Skip to main content

Key Product Details

Validated by

Knockout/Knockdown

Species Reactivity

Validated:

Human

Cited:

Human, Mouse, Bovine, Transgenic Mouse

Applications

Validated:

Knockout Validated, Immunohistochemistry, Western Blot, Flow Cytometry, Simple Western, CyTOF-ready

Cited:

Immunohistochemistry, Immunohistochemistry-Paraffin, Immunohistochemistry-Frozen, Western Blot, Flow Cytometry, Immunocytochemistry

Label

Unconjugated

Antibody Source

Polyclonal Goat IgG

Product Specifications

Immunogen

Mouse myeloma cell line NS0-derived recombinant human B7‑H3
Leu29-Pro245
Accession # NP_079516

Specificity

Detects human B7-H3 in direct ELISAs and Western blots.

Clonality

Polyclonal

Host

Goat

Isotype

IgG

Scientific Data Images for Human B7-H3 Antibody

Detection of Human B7-H3 antibody by Western Blot.

Detection of Human B7‑H3 by Western Blot.

Western blot shows lysates of LNCaP human prostate cancer cell line and U2OS human osteosarcoma cell line. PVDF membrane was probed with 1 µg/mL of Goat Anti-Human B7-H3 Antigen Affinity-purified Polyclonal Antibody (Catalog # AF1027) followed by HRP-conjugated Anti-Goat IgG Secondary Antibody (Catalog # HAF017). A specific band was detected for B7-H3 at approximately 90-110 kDa (as indicated). This experiment was conducted under reducing conditions and using Immunoblot Buffer Group 1.
Detection of B7-H3 antibody in PC-3 Human Cell Line antibody by Flow Cytometry.

Detection of B7-H3 in PC-3 Human Cell Line by Flow Cytometry.

PC-3 human prostate carcinoma cells were stained with Goat Anti-Human B7-H3 Antigen Affinity-purified Polyclonal Antibody (Catalog # AF1027, filled histogram) or control antibody (Catalog # AB-108-C, open histogram), followed by Phycoerythrin-conjugated Anti-Goat IgG Secondary Antibody (Catalog # F0107).
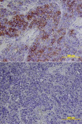
B7-H3 antibody in Human Melanoma by Immunohistochemistry (IHC-P).

B7-H3 in Human Melanoma.

B7-H3 was detected in immersion fixed paraffin-embedded sections of human melanoma using Goat Anti-Human B7-H3 Antigen Affinity-purified Polyclonal Antibody (Catalog # AF1027) at 15 µg/mL overnight at 4 °C. Tissue was stained using the Anti-Goat HRP-DAB Cell & Tissue Staining Kit (brown; Catalog # CTS008) and counterstained with hematoxylin (blue). Lower panel shows a lack of labeling if primary antibodies are omitted and tissue is stained only with secondary antibody followed by incubation with detection reagents. View our protocol for Chromogenic IHC Staining of Paraffin-embedded Tissue Sections.

Applications for Human B7-H3 Antibody

Application
Recommended Usage

CyTOF-ready

Ready to be labeled using established conjugation methods. No BSA or other carrier proteins that could interfere with conjugation.

Flow Cytometry

0.25 µg/106 cells
Sample: PC-3 human prostate carcinoma

Immunohistochemistry

5-15 µg/mL
Sample: Immersion fixed paraffin-embedded sections of human melanoma

Knockout Validated

B7‑H3 is specifically detected in U2OS human osteosarcoma parental cell line but is not detectable in B7‑H3 knockout U2OS cell line.

Simple Western

10 µg/mL
Sample: U2OS human osteosarcoma cell line

Western Blot

1 µg/mL
Sample: LNCaP human prostate cancer cell line and U2OS human osteosarcoma cell line

Reviewed Applications

Read 2 reviews rated 4 using AF1027 in the following applications:

Formulation, Preparation, and Storage

Purification

Antigen Affinity-purified

Reconstitution

Reconstitute at 0.2 mg/mL in sterile PBS. For liquid material, refer to CoA for concentration.

Reconstitution Buffer Available:
Size / Price
Qty
Loading...

Formulation

Lyophilized from a 0.2 μm filtered solution in PBS with Trehalose. *Small pack size (SP) is supplied either lyophilized or as a 0.2 µm filtered solution in PBS.

Shipping

Lyophilized product is shipped at ambient temperature. Liquid small pack size (-SP) is shipped with polar packs. Upon receipt, store immediately at the temperature recommended below.

Stability & Storage

Use a manual defrost freezer and avoid repeated freeze-thaw cycles.
  • 12 months from date of receipt, -20 to -70 °C as supplied.
  • 1 month, 2 to 8 °C under sterile conditions after reconstitution.
  • 6 months, -20 to -70 °C under sterile conditions after reconstitution.

Background: B7-H3

Human B7 homolog 3 (B7-H3) is a member of the B7 family of immune proteins that provide signals for regulating immune responses (1‑3). Other family members include B7-1, B7-2, B7-H2, PD-L1 (B7-H1), and PD-L2. B7 proteins are immunoglobulin (Ig) superfamily members with extracellular Ig-V-like and Ig-C-like domains and short cytoplasmic domains. Among the family members, they share about 20‑40% amino acid (aa) sequence identity. The cloned human B7-H3 cDNA encodes a 316 aa type I membrane precursor protein with a putative 28 aa signal peptide, a 217 aa extracellular region containing one V-like and one C-like Ig domain, a transmembrane region, and a 45 aa cytoplasmic domain. An isoform of human B7-H3 containing a four-Ig-like domain extracellular region has also been identified. Human B7-H3 is not expressed on resting B cells, T cells, monocytes or dendritic cells, but is induced on dendritic cells and monocytes by inflammatory cytokines. B7-H3 expression is also detected on various normal tissues and in some tumor cell lines. Human B7-H3 does not bind any known members of the CD28 family of immunoreceptors. However, B7-H3 has been shown to bind an unidentified counter-receptor on activated T cells to costimulate the proliferation of CD4+ or CD8+ T cells. B7-H3 has also been found to enhance the induction of primary cytotoxic T lymphocytes and stimulate IFN-gamma production (1‑3).

References

  1. Chapoval, A.I. et al. (2001) Nat. Immunol. 2:269.
  2. Sharpe, A.H. and G.J. Freeman (2002) Nat. Rev. Immunol. 2:116.
  3. Coyle, A. and J. Gutierrez-Ramos (2001) Nat. Immunol. 2:203.

Long Name

B7 Homolog 3

Alternate Names

B7H3, CD276

Entrez Gene IDs

80381 (Human); 102657 (Mouse); 315716 (Rat); 102131295 (Cynomolgus Monkey)

Gene Symbol

CD276

UniProt

Additional B7-H3 Products

Product Documents for Human B7-H3 Antibody

Certificate of Analysis

To download a Certificate of Analysis, please enter a lot number in the search box below.

Note: Certificate of Analysis not available for kit components.

Product Specific Notices for Human B7-H3 Antibody

For research use only

Loading...
Loading...
Loading...
Loading...
Loading...