Skip to main content

Key Product Details

Species Reactivity

Human

Applications

Multiplex Immunofluorescence, Immunohistochemistry, Western Blot, COMET

Label

Unconjugated

Antibody Source

Monoclonal Mouse IgG1 Clone # 1115851

Product Specifications

Immunogen

Mouse myeloma cell line, NS0-derived human CD30/TNFRSF8
Phe19-Lys379
Accession # P28908

Specificity

Detects human recombinant CD30 protein in Direct ELISA.

Clonality

Monoclonal

Host

Mouse

Isotype

IgG1

Scientific Data Images for Human CD30/TNFRSF8 Antibody

CD30/TNFRSF8 in Human Hodgkin’sLymphoma via seqIF™ staining on COMET™

CD30/TNFRSF8 was detected in immersion fixed paraffin-embedded sections of human Hodgkin’s Lymphoma using Mouse Anti-Human CD30/TNFRSF8, Monoclonal Antibody (Catalog# MAB11768) at 25ug/mL at 37° Celsius for 16 minutes. Before incubation with the primary antibody, tissue underwent an all-in-one dewaxing and antigen retrieval preprocessing using PreTreatment Module (PT Module) and Dewax and HIER Buffer H (pH 9; Epredia Catalog #TA-999-DHBH). Tissue was stained using the Alexa Fluor™ 647 Goat anti-Mouse IgG Secondary Antibody at 1:200 at 37 ° Celsius for 2 minutes. (Yellow; Lunaphore Catalog # DR647MS) and counterstained with DAPI (blue; Lunaphore Catalog # DR100). Specific staining was localized to the membrane and cytoplasm. Protocol available in COMET™ Panel Builder.​

Detection of Human CD30/TNFRSF8 by Western Blot.

Western Blot shows lysates of HDLM-2 human Hodgkin’s lymphoma cell line. PVDF membrane was probed with 2 µg/ml of Mouse Anti-Human CD30/TNFRSF8 Monoclonal Antibody (Catalog # MAB11768) followed by HRP-conjugated Anti-Mouse IgG Secondary Antibody (Catalog # HAF018). Specific bands were detected for CD30/TNFRSF8 at approximately 90kDa and 120 kDa (as indicated). This experiment was conducted under reducing conditions and using Western Blot Buffer Group 1.

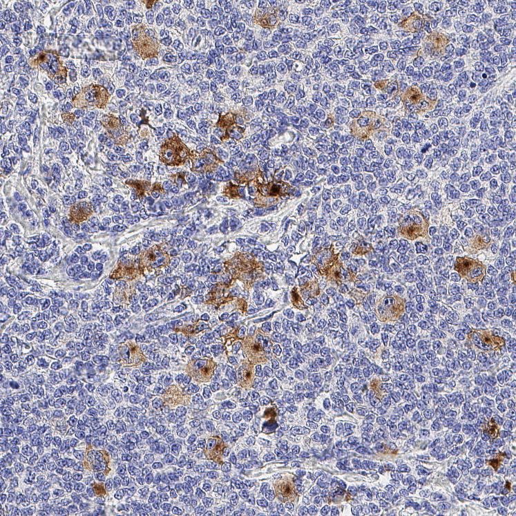
Detection of CD30/TNFRSF8 in Human Hodgkin's Lymphoma.

CD30/TNFRSF8 was detected in immersion fixed paraffin-embedded sections of human hodgkin's lymphoma using Mouse Anti-Human CD30/TNFRSF8 Monoclonal Antibody (Catalog # MAB11768) at 5 µg/ml overnight at 4 °C. Before incubation with the primary antibody, tissue was subjected to heat-induced epitope retrieval using VisUCyte Antigen Retrieval Reagent-Basic (Catalog # VCTS021). Tissue was stained using the HRP-conjugated Anti-Mouse IgG Secondary Antibody (Catalog # HAF007) and counterstained with hematoxylin (blue). Specific staining was localized to the cell membrane of Reed Sternberg cells. View our protocol for Chromogenic IHC Staining of Paraffin-embedded Tissue Sections.

Applications for Human CD30/TNFRSF8 Antibody

Application
Recommended Usage

COMET

Immunohistochemistry

3-25 µg/mL
Sample: Immersion fixed paraffin-embedded sections of human hodgkin's lymphoma

Multiplex Immunofluorescence

25 µg/mL
Sample: Immersion fixed paraffin-embedded sections of Human Hodgkin's Lymphoma

Western Blot

2 µg/mL
Sample: HDLM-2 human Hodgkin's lymphoma cell line

Formulation, Preparation, and Storage

Purification

Protein A or G purified from hybridoma culture supernatant

Reconstitution

Reconstitute lyophilized material at 0.2 mg/ml in sterile PBS. For liquid material, refer to CoA for concentration.

Reconstitution Buffer Available:
Size / Price
Qty
Loading...

Formulation

Lyophilized from a 0.2 μm filtered solution in PBS with Trehalose.

Shipping

Lyophilized product is shipped at ambient temperature. Liquid small pack size (-SP) is shipped with polar packs. Upon receipt, store immediately at the temperature recommended below.

Stability & Storage

Use a manual defrost freezer and avoid repeated freeze-thaw cycles.
  • 12 months from date of receipt, -20 to -70 °C as supplied.
  • 1 month, 2 to 8 °C under sterile conditions after reconstitution.
  • 6 months, -20 to -70 °C under sterile conditions after reconstitution.

Background: CD30/TNFRSF8

CD30, also known as Ki-1 antigen and TNFRSF8, is a 120 kDa type I transmembrane glycoprotein belonging to the TNF receptor superfamily (1, 2). Mature human CD30 consists of a 361 amino acid (aa) extracellular domain (ECD) with six cysteine-rich repeats, a 28 aa transmembrane segment, and a 188 aa cytoplasmic domain (3). In contrast, mouse and rat CD30 lack 90 aa of the ECD and contain only three cysteine-rich repeats. Within common regions of the ECD, human CD30 shares 53% and 49% aa sequence identity with mouse and rat CD30, respectively. Alternate splicing of human CD30 generates an isoform that includes only the C‑terminal 132 aa of the cytoplasmic domain. CD30 is normally expressed on antigen-stimulated Th cells and B cells (4 - 6). However, it is upregulated in Hodgkin’s disease (on Reed-Sternberg cells), other lymphomas, chronic inflammation, and autoimmunity (7). CD30 binds to CD30 Ligand/TNFSF8 which is expressed on activated Th cells, monocytes, granulocytes and medullary thymic epithelial cells (1, 5). CD30 signaling costimulates antigen-induced Th0 and Th2 proliferation and cytokine secretion but favors a Th2-biased immune response (8). In the absence of antigenic stimulation, it can still induce T cell expression of IL-13 (9). CD30 contributes to thymic negative selection by inducing the apoptotic cell death of CD4+CD8+ T cells (10, 11). In B cells, CD30 ligation promotes cellular proliferation and antibody production in addition to the expression of CXCR4, CCL3, and CCL5 (5, 12). An 85-90 kDa soluble form of CD30 is shed from the cell surface by TACE-mediated cleavage (13, 14). Soluble CD30 retains the ability to bind CD30 Ligand and functions as an inhibitor of normal CD30 signaling (15).

References

  1. Kennedy, M.K. et al. (2006) Immunology 118:143.
  2. Tarkowski, M. (2003) Curr. Opin. Hematol. 10:267.
  3. Durkop, H. et al. (1992) Cell 68:421.
  4. Hamann, D. et al. (1996) J. Immunol. 156:1387.
  5. Shanebeck, S.D. et al. (1995) Eur. J. Immunol. 25:2147.
  6. Gruss, H.-J. et al. (1994) Blood 83:2045.
  7. Oflzoglu E. et al. (2009) Adv. Exp. Med. Biol. 647:174.
  8. Del Prete, G. et al. (1995) J. Exp. Med. 182:1655.
  9. Harlin, H. et al. (2002) J. Immunol. 169:2451.
  10. Amakawa, R. et al. (1996) Cell 84:551.
  11. Chiarle, R. et al. (1999) J. Immunol. 163:194.
  12. Vinante, F. et al. (2002) Blood 99:52.
  13. Hansen, H.P. et al. (1995) Int. J. Cancer 63:750.
  14. Hansen, H.P. et al. (2000) J. Immunol. 165:6703.
  15. Hargreaves, P.G. and A. Al-Shamkhani (2002) Eur. J. Immunol. 32:163.

Alternate Names

CD30, TNFRSF8

Entrez Gene IDs

943 (Human); 21941 (Mouse); 25069 (Rat)

Gene Symbol

TNFRSF8

UniProt

Additional CD30/TNFRSF8 Products

Product Documents for Human CD30/TNFRSF8 Antibody

Certificate of Analysis

To download a Certificate of Analysis, please enter a lot number in the search box below.

Note: Certificate of Analysis not available for kit components.

Product Specific Notices for Human CD30/TNFRSF8 Antibody

For research use only

Loading...
Loading...
Loading...
Loading...