Skip to main content

Key Product Details

Species Reactivity

Validated:

Human

Cited:

Human

Applications

Validated:

Immunohistochemistry, Western Blot, ELISA Capture (Matched Antibody Pair)

Cited:

Immunohistochemistry-Paraffin, Western Blot, Microarray

Label

Unconjugated

Antibody Source

Monoclonal Mouse IgG1 Clone # 283324

Product Specifications

Immunogen

Mouse myeloma cell line NS0-derived recombinant human CEACAM-1
Gln35-Gly428
Accession # P13688

Specificity

Detects human CEACAM-1 in ELISAs and Western blots. In ELISAs and Western blots, no cross-reactivity with recombinant human (rh) CD31, rhICAM-1, -2, -3, recombinant mouse MAdCAM-1, or rhVCAM-1 was observed. In sandwich ELISAs, no cross-reactivity with rhCEACAM‑3, rhCEACAM-5, or rhCEACAM-6 was observed.

Clonality

Monoclonal

Host

Mouse

Isotype

IgG1

Scientific Data Images for Human CEACAM-1/CD66a Antibody

Detection of Human CEACAM-1/CD66a antibody by Western Blot.

Detection of Human CEACAM‑1/CD66a by Western Blot.

Western blot shows lysates of human liver tissue and HepG2 human hepatocellular carcinoma cell line. PVDF membrane was probed with 2 µg/mL of Mouse Anti-Human CEACAM-1/CD66a Monoclonal Antibody (Catalog # MAB22441) followed by HRP-conjugated Anti-Mouse IgG Secondary Antibody (Catalog # HAF018). Specific bands were detected for CEACAM-1/CD66a at approximately 100-150 kDa (as indicated). This experiment was conducted under reducing conditions and using Immunoblot Buffer Group 1.
CEACAM-1/CD66a antibody in Human Colon by Immunohistochemistry (IHC-P).

CEACAM-1/CD66a in Human Colon.

CEACAM-1/CD66a was detected in immersion fixed paraffin-embedded sections of human colon using Mouse Anti-Human CEACAM-1/CD66a Monoclonal Antibody (Catalog # MAB22441) at 25 µg/mL overnight at 4 °C. Tissue was stained using the Anti-Mouse HRP-DAB Cell & Tissue Staining Kit (brown; Catalog # CTS002) and counterstained with hematoxylin (blue). Specific labeling was localized to stromal cells. View our protocol for Chromogenic IHC Staining of Paraffin-embedded Tissue Sections.
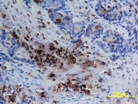
CEACAM-1/CD66a antibody in Human Colon Cancer Tissue by Immunohistochemistry (IHC-P).

CEACAM‑1/CD66a in Human Colon Cancer Tissue.

CEACAM-1/CD66a was detected in immersion fixed paraffin-embedded sections of human colon cancer tissue using Mouse Anti-Human CEACAM-1/CD66a Monoclonal Antibody (Catalog # MAB22441) at 25 µg/mL over-night at 4 °C. Tissue was stained using the Anti-Mouse HRP-DAB Cell & Tissue Staining Kit (brown; Catalog # CTS002) and counterstained with hematoxylin (blue). View our protocol for Chromogenic IHC Staining of Paraffin-embedded Tissue Sections.

Applications for Human CEACAM-1/CD66a Antibody

Application
Recommended Usage

Immunohistochemistry

8-25 µg/mL
Sample: Immersion fixed paraffin-embedded sections of human colon and human colon cancer tissue

Western Blot

2 µg/mL
Sample:   Human liver tissue and HepG2 human hepatocellular carcinoma cell line

Human CEACAM-1/CD66a Sandwich Immunoassay

ELISA Capture (Matched Antibody Pair)
Recommended Concentration: 2-8 µg/mL
Use in combination with these reagents:
  • Detection Reagent: Human CEACAM-1/CD66a Biotinylated Antibody (Catalog # BAF2244)
  • Standard: Recombinant Human CEACAM-1/CD66a Protein, CF (Catalog # 2244-CM)
Please Note: Optimal dilutions of this antibody should be experimentally determined.

Reviewed Applications

Read 1 review rated 4 using MAB22441 in the following applications:

Formulation, Preparation, and Storage

Purification

Protein A or G purified from hybridoma culture supernatant

Reconstitution

Reconstitute at 0.5 mg/mL in sterile PBS. For liquid material, refer to CoA for concentration.

Reconstitution Buffer Available:
Size / Price
Qty
Loading...

Formulation

Lyophilized from a 0.2 μm filtered solution in PBS with Trehalose. *Small pack size (SP) is supplied either lyophilized or as a 0.2 µm filtered solution in PBS.

