Skip to main content

Key Product Details

Species Reactivity

Human

Applications

Immunohistochemistry, Western Blot, Flow Cytometry, Simple Western

Label

Unconjugated

Antibody Source

Recombinant Monoclonal Rabbit IgG Clone # 2963F

Product Specifications

Immunogen

E. coli-derived recombinant human A33
Ile22-Val235
Accession # Q99795

Specificity

Detects human A33 in direct ELISA.

Clonality

Monoclonal

Host

Rabbit

Isotype

IgG

Scientific Data Images for Human A33 Antibody

Detection of Human A33 by Western Blot.

Western blot shows lysates of COLO 205 human colorectal adenocarcinoma cells. PVDF membrane was probed with 1 µg/mL of Rabbit Anti-Human A33 Monoclonal Antibody (Catalog # MAB30804) followed by HRP-conjugated Anti-Rabbit IgG Secondary Antibody (Catalog # HAF008). A specific band was detected for A33 at approximately 50 kDa (as indicated). This experiment was conducted under reducing conditions and using Western Blot Buffer Group 1.

Detection of A33 in Colo205 cells by Flow Cytometry.

Colo205 cells were stained with Rabbit Anti-Human A33 Monoclonal Antibody (Catalog # MAB30804, Filled histogram) or isotype control antibody (Catalog # MAB1050, open histogram), followed by Allophycocyanin-conjugated Anti-Rabbit IgG Secondary Antibody (Catalog # F0111). View our protocol for Staining Membrane-associated Proteins.

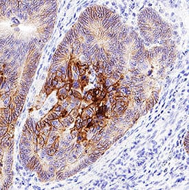
Detection of A33 in Human Colon.

A33 was detected in immersion fixed paraffin-embedded sections of Human Colon using Rabbit Anti-Human A33 Monoclonal Antibody (Catalog # MAB30804) at 1.7 µg/mL for 1 hour at room temperature followed by incubation with the Anti-Rabbit IgG VisUCyte™ HRP Polymer Antibody (Catalog # VC003). Before incubation with the primary antibody, tissue was subjected to heat-induced epitope retrieval using VisUCyte Antigen Retrieval Reagent-Basic (Catalog # VCTS021). Tissue was stained using DAB (brown) and counterstained with hematoxylin (blue). Specific staining was localized to cell membranes in epithelial cells. View our protocol for IHC Staining with VisUCyte HRP Polymer Detection Reagents.

Applications for Human A33 Antibody

Application
Recommended Usage

Flow Cytometry

0.25 µg/106 cells
Sample: Colo205 cells

Immunohistochemistry

1-15 µg/mL
Sample: Immersion fixed paraffin-embedded sections of Human Colon

Simple Western

20 µg/mL
Sample: Lysates of human colon

Western Blot

1 µg/mL
Sample: COLO 205 human colorectal adenocarcinoma cells

Formulation, Preparation, and Storage

Purification

Protein A or G purified from hybridoma culture supernatant

Reconstitution

Reconstitute at 0.5 mg/mL in sterile PBS. For liquid material, refer to CoA for concentration.

Reconstitution Buffer Available:
Size / Price
Qty
Loading...

Formulation

Lyophilized from a 0.2 μm filtered solution in PBS with Trehalose. *Small pack size (SP) is supplied either lyophilized or as a 0.2 µm filtered solution in PBS.

Shipping

Lyophilized product is shipped at ambient temperature. Liquid small pack size (-SP) is shipped with polar packs. Upon receipt, store immediately at the temperature recommended below.

Stability & Storage

Use a manual defrost freezer and avoid repeated freeze-thaw cycles.
  • 12 months from date of receipt, -20 to -70 °C as supplied.
  • 1 month, 2 to 8 °C under sterile conditions after reconstitution.
  • 6 months, -20 to -70 °C under sterile conditions after reconstitution.

Background: A33

Human A33, also known as GPA33, is a 43 kDa type I transmembrane glycoprotein that belongs to the CTX (cortical thymocyte marker in Xenopus) family of cell adhesion molecules within the immunoglobulin superfamily. Other family members include CXADR, ESAM, BT-IgSF, CD2 and JAM-A-C. The extracellular domain (ECD) of human A33 is 214 amino acids (aa) in length and contains one V-type and one C2-type Ig-like domain. This ECD is 80%, 74% and 71% aa identical to canine, bovine and mouse A33 ECD, respectively. A33 is likely to be involved in cell-cell adhesion between epithelial cells.

Long Name

Cell Surface A33 Antigen

Alternate Names

GPA33

Entrez Gene IDs

10223 (Human); 59290 (Mouse)

Gene Symbol

GPA33

UniProt

Additional A33 Products

Product Documents for Human A33 Antibody

Certificate of Analysis

To download a Certificate of Analysis, please enter a lot number in the search box below.

Note: Certificate of Analysis not available for kit components.

Product Specific Notices for Human A33 Antibody

For research use only

Loading...
Loading...
Loading...
Loading...
Loading...