Skip to main content

Human B7-H3 Antibody

R&D Systems, part of Bio-Techne | Catalog # MAB11721

Recombinant Monoclonal Antibody.
R&D Systems, part of Bio-Techne
Catalog #
Availability
Size / Price
Qty
Loading...
MAB11721-100
MAB11721-SP

Key Product Details

Species Reactivity

Human

Applications

Multiplex Immunofluorescence, Immunohistochemistry, Western Blot, Simple Western

Label

Unconjugated

Antibody Source

Recombinant Monoclonal Rabbit IgG Clone # 3108D

Product Specifications

Immunogen

Mouse myeloma cell line, NS0-derived human B7-H3
Leu29-Pro245
Accession # Q5ZPR3

Specificity

Detects recombinant human B7-H3 protein in Direct ELISA.

Clonality

Monoclonal

Host

Rabbit

Isotype

IgG

Scientific Data Images for Human B7-H3 Antibody

B7-H3 in Human Lung Tumor via seqIF™staining on COMET™

B7-H3 was detected in immersion fixed paraffin-embedded sections of human Lung Tumor using Rabbit Anti-Human B7-H3, Monoclonal Antibody (Catalog #MAB11721) at 1ug/mL at 37 ° Celsius for 4 minutes. Before incubation with the primary antibody, tissue underwent an all-in-one dewaxing and antigen retrieval preprocessing using PreTreatment Module (PT Module) and Dewax and HIER Buffer H (pH 9; Epredia Catalog # TA-999-DHBH). Tissue was stained using the Alexa Fluor™ Plus 647 Goat anti-Rabbit IgG Secondary Antibody at 1:200 at 37 ° Celsius for 2 minutes. (Yellow; Lunaphore Catalog # DR647RB) and counterstained with DAPI (blue; Lunaphore Catalog # DR100). Specific staining was localized to the membrane. Protocol available in COMET™ Panel Builder.

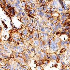
Detection of B7-H3 in Human Liver Cancer.

B7-H3 was detected in immersion fixed paraffin-embedded sections of human liver cancer using Rabbit Anti-Human B7-H3 Monoclonal Antibody (Catalog # MAB11721) at 0.5 µg/ml for 1 hour at room temperature followed by incubation with the Anti-Rabbit IgG VisUCyte™ HRP Polymer Antibody (Catalog # VC003) or the HRP-conjugated Anti-Rabbit IgG Secondary Antibody (Catalog # HAF008). Before incubation with the primary antibody, tissue was subjected to heat-induced epitope retrieval using VisUCyte Antigen Retrieval Reagent-Basic (Catalog # VCTS021). Tissue was stained using DAB (brown) and counterstained with hematoxylin (blue). Specific staining was localized to the membrane. View our protocol for IHC Staining with VisUCyte HRP Polymer Detection Reagents.

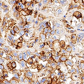
Detection of B7-H3 in Human Lung Cancer.

B7-H3 was detected in immersion fixed paraffin-embedded sections of human lung cancer using Rabbit Anti-Human B7-H3 Monoclonal Antibody (Catalog # MAB11721) at 0.5 µg/ml for 1 hour at room temperature followed by incubation with the Anti-Rabbit IgG VisUCyte™ HRP Polymer Antibody (Catalog # VC003) or the HRP-conjugated Anti-Rabbit IgG Secondary Antibody (Catalog # HAF008). Before incubation with the primary antibody, tissue was subjected to heat-induced epitope retrieval using VisUCyte Antigen Retrieval Reagent-Basic (Catalog # VCTS021). Tissue was stained using DAB (brown) and counterstained with hematoxylin (blue). Specific staining was localized to the membrane. View our protocol for IHC Staining with VisUCyte HRP Polymer Detection Reagents.