Shipping

Lyophilized product is shipped at ambient temperature. Liquid small pack size (-SP) is shipped with polar packs. Upon receipt, store immediately at the temperature recommended below.

Stability & Storage

Use a manual defrost freezer and avoid repeated freeze-thaw cycles.
  • 12 months from date of receipt, -20 to -70 °C as supplied.
  • 1 month, 2 to 8 °C under sterile conditions after reconstitution.
  • 6 months, -20 to -70 °C under sterile conditions after reconstitution.

Background: CEACAM-1/CD66a

Carcinoembryonic antigen (CEA)-related cell adhesion molecule 1 (CEACAM-1; also called BGP and designated CD66a) is a 160 kDa member of the CEACAM branch of the CEA gene family of the immunoglobulin superfamily (1-3). It is one of seven human CEACAM subfamily genes that are essentially divided equally between type I transmembrane proteins (CEACAM-1, 3, and 4) and GPI-linked molecules (CEACAM-5-8). There is no CEACAM-2 in human. The gene for human CEACAM-1 codes for a 526 amino acid (aa) type I transmembrane protein that contains a 34 aa signal sequence, a 394 aa extracellular domain (ECD), a 24 aa transmembrane segment, and a 74 aa cytoplasmic region (4, 5). The ECD contains one N-terminal V-type Ig-like domain, followed by three C2-type Ig-like domains. It shows considerable glycosylation, including high mannose residues and (sialyl) LewisX (1). The cytoplasmic region shows one ITIM motif and a calmodulin binding site (1-3). In addition to the full length form, ten alternate splice forms have been reported (1, 4, 6-8). There are three soluble and seven transmembrane isoforms, with variations occurring in both the ECD and cytoplasmic region. All ten alternate splice forms contain the V‑type Ig-like domain (aa’s 35-142). The three soluble forms also contain the first two C2-type Ig-like domains (aa’s 145-317), with differences coming in the third C2-type Ig-like domain (6). The seven transmembrane isoforms are highly divergent. Five of the seven contain the V-type plus the first two C2-type domains and then diverge considerably both in the ECD and cytoplasmic region. The remaining two contain only the V-type Ig-like domain, the transmembrane region, and either a full-length or truncated cytoplasmic tail (1, 8). The actual functions of the isoforms are unclear. Full-length mouse and rat CEACAM-1 are approximately 57% aa identical to human CEACAM-1; in the V-type Ig-like domain, they are 58% and 56% aa identical, respectively. The full-length molecule is found on neutrophils, bile duct epithelium, activated NK cells, colonic columnar epithelium and endothelium. It is known to act as an intercellular adhesion molecule, forming both homotypic, and heterotypic bonds with CEA and CEACAM-6/NCA (3, 9). On neutrophils, CEACAM-1 also binds to dendritic cell CD-SIGN via its LeX moiety, inducing dendritic cell maturation and a subsequent Th1-type response (10,11).

References

  1. Beauchemin, N. et al. (1999) Exp. Cell Res. 252:243.
  2. Thompson, J. et al. (1992) Genomics 12:761.
  3. Waggener, C. and S. Ergun (2000) Exp. Cell Res. 261:19.
  4. Barnett, T.R. et al. (1989) J. Cell Biol. 108:267.
  5. Hinoda, Y. et al. (1988) Proc. Natl. Acad. Sci. USA 85:6959.
  6. Kuroki, M. et al. (1991) Biochem. Biophys. Res. Commun. 176:578.
  7. Barnett, T.R. et al. (1993) Mol. Cell. Biol. 13:1273.
  8. Watt, S.M. et al. (1994) Blood 84:200.
  9. Oikawa, S. et al. (1992) Biochem. Biophys. Res. Commun. 186:881.
  10. Klaas, P.J.M. et al. (2005) FEBS Lett. 579:6159.
  11. Bogoevska, V. et al. (2005) Glycobiology 16:197.

Long Name

Carcinoembryonic Antigen-related Cell Adhesion Molecule 1

Alternate Names

BGP1, Biliary Glycoprotein 1, CD66a, Cea-1, CEACAM1, Hv-1, Hv-2, MHVR

Entrez Gene IDs

634 (Human); 26365 (Mouse); 102139857 (Cynomolgus Monkey)

Gene Symbol

CEACAM1

UniProt

Additional CEACAM-1/CD66a Products

Product Documents for Human CEACAM-1/CD66a Antibody

Certificate of Analysis

To download a Certificate of Analysis, please enter a lot number in the search box below.

Note: Certificate of Analysis not available for kit components.

Product Specific Notices for Human CEACAM-1/CD66a Antibody

For research use only

Loading...
Loading...
Loading...
Loading...