophilized or as a 0.2 µm filtered solution in PBS.

Shipping

Lyophilized product is shipped at ambient temperature. Liquid small pack size (-SP) is shipped with polar packs. Upon receipt, store immediately at the temperature recommended below.

Stability & Storage

Use a manual defrost freezer and avoid repeated freeze-thaw cycles.
  • 12 months from date of receipt, -20 to -70 °C as supplied.
  • 1 month, 2 to 8 °C under sterile conditions after reconstitution.
  • 6 months, -20 to -70 °C under sterile conditions after reconstitution.

Background: cIAP-1/HIAP-2

cIAP-1 (also known as BIR2, MIHB and HIAP-2) is a member of the inhibitor of apoptosis (IAP) family of proteins that inhibit the proteolytic activity of mature caspases. cIAP-1 has 3 BIR (baculovirus inhibitor of apoptosis) domains, a RING finger domain, and a caspase recruitment domain (CARD). cIAP-1 inhibits caspases by interaction of the BIR domain with the active caspase. Caspase activity may be restored through interactions with the Reaper like motif on mitochondrial proteins such as SMAC/Diablo or HTRA-2/Omi. cIAP-1 is reported to be cleaved by caspases in fetal rat hepatocytes treated with TGF-beta.

References

  1. Roy, N. et al. (1997) EMBO J. 23:6914.
  2. Deveraux, Q. et al. (1997) Nature 388:300.
  3. Deveraux, Q. and J. Reed (1999) Genes & Develop. 13:239.
  4. Herrera, B. et al. (2002) FEBS Letters 520:93.

Long Name

Cellular Inhibitor of Apoptosis Protein 1

Alternate Names

BIRC2, cIAP1, HIAP-2, MIHB

Entrez Gene IDs

329 (Human); 11797 (Mouse)

Gene Symbol

BIRC2

UniProt

Additional cIAP-1/HIAP-2 Products

Product Documents for Human cIAP-1/HIAP-2 Antibody

Certificate of Analysis

To download a Certificate of Analysis, please enter a lot number in the search box below.

Note: Certificate of Analysis not available for kit components.

Product Specific Notices for Human cIAP-1/HIAP-2 Antibody

For research use only

Loading...
Loading...
Loading...
Loading...