Human B7-1/CD80 Antibody
R&D Systems, part of Bio-Techne | Catalog # AF140

Key Product Details
Species Reactivity
Validated:
Cited:
Applications
Validated:
Cited:
Label
Antibody Source
Product Specifications
Immunogen
Extracellular domain
Specificity
Clonality
Host
Isotype
Scientific Data Images for Human B7-1/CD80 Antibody
Detection of Human B7‑1/CD80 by Western Blot.
Western blot shows lysates of Daudi human Burkitt's lymphoma cell line. PVDF membrane was probed with 1 µg/mL of Goat Anti-Human B7-1/CD80 Antigen Affinity-purified Polyclonal Antibody (Catalog # AF140) followed by HRP-conjugated Anti-Goat IgG Secondary Antibody (Catalog # HAF019). A specific band was detected for B7-1/CD80 at approximately 60 kDa (as indicated). This experiment was conducted under reducing conditions and using Immunoblot Buffer Group 1.B7‑1/CD80 in Human Tonsil.
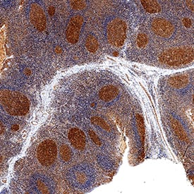
B7-1/CD80 was detected in immersion fixed paraffin-embedded sections of human tonsil using Goat Anti-Human B7-1/CD80 Antigen Affinity-purified Polyclonal Antibody (Catalog # AF140) at 3 µg/mL overnight at 4 °C. Tissue was stained using the Anti-Goat HRP-DAB Cell & Tissue Staining Kit (brown; Catalog # CTS008) and counterstained with hematoxylin (blue). Specific staining was localized to lymphocytes in germinal center. View our protocol for Chromogenic IHC Staining of Paraffin-embedded Tissue Sections.Applications for Human B7-1/CD80 Antibody
Immunohistochemistry
Sample: Immersion fixed paraffin-embedded sections of human brain (cross-section through blood vessel) and human tonsil
Western Blot
Sample: Daudi human Burkitt's lymphoma cell line
Formulation, Preparation, and Storage
Purification
Reconstitution
Formulation
Shipping
Stability & Storage
- 12 months from date of receipt, -20 to -70 °C as supplied.
- 1 month, 2 to 8 °C under sterile conditions after reconstitution.
- 6 months, -20 to -70 °C under sterile conditions after reconstitution.
Background: B7-1/CD80
B7-1 and B7-2, together with their receptors CD28 and CTLA-4, constitute one of the dominant co-stimulatory pathways that regulate T and B cell responses. Although both CTLA-4 and CD28 can bind to the same ligands, CTLA-4 binds to B7-1 and B7-2 with a 20-100 fold higher affinity than CD28 and is involved in the
down‑regulation of the immune response. B7-1 is expressed on activated B cells, activated T cells, and macrophages. B7-2 is constitutively expressed on interdigitating dendritic cells, Langerhans cells, peripheral blood dendritic cells, memory B cells, and germinal center B cells. Additionally, B7-2 is expressed at low levels on monocytes and can be up‑regulated through IFN-gamma. B7-1 and B7-2 are both members of the Immunoglobulin superfamily. Human B7-1 is a 288 amino acid (aa) protein containing a 34 aa signal peptide, a 208 aa extracellular domain, a 21 aa transmembrane domain, and a 25 aa cytoplasmic domain. Human B7-1 and B7-2 share 26% amino acid identity. Human and mouse B7-1 share 44% amino acid identity. However, it has been observed that both human and mouse B7-1 and B7-2 can bind to either human or mouse CD28 and CTLA-4, suggesting that there are conserved amino acids which form theB7-1/B7-2/CD28/CTLA-4 critical binding sites.
References
- Azuma, M. et al. (1993) Nature 366:76.
- Freeman, G.J. et al. (1993) Science 262:909.
- Freeman, G. et al. (1991) J. Exp. Med. 174:625.
- Selvakumar, A. et al. (1993) Immunogenetics 38:292.
- Chen, C. et al. (1994) J. Immunol. 152:4929.
- Freeman, G.J. et al. (1993) J. Exp. Med. 178:2185.
Alternate Names
Gene Symbol
Additional B7-1/CD80 Products
Product Documents for Human B7-1/CD80 Antibody
Product Specific Notices for Human B7-1/CD80 Antibody
For research use only