Skip to main content

Key Product Details

Species Reactivity

Validated:

Human

Cited:

Human, Porcine, Primate - Cercocebus atys (Sooty Mangabey), Primate - Chlorocebus aethiops (African Green Monkey), Primate - Chlorocebus pygerythrus (Vervet Monkey), Primate - Macaca mulatta (Rhesus Macaque), Transgenic Porcine

Applications

Validated:

Immunohistochemistry, Western Blot, Simple Western

Cited:

Immunohistochemistry, Immunohistochemistry-Paraffin, Western Blot, Neutralization, Flow Cytometry, Immunofluorescence, Immunocytochemistry, Bioassay

Label

Unconjugated

Antibody Source

Polyclonal Goat IgG

Product Specifications

Immunogen

Mouse myeloma cell line NS0-derived recombinant human CD163 (R&D Systems, Catalog # 1607-CD)
Gly41-Ser1045
Accession # CAA80543

Specificity

Detects human CD163 in direct ELISAs and Western blots.

Clonality

Polyclonal

Host

Goat

Isotype

IgG

Scientific Data Images for Human CD163 Antibody

Detection of Human CD163 antibody by Western Blot.

Detection of Human CD163 by Western Blot.

Western blot shows lysates of human thymus tissue, human liver tissue, and human placenta tissue. PVDF membrane was probed with 1 µg/mL of Goat Anti-Human CD163 Antigen Affinity-purified Polyclonal Antibody (Catalog # AF1607) followed by HRP-conjugated Anti-Goat IgG Secondary Antibody (HAF019). A specific band was detected for CD163 at approximately 150 kDa (as indicated). This experiment was conducted under reducing conditions and using Immunoblot Buffer Group 1.
Detection of Human CD163 antibody by Simple WesternTM.

Detection of Human CD163 by Simple WesternTM.

Simple Western lane view shows lysates of human placenta tissue, loaded at 0.2 mg/mL. A specific band was detected for CD163 at approximately 179 kDa (as indicated) using 10 µg/mL of Goat Anti-Human CD163 Antigen Affinity-purified Polyclonal Antibody (Catalog # AF1607) followed by 1:50 dilution of HRP-conjugated Anti-Goat IgG Secondary Antibody (HAF109). This experiment was conducted under reducing conditions and using the 12-230 kDa separation system.

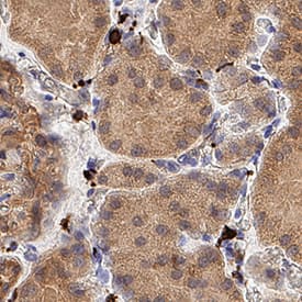
Detection of CD163 in Human Kidney.

CD163 was detected in immersion fixed paraffin-embedded sections of Human Kidney using Goat Anti-Human CD163 Antigen Affinity-purified Polyclonal Antibody (Catalog # AF1607) at 5 µg/mL for 1 hour at room temperature followed by incubation with the Anti-Goat IgG VisUCyte™ HRP Polymer Antibody (Catalog # VC004). Before incubation with the primary antibody, tissue was subjected to heat-induced epitope retrieval using VisUCyte Antigen Retrieval Reagent-Basic (Catalog # VCTS021). Tissue was stained using DAB (brown) and counterstained with hematoxylin (blue). Specific staining was localized to fibroblasts. View our protocol for IHC Staining with VisUCyte HRP Polymer Detection Reagents.

Applications for Human CD163 Antibody

Application
Recommended Usage

Immunohistochemistry

5-25 µg/mL
Sample: Immersion fixed paraffin-embedded sections of Human Kidney

Simple Western

10 µg/mL
Sample: Human placenta tissue

Western Blot

1 µg/mL
Sample: Human thymus tissue, human liver tissue, and human placenta tissue

Reviewed Applications

Read 2 reviews rated 5 using AF1607 in the following applications:

Formulation, Preparation, and Storage

Purification

Antigen Affinity-purified

Reconstitution

Reconstitute at 0.2 mg/mL in sterile PBS. For liquid material, refer to CoA for concentration.

Reconstitution Buffer Available:
Size / Price
Qty
Loading...

Formulation

Lyophilized from a 0.2 μm filtered solution in PBS with Trehalose. *Small pack size (SP) is supplied either lyophilized or as a 0.2 µm filtered solution in PBS.

Shipping

Lyophilized product is shipped at ambient temperature. Liquid small pack size (-SP) is shipped with polar packs. Upon receipt, store immediately at the temperature recommended below.

Stability & Storage

Use a manual defrost freezer and avoid repeated freeze-thaw cycles.
  • 12 months from date of receipt, -20 to -70 °C as supplied.
  • 1 month, 2 to 8 °C under sterile conditions after reconstitution.
  • 6 months, -20 to -70 °C under sterile conditions after reconstitution.

Background: CD163

CD163, previously called M130 or p155, is a 130-160 kDa type I transmembrane glycoprotein that belongs to group B of the cysteine-rich scavenger receptor family (1-3). It is essential for clearance of hemoglobin-haptoglobin (Hb-Hp) complexes in the liver, spleen and circulation (4). The human CD163 contains a 41 amino acid (aa) signal sequence, a 1009 aa extracellular domain (ECD) with 9 scavenger receptor cysteine-rich (SRCR) domains, a 22 aa transmembrane segment, and a
39‑84 aa cytoplasmic region (1). The third SRCR domain is crucial for calcium-dependent binding of hemoglobin/haptoglobin complexes (3). Three splice forms (isoforms 2, 3 and 4) vary within their intracellular regions (1, 5), while one isoform (# 4) also has a 34 aa insert between SRCR domains 5 and 6 within the ECD. While all are expressed, isoform 3 is the most abundant, being generally expressed on the cell surface and most active in endocytosis (5). An approximately 130 kDa soluble form of human CD163 (sCD163) is assumed to contain virtually all of the ECD, which shares 74%, 75%, 84%, 86%, 86%, and 87% aa identity with mouse, rat, bovine, equine, porcine and canine CD163 ECD, respectively (6, 7). It is released from the cell surface by proteolysis after oxidative stress or inflammatory stimuli, including bacterial endotoxins and activation of the Toll-like receptors TLR2 or TLR5 (7 - 10). Expression of CD163 is constitutive, and induced by glucocorticoids, IL-10, IL-6 or endotoxin on circulating monocytes, tissue macrophages, and at low levels on monocyte-derived dendritic cells (1, 2, 11, 12). In addition to clearing Hb-Hp complexes, CD163 is also a scavenger receptor for free Hb (if Hp is depleted) and TWEAK (TNF-like weak inducer of apoptosis), and can function as an erythroblast adhesion receptor (4, 13-15).

References

  1. Law, S.K.A. et al. (1993) Eur. J. Immunol. 23:2320.
  2. Sulahian, T.H. et al. (2000) Cytokine 12:1312.
  3. Madsen, M. et al. (2004) J. Biol. Chem. 279:51561.
  4. Kristiansen, M. et al. (2001) Nature 409:198.
  5. Nielsen, M.J. et al. (2006) J. Leukoc. Biol. 79:837.
  6. Moller, H.J. et al. (2002) Blood 99:378.
  7. Droste, A. et al. (1999) Biochem. Biophys. Res. Commun. 256:110.
  8. Hintz, K. A. et al. (2002) J. Leukoc. Biol. 72:711.
  9. Weaver, L.K. et al. (2006) J. Leukoc. Biol. 80:26.
  10. Timmerman, M. and P. Hogger (2005) Free Radic. Biol. Med. 39:98.
  11. Buechler, C. et al. (2000) J. Leukoc. Biol. 67:97.
  12. Pulford, K.A. et al. (1989) J. Clin. Pathol. 42:414.
  13. Schaer, D.J. et al. (2006) Blood 107:373.
  14. Bover, L.C. et al. (2007) J. Immunol. 178:8183.
  15. Fabriek, B.O. et al. (2007) Blood 109:5223.

Alternate Names

CD163, GHI/61, HbSR, M130, RM3/1

Entrez Gene IDs

9332 (Human); 93671 (Mouse); 312701 (Rat)

Gene Symbol

CD163

UniProt

Additional CD163 Products

Product Documents for Human CD163 Antibody

Certificate of Analysis

To download a Certificate of Analysis, please enter a lot number in the search box below.

Note: Certificate of Analysis not available for kit components.

Product Specific Notices for Human CD163 Antibody

For research use only

Loading...
Loading...
Loading...
Loading...