Human CEACAM-1/CD66a Antibody
R&D Systems, part of Bio-Techne | Catalog # AF2244
Key Product Details
Species Reactivity
Validated:
Cited:
Applications
Validated:
Cited:
Label
Antibody Source
Product Specifications
Immunogen
Gln35-Gly428
Accession # P13688
Specificity
Clonality
Host
Isotype
Scientific Data Images for Human CEACAM-1/CD66a Antibody
Detection of Human CEACAM‑1/CD66a by Western Blot.
Western blot shows lysates of human liver tissue. PVDF membrane was probed with 1 µg/mL of Goat Anti-Human CEACAM-1/CD66a Antigen Affinity-purified Polyclonal Antibody (Catalog # AF2244) followed by HRP-conjugated Anti-Goat IgG Secondary Antibody (Catalog # HAF019). A specific band was detected for CEACAM-1/CD66a at approximately 100-150 kDa (as indicated). This experiment was conducted under reducing conditions and using Immunoblot Buffer Group 1.CEACAM‑1/CD66a in Human Colon Tissue.
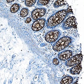
CEACAM-1/CD66a was detected in immersion fixed paraffin-embedded sections of human colon tissue using Goat Anti-Human CEACAM-1/CD66a Antigen Affinity-purified Polyclonal Antibody (Catalog # AF2244) at 5 µg/mL overnight at 4 °C. Tissue was stained using the Anti-Goat HRP-DAB Cell & Tissue Staining Kit (brown; Catalog # CTS008) and counterstained with hematoxylin (blue). Specific staining was localized to plasma membrane in glandular epithelial cells. View our protocol for Chromogenic IHC Staining of Paraffin-embedded Tissue Sections.Applications for Human CEACAM-1/CD66a Antibody
Immunohistochemistry
Sample: Immersion fixed paraffin-embedded sections of human colon tissue
Western Blot
Sample: Human liver tissue
Formulation, Preparation, and Storage
Purification
Reconstitution
Formulation
Shipping
Stability & Storage
- 12 months from date of receipt, -20 to -70 °C as supplied.
- 1 month, 2 to 8 °C under sterile conditions after reconstitution.
- 6 months, -20 to -70 °C under sterile conditions after reconstitution.
Background: CEACAM-1/CD66a
Carcinoembryonic antigen (CEA)-related cell adhesion molecule 1 (CEACAM-1; also BGP) is a 160 kDa member of the CEACAM branch of the CEA gene family of the immunoglobulin superfamily (1‑3). It is one of seven human CEACAM subfamily genes that are essentially divided equally between type I transmembrane proteins (CEACAM-1, 3 & 4) and GPI-linked molecules (CEACAM-5-8). There is no CEACAM-2 in human. The gene for human CEACAM-1 codes for a 526 amino acid (aa) type I transmembrane protein that contains a 34 aa signal sequence, a 394 aa extracellular domain (ECD), a 24 aa transmembrane segment, and a 74 aa cytoplasmic region (4, 5). The ECD contains one N-terminal V-type Ig-like domain, followed by three C2-type Ig-like domains. It shows considerable glycosylation, including high mannose residues and (sialyl) LewisX (1). The cytoplasmic region shows one ITIM motif and a calmodulin binding site (1‑3). In addition to the full length form, ten alternate splice forms have been reported (1, 4, 6, 7, 8). There are three soluble and seven transmembrane isoforms, with variations occurring in both the ECD and cytoplasmic region. All ten alternate splice forms contain the V-type Ig-like domain (aa’s 35‑142). The three soluble forms also contain the first two C2-type Ig-like domains (aa’s 145‑317), with differences coming in the third C2-type Ig-like domain (6). The seven transmembrane isoforms are highly divergent. Five of the seven contain the V-type plus the first two C2-type domains and then diverge considerably both in the ECD and cytoplasmic region. The remaining two contain only the V-type Ig-like domain, the transmembrane region, and either a full‑length or truncated cytoplasmic tail (1, 8). The actual functions of the isoforms are unclear. Full‑length mouse and rat CEACAM-1 are approximately 57% aa identical to human CEACAM-1; in the V-type Ig-like domain, they are 58% and 56% aa identical, respectively. The full‑length molecule is found on neutrophils, bile duct epithelium, activated NK cells, colonic columnar epithelium and endothelium. It is known to act as an intercellular adhesion molecule, forming both homotypic, and heterotypic bonds with CEA and CEACAM-6/NCA (3, 9). On neutrophils, CEACAM-1 also binds to dendritic cell CD-SIGN via its LeX moiety, inducing dendritic cell maturation and a subsequent Th1-type response (10,11).
References
- Beauchemin, N. et al. (1999) Exp. Cell Res. 252:243.
- Thompson, J. et al. (1992) Genomics 12:761.
- Waggener, C. and S. Ergun (2000) Exp. Cell Res. 261:19.
- Barnett, T.R. et al. (1989) J. Cell Biol. 108:267.
- Hinoda, Y. et al. (1988) Proc. Natl. Acad. Sci. USA 85:6959.
- Kuroki, M. et al. (1991) Biochem. Biophys. Res. Commun. 176:578.
- Barnett, T.R. et al. (1993) Mol. Cell. Biol. 13:1273.
- Watt, S.M. et al. (1994) Blood 84:200.
- Oikawa, S. et al. (1992) Biochem. Biophys. Res. Commun. 186:881.
- Klaas, P.J.M. et al. (2005) FEBS Lett. 579:6159.
- Bogoevska, V. et al. (2005) Glycobiology 16:197.
Long Name
Alternate Names
Gene Symbol
UniProt
Additional CEACAM-1/CD66a Products
Product Documents for Human CEACAM-1/CD66a Antibody
Product Specific Notices for Human CEACAM-1/CD66a Antibody
For research use only