Applications for Human B7-H3 Antibody

Application
Recommended Usage

Immunohistochemistry

0.5-10 µg/mL
Sample: Immersion fixed paraffin-embedded sections of human liver cancer and lung cancer

Multiplex Immunofluorescence

1 µg/mL
Sample: Immersion fixed paraffin-embedded sections of human lung tumor

Simple Western

2-10 µg/mL
Sample: LNCaP human prostate cancer cell line

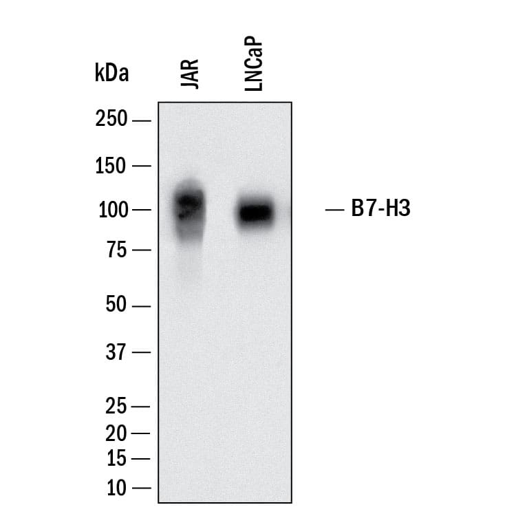
Western Blot

0.25 µg/mL
Sample: JAR human choriocarcinoma cell line and LNCaP human prostate cancer cell line

Formulation, Preparation, and Storage

Purification

Protein A or G purified from hybridoma culture supernatant

Reconstitution

Reconstitute lyophilized material at 0.2 mg/ml in sterile PBS. For liquid material, refer to CoA for concentration.

Reconstitution Buffer Available:
Size / Price
Qty
Loading...

Formulation

Lyophilized from a 0.2 μm filtered solution in PBS with Trehalose.

Shipping

Lyophilized product is shipped at ambient temperature. Liquid small pack size (-SP) is shipped with polar packs. Upon receipt, store immediately at the temperature recommended below.

Stability & Storage

Use a manual defrost freezer and avoid repeated freeze-thaw cycles.
  • 12 months from date of receipt, -20 to -70 °C as supplied.
  • 1 month, 2 to 8 °C under sterile conditions after reconstitution.
  • 6 months, -20 to -70 °C under sterile conditions after reconstitution.

Background: B7-H3

Human B7 homolog 3 (B7-H3) is a member of the B7 family of immune proteins that provide signals for regulating immune responses (1‑3). Other family members include B7-1, B7-2, B7-H2, PD-L1 (B7-H1), and PD-L2. B7 proteins are immunoglobulin (Ig) superfamily members with extracellular Ig-V-like and Ig-C-like domains and short cytoplasmic domains. Among the family members, they share about 20‑40% amino acid (aa) sequence identity. The cloned human B7-H3 cDNA encodes a 316 aa type I membrane precursor protein with a putative 28 aa signal peptide, a 217 aa extracellular region containing one V-like and one C-like Ig domain, a transmembrane region, and a 45 aa cytoplasmic domain. An isoform of human B7-H3 containing a four-Ig-like domain extracellular region has also been identified. Human B7-H3 is not expressed on resting B cells, T cells, monocytes or dendritic cells, but is induced on dendritic cells and monocytes by inflammatory cytokines. B7-H3 expression is also detected on various normal tissues and in some tumor cell lines. Human B7-H3 does not bind any known members of the CD28 family of immunoreceptors. However, B7-H3 has been shown to bind an unidentified counter-receptor on activated T cells to costimulate the proliferation of CD4+ or CD8+ T cells. B7-H3 has also been found to enhance the induction of primary cytotoxic T lymphocytes and stimulate IFN-gamma production (1‑3).

References

  1. Chapoval, A.I. et al. (2001) Nat. Immunol. 2:269.
  2. Sharpe, A.H. and G.J. Freeman (2002) Nat. Rev. Immunol. 2:116.
  3. Coyle, A. and J. Gutierrez-Ramos (2001) Nat. Immunol. 2:203.

Long Name

B7 Homolog 3

Alternate Names

B7H3, CD276

Entrez Gene IDs

80381 (Human); 102657 (Mouse); 315716 (Rat); 102131295 (Cynomolgus Monkey)

Gene Symbol

CD276

UniProt

Additional B7-H3 Products

Product Documents for Human B7-H3 Antibody

Certificate of Analysis

To download a Certificate of Analysis, please enter a lot number in the search box below.

Note: Certificate of Analysis not available for kit components.

Product Specific Notices for Human B7-H3 Antibody

For research use only

Loading...
Loading...
Loading...
Loading